症例・治療例紹介
Cases
根管治療 → リトリートメント
3ページ目 / 7
境目にものが詰まって気になる オールセラミッククラウン治療


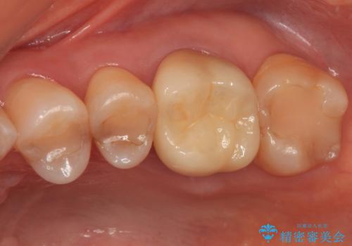
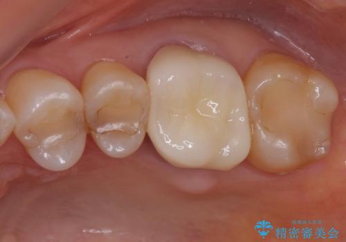
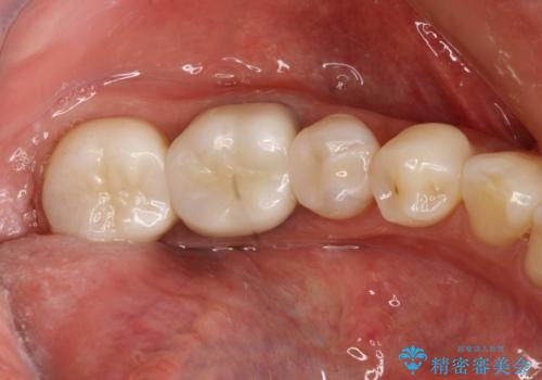
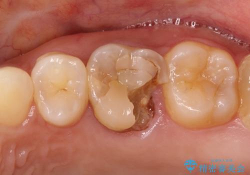
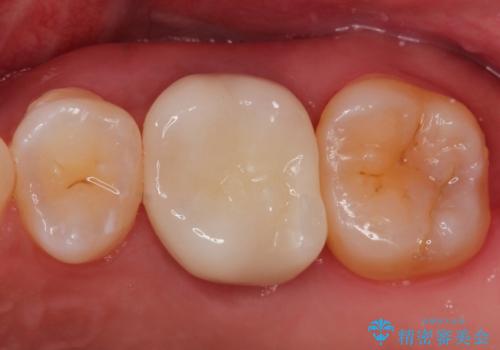
奥歯のむし歯を治したい セラミッククラウンによる補綴治療


つぎはぎだらけの前歯をオールセラミッククラウンで自然な前歯に


前歯の色が気になる【オールセラミッククラウン】


【精密根管治療+オールセラミッククラウン】より自然な前歯にしたい!


【根管治療】未処置根管を有した歯の再根管治療


【オールセラミッククラウン】他院で入れた被せものがすぐとれる


[ 前歯部セラミック治療 ]目立つ前歯をきれいにしたい
![[ 前歯部セラミック治療 ]目立つ前歯をきれいにしたいの症例 治療前](https://seimitsushinbi.jp/wp/wp-content/uploads/2022/04/9401b504f43bc2ce4a7dae12d09aa5c3-500x350.jpg?v=1649930447)
![[ 前歯部セラミック治療 ]目立つ前歯をきれいにしたいの症例 治療後](https://seimitsushinbi.jp/wp/wp-content/uploads/2022/04/21c4bdad5350d81f411ab868ac0877c9-500x350.jpg?v=1649930472)
【再根管治療】オールセラミッククラウンによる修復


後戻りした歯並びをきれいにしたい


歯の外部吸収 難しい根の治療 30代男性


金属を白くしたい、セラミックへ


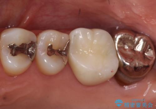
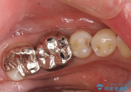
奥歯の被せ物のやり直し 精密根管治療


大きい虫歯 根管治療〜オールセラミッククラウン


根管治療の注意事項(リスク・副作用など)
- 根管治療により類似の全ての症例の問題が解決するわけではなく、症例はあくまでも一例です
- 根管治療により痛みや腫れがひかない事や、術後に痛みや腫れが生じる事、治療によるファイル破折やパーフォレーションなどの偶発症、術後の歯根破折を生じる可能性もあります
- 自費診療(保険適用外)となります


