症例・治療例紹介
Cases
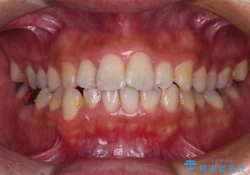
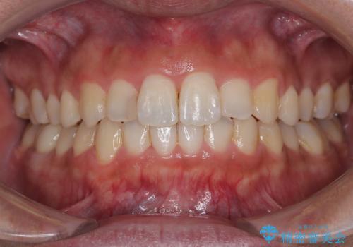
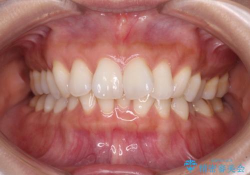
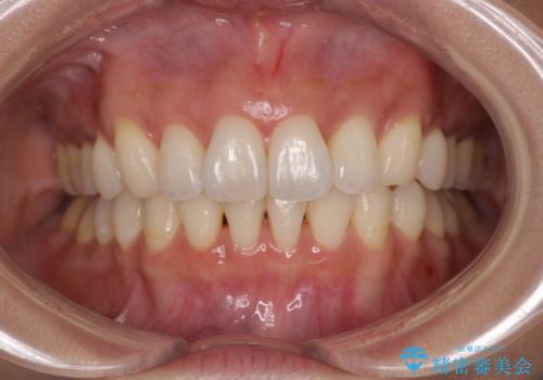
矯正歯科治療 → 叢生(でこぼこ・八重歯)
10ページ目 / 91
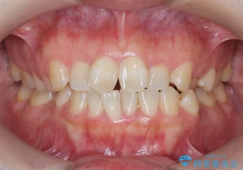
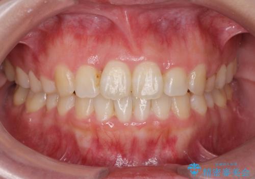
前歯のデコボコと突出感をマウスピース矯正できれいに


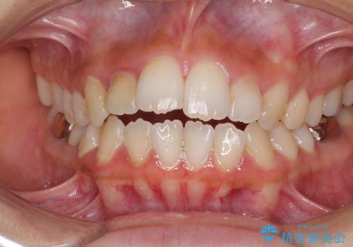
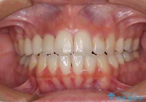
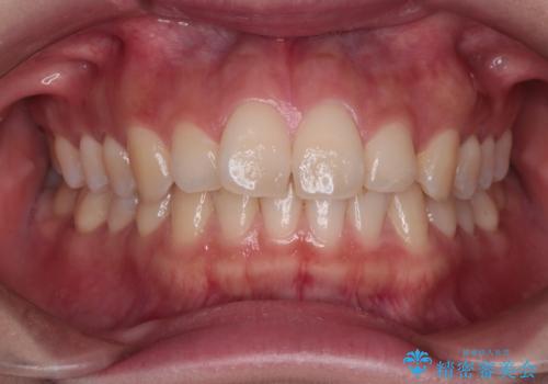
上顎前突をしっかりと治す 補助装置を使用したワイヤー矯正


楽してデコボコを治したい ワイヤー矯正治療


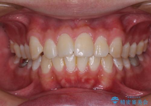
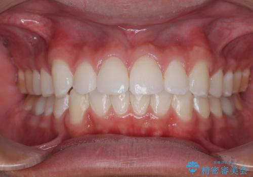
開咬と前突を改善 ワイヤー装置での抜歯矯正


前歯のねじれをマウスピース矯正インビザラインで治療
担当医 大元洋佑


非抜歯、ワイヤーでの矯正治療。歯のがたつき、顎のズレ、出っ歯を治す。インビザラインが使えない方


急速拡大装置 歯列弓を拡大して非抜歯ワイヤー矯正


左上の前歯が出ているのが気になる 審美装置による非抜歯ワイヤー矯正


【インビザライン】前歯のでこぼこ。真ん中の位置を合わせたい。
担当医 河口智英


ワーキングホリデー前にきれいな歯列に


前歯の悩みを非抜歯ワイヤー矯正で改善


【非抜歯】前歯の反対咬合をマウスピースで治す


歪んだ歯列を超短期治療!


【モニター】インビザラインで気になるデコボコと八重歯をきれいに整える
担当医 藤巻太一朗


上下のデコボコを治したい インビザラインによる矯正治療


ワイヤー矯正歯科治療の注意事項(リスク・副作用など)
- 治療中は違和感や痛みが起こることがあります
- 症状により、抜歯が必要な場合があります
- 治療中は歯磨きがしにくくなるため、虫歯や歯周病になりやすくなります
- 矯正治療後の保定が不十分だと後戻り(元の位置に戻ろうとする動き)をします
- 自費診療(保険適用外)となります
マウスピース矯正の注意事項(リスク・副作用など)
- 口腔内・歯並びの状態によっては対応できない場合があります
- マウスピース型矯正装置の長時間装着が必須です
- 治療計画通りに進めるためには、患者様の意志が重要になります
- 矯正治療後の保定が不十分だと後戻り(元の位置に戻ろうとする動き)をします
- 自費診療(保険適用外)となります
