症例・治療例紹介
Cases
インプラント治療 → 奥歯インプラント
17ページ目 / 36
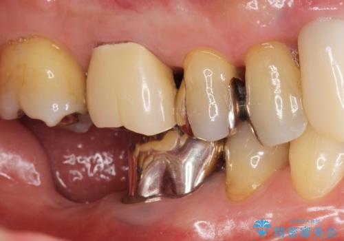
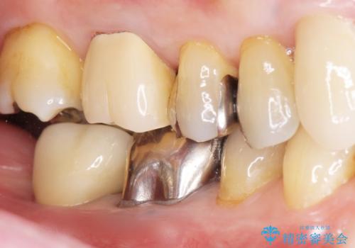
[ 重度歯周病 ] インプラント・義歯による咬合再構築
![[ 重度歯周病 ] インプラント・義歯による咬合再構築の症例 治療前](https://seimitsushinbi.jp/wp/wp-content/uploads/2021/07/0a652e75d5f31b51f66fbb3c46093249-500x350.jpg?v=1626759388)
![[ 重度歯周病 ] インプラント・義歯による咬合再構築の症例 治療後](https://seimitsushinbi.jp/wp/wp-content/uploads/2021/07/4c6838854beaf5801dbc7fde26492d6c-500x350.jpg?v=1626759531)
骨が少なくインプラントできないと言われた 下の奥歯のインプラント 60代男性


乳歯を抜いてインプラントに 咬み合わせ改善のインビザライン矯正


とにかく作り物のような真っ白な歯にしたい フルジルコニアクラウンによる補綴治療


[ 2歯連続欠損 ] インプラントによる機能回復
![[ 2歯連続欠損 ] インプラントによる機能回復 の症例 治療前](https://seimitsushinbi.jp/wp/wp-content/uploads/2021/06/7619f7b5c1f1e4edf6d576f5ab41abe7-500x350.jpg?v=1623390638)
![[ 2歯連続欠損 ] インプラントによる機能回復 の症例 治療後](https://seimitsushinbi.jp/wp/wp-content/uploads/2021/06/e9f570392fb27dc25eb48513f3cfe24e-500x350.jpg?v=1623390671)
遊離端ブリッジ インプラント補綴への設計変更


他院でインプラントできないと言われた 上顎洞底挙上術を併用したインプラント 50代男性


歯列不正と歯周病 総合歯科治療による全顎治療
担当医 藤巻太一朗


予算を抑えてしっかりとしたインプラント治療 30代男性


奥歯がわれている ソケットリフトを併用した奥歯のインプラント 60代男性


歯がぐらぐら 上顎洞底挙上術を併用した奥歯のインプラント 50代男性


咬合平面を揃え、早期接触・干渉を防ぐ補綴治療


出血が止まらない インプラント補綴を用いた歯周病治療


インプラント治療の注意事項(リスク・副作用など)
- 外科手術のため、術後に痛みや腫れ、違和感を伴います
- メンテナンスを怠ったり喫煙により、お口の中に大きな悪影響を及ぼすインプラント周囲炎等にかかる可能性があります
- 糖尿病、肝硬変、心臓病等の場合、インプラント治療ができない可能性があります
- 高血圧、貧血・不整脈等の場合、インプラント治療後に治癒不全を招く可能性があります
- 自費診療(保険適用外治療)となります




