症例・治療例紹介
Cases
矯正歯科治療 → 審美装置
11ページ目 / 39
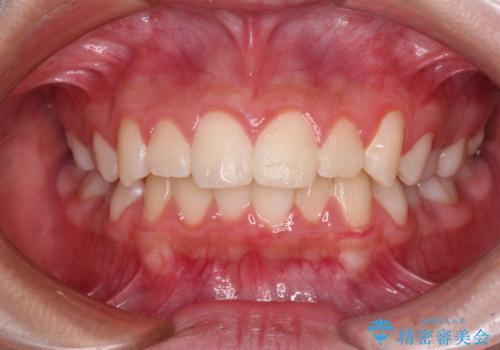
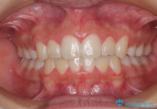
【ワイヤー矯正】がたつきを治したい
担当医 河口智英


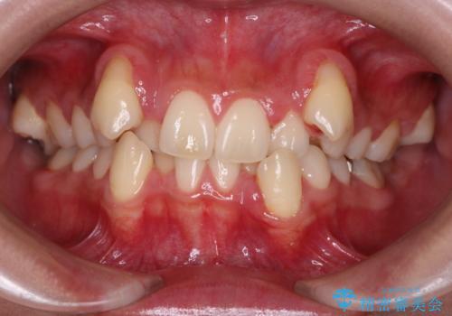
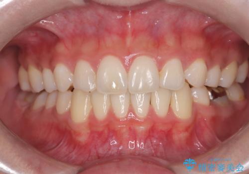
【ワイヤー矯正】一番後ろの奥歯でしか噛んでいないかみ合わせを治したい


前に出ている上顎 抜歯矯正で唇を閉じやすく


前歯のすきま 生まれつき歯が少ないのを治療


インビザラインとワイヤー矯正の併用で綺麗な歯並びに!


八重歯と開咬の抜歯矯正 ワイヤー装置を併用したインビザライン矯正治療


しゃくれて口が閉じられない ワイヤー装置での抜歯矯正


治療途中で帰国 装置をつけた状態を継続して矯正治療


酸蝕歯でボロボロの歯の審美歯科治療 矯正治療も併用して、美しい口元へ


歯列から飛び出た歯 ワイヤー矯正で整った歯列に


気がつくと唇があいてしまう ワイヤー装置での抜歯矯正
担当医 藤巻太一朗


咬み合わせの乱れを改善 ワイヤー装置で楽々矯正治療
担当医 藤巻太一朗


気になる八重歯 ワイヤー装置での非抜歯矯正


ワイヤー矯正歯科治療の注意事項(リスク・副作用など)
- 治療中は違和感や痛みが起こることがあります
- 症状により、抜歯が必要な場合があります
- 治療中は歯磨きがしにくくなるため、虫歯や歯周病になりやすくなります
- 矯正治療後の保定が不十分だと後戻り(元の位置に戻ろうとする動き)をします
- 自費診療(保険適用外)となります




