症例・治療例紹介
Cases
セラミック治療 → 前歯ブリッジ
9ページ目 / 17
欠損歯と矮小歯 矯正治療と前歯のセラミック治療


前歯ブリッジのやりかえ 下の歯のがたつき 銀歯を全てセラミックに


インプラントを用いた歯周病全顎治療
担当医 大元洋佑


オールセラミッククラウン 前歯の被せ物を綺麗に


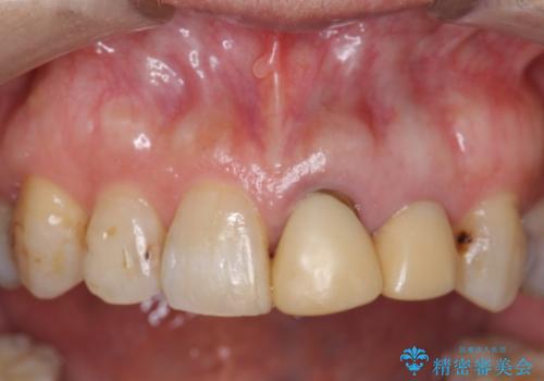
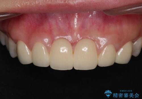
20年前に被せた前歯をやりかえたい 60代女性


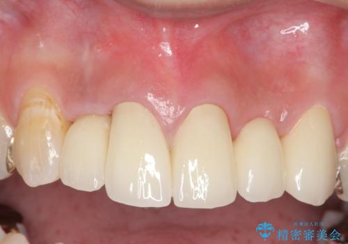
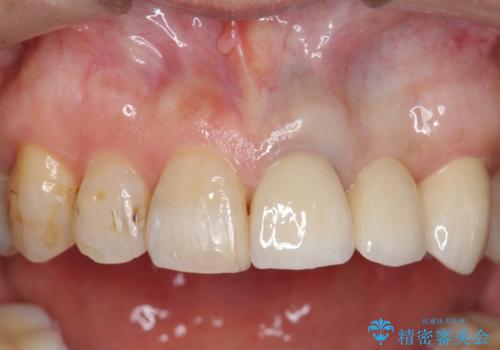
話しにくく腫れやすい前歯のブリッジ 使用感の良いオールセラミックブリッジに


前歯のブリッジ オールセラミッククラウン 歯根が割れてしまった歯の治療


歯並びをきれいにしたい、歯を真っ白にしたい 40代男性


オールセラミッククラウン 気になる歯茎と被せ物の隙間の改善


矯正治療と歯周外科処置を併用した審美歯科治療
担当医 藤巻太一朗


オールセラミッククラウン 前歯のブリッジ 気になる見た目の改善


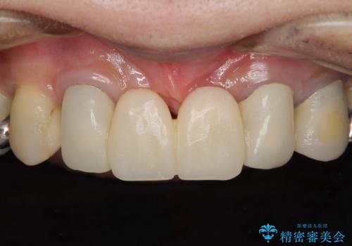
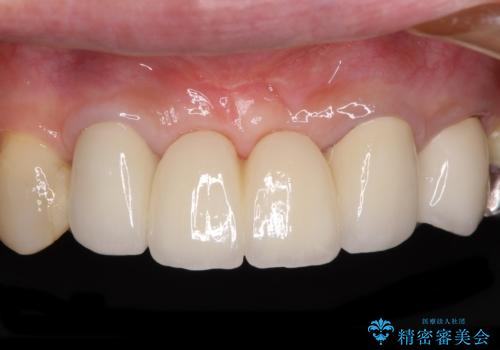
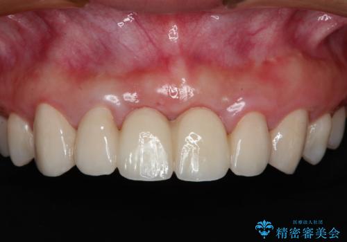
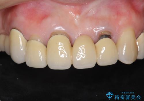
前歯 ブリッジ周囲の腫れた歯ぐきを改善


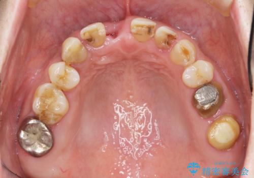
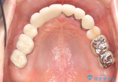
[歯周病治療] 歯周補綴 インプラント補綴
![[歯周病治療] 歯周補綴 インプラント補綴の症例 治療前](https://seimitsushinbi.jp/wp/wp-content/uploads/2020/03/067ed603e15bc4c623e950ffbd6c0829-500x350.jpg?v=1585493851)
![[歯周病治療] 歯周補綴 インプラント補綴の症例 治療後](https://seimitsushinbi.jp/wp/wp-content/uploads/2020/03/93a1bf8bd8e0f11621dbb40f6f1d795c-500x350.jpg?v=1585494318)
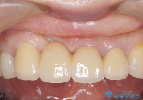
咬合性外傷による歯槽骨吸収 ブリッジ補綴
担当医 大元洋佑


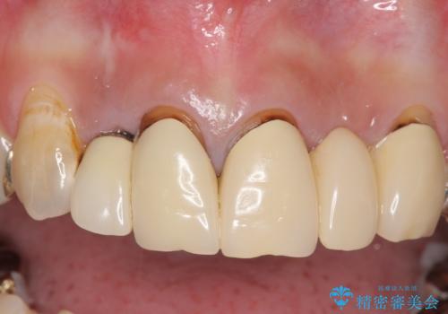
前歯ブリッジのやりかえ
担当医 大元洋佑


セラミック治療の注意事項(リスク・副作用など)
- 天然歯を削ります
- 硬い素材は天然歯を傷つけてしまう場合があります
- かみ合わせや歯ぎしりが強すぎる方はセラミックが割れてしまう可能性があります
- 自費診療(保険適用外治療)となります
