症例・治療例紹介
Cases
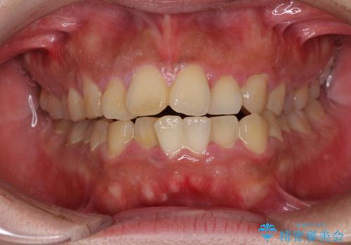
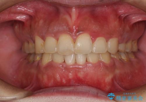
矯正歯科治療 → 上下顎前突(口ゴボ)
10ページ目 / 13
前歯のがたつき インビザラインで


口元が出てるのが気になる 抜歯矯正でしっかりと前歯をさげてすっきりした口元へ


口元の突出感を改善 ワイヤー装置による抜歯矯正


閉じにくい口元を改善したい ワイヤー装置での抜歯矯正


ワイヤーによる出っ歯の矯正 前歯でかめるように


歯が前に出てて、口が閉じない 抜歯矯正による口元の改善


閉じにくい口元 前歯を引っ込める抜歯矯正


えっ シワが矯正で消えちゃう・・・? ボトックスから卒業しよう


ワイヤーによる抜歯矯正でガタガタと深いかみ合わせの改善


「整形した?」と言われるほどの変化! 口元を矯正治療で改善 鼻を高くしたわけでも、アゴに何か入れたわけでもありません。


海外留学をしながら歯並びを整えたい インビザラインによる矯正治療


前歯のデコボコを治したい 費用を抑えた抜歯矯正


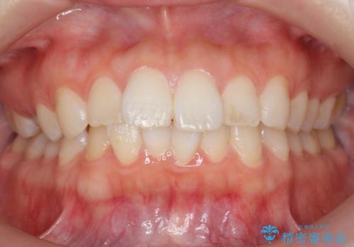
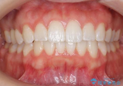
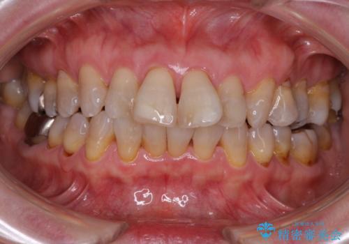
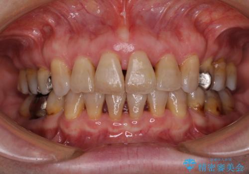
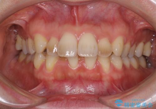
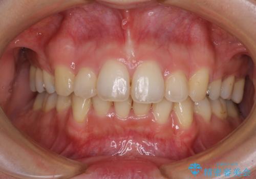
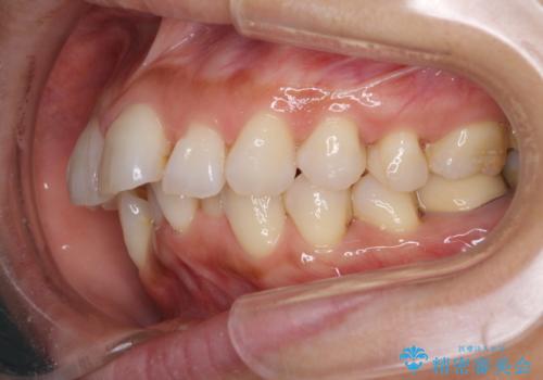
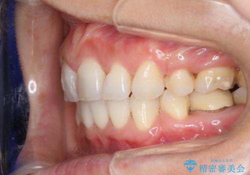
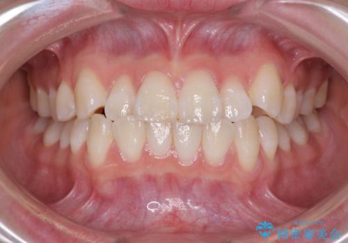
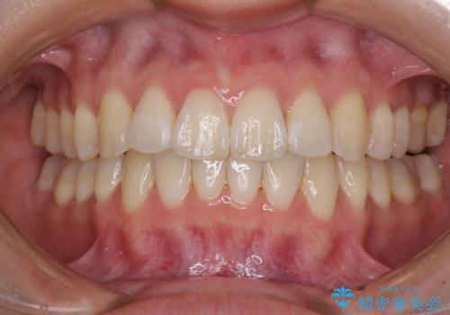
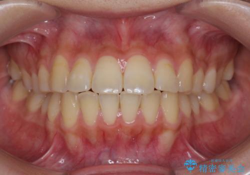
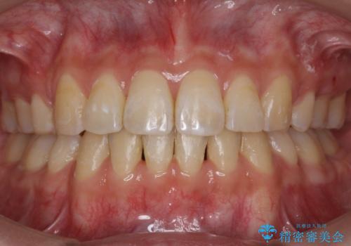
[口ゴボ] 口元が出ているのが気になる ワイヤーによる抜歯矯正で口元をすっきりと
![[口ゴボ] 口元が出ているのが気になる ワイヤーによる抜歯矯正で口元をすっきりとの症例 治療前](https://seimitsushinbi.jp/wp/wp-content/uploads/2020/08/IMG_1419-500x350.jpg?v=1596711819)
![[口ゴボ] 口元が出ているのが気になる ワイヤーによる抜歯矯正で口元をすっきりとの症例 治療後](https://seimitsushinbi.jp/wp/wp-content/uploads/2020/08/IMG_2186-500x350.jpg?v=1596711951)
再矯正 一度抜かないでやったが、やっぱり抜いて口元下げたい


上下の前歯のがたつき 歯を抜かずに矯正


ワイヤー矯正歯科治療の注意事項(リスク・副作用など)
- 治療中は違和感や痛みが起こることがあります
- 症状により、抜歯が必要な場合があります
- 治療中は歯磨きがしにくくなるため、虫歯や歯周病になりやすくなります
- 矯正治療後の保定が不十分だと後戻り(元の位置に戻ろうとする動き)をします
- 自費診療(保険適用外)となります
マウスピース矯正の注意事項(リスク・副作用など)
- 口腔内・歯並びの状態によっては対応できない場合があります
- マウスピース型矯正装置の長時間装着が必須です
- 治療計画通りに進めるためには、患者様の意志が重要になります
- 矯正治療後の保定が不十分だと後戻り(元の位置に戻ろうとする動き)をします
- 自費診療(保険適用外)となります
