症例・治療例紹介
Cases
矯正歯科治療 → プラスチックブラケット
10ページ目 / 12
乳歯が残っている 目立たない装置での抜歯矯正


口が閉じられない 抜歯矯正で口元をスッキリと


横顔をすっきりさせたい 下の前歯が1本少ない方の変則的な抜歯矯正


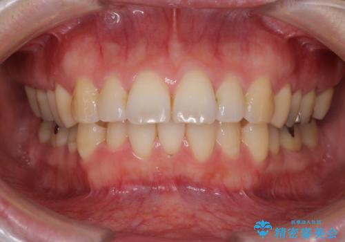
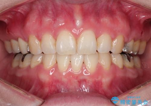
小さいころに前歯を折った がたがたの矯正+変色した前歯をセラミックに


前歯のがたがた 前歯が内側に傾いている


口が閉じずらく、口元出てるのが気になる ワイヤー抜歯矯正による口元の改善


前歯が八重歯でガタガタ ワイヤーによる抜歯矯正


八重歯 前歯のがたがた 抜歯してワイヤー矯正


前歯の歯並びの改善 クリアブラケットによる矯正治療


八重歯・クロスバイトの矯正治療 クリアブラケット 1年半


全顎矯正+セラミック治療による口腔内の総合リコンストラクション


中等度〜重度のガタガタ


先天欠損の難症例 表のワイヤー矯正による治療


前歯のねじれ 下の歯のガタガタ


上の前歯の出っ歯を抜歯矯正で改善


ワイヤー矯正歯科治療の注意事項(リスク・副作用など)
- 治療中は違和感や痛みが起こることがあります
- 症状により、抜歯が必要な場合があります
- 治療中は歯磨きがしにくくなるため、虫歯や歯周病になりやすくなります
- 矯正治療後の保定が不十分だと後戻り(元の位置に戻ろうとする動き)をします
- 自費診療(保険適用外)となります
