症例詳細
Case detail
抜歯矯正×インビザライン|上下のバランスを整え、美しい歯並びへ
治療症例の内容
- 診療科目
- 治療カテゴリ
- 担当医
- 河口智英(ドクタープロフィール)
- 患者様
- 30代女性
- 治療期間
- 2年
- 治療回数
- 10-30回
- 治療計画
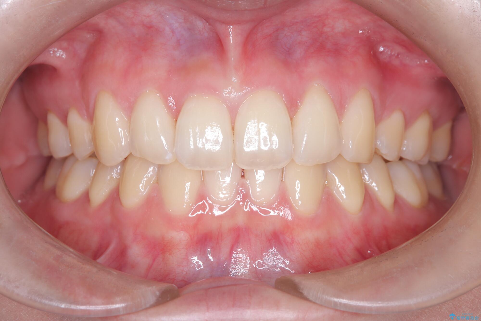
- 患者様は、上下の噛み合わせのバランスが悪く、特に上顎の前歯の突出を気にされて来院されました。診査の結果、下顎の歯並びに合わせて上顎を後方へ移動させる必要があると判断し、上顎の小臼歯2本を抜歯することを提案しました。目立たない矯正を希望されたため、**インビザライン(マウスピース矯正)**を選択。計画的にスペースを作りながら、バランスの取れた歯並びを目指しました。
- 費用(概算)
- 100万円費用は治療当時の料金となります
治療について
治療はまず、上顎の小臼歯を2本抜歯し、そのスペースを利用して前歯を後方へ移動させました。インビザラインはアタッチメントを併用し、より効率的に歯を動かせるよう調整。定期的なチェックとアライナーの交換を続け、約3年かけて理想的な歯並びと噛み合わせを実現しました。治療後はリテーナーを使用し、安定した状態を維持。患者様からは「口元がスッキリし、横顔の印象も変わった」と嬉しいお声をいただきました。
マウスピース矯正の注意事項(リスク・副作用など)
- 口腔内・歯並びの状態によっては対応できない場合があります
- マウスピース型矯正装置の長時間装着(1日20時間以上)が必須です
- 治療計画通りに進めるためには、患者様の意志が重要になります
- 矯正治療後の保定が不十分だと後戻り(元の位置に戻ろうとする動き)をします
- 薬機法対象外の矯正歯科装置のため医薬品副作用被害救済制度の対象外となる場合があります
- 自費診療(保険適用外)となります
当サイトの内容、テキスト、画像等の無断転載、複製、複写、盗用を固く禁じます。















