症例・治療例紹介
Cases
セラミック治療 → 前歯クラウン(オールセラミック)
7ページ目 / 73
前歯のデコボコを治したい インビザラインによる矯正治療


前歯の変色 審美性の改善


前歯を綺麗にしたい e-maxクラウンでの修復
担当医 岡田康成


できる限り口の中を綺麗にしたい。


前歯をきれいにしたい オールセラミッククラウンにによる補綴
担当医 齋藤佑磨


アライナー矯正+インプラント治療で前歯を綺麗に並べました


薬剤の影響で変色した歯を自然に オールセラミッククラウンによる審美歯科治療


下の前歯が欠けている セラミックで審美的に エアフローで着色除去も


前歯が欠けたので治してほしい
担当医 小澤俊哉


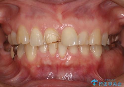
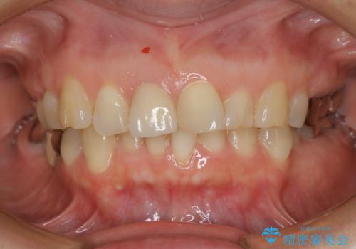
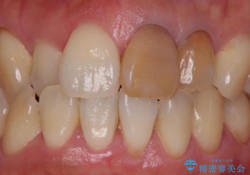
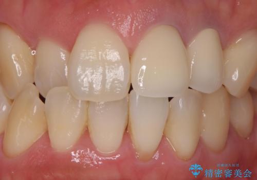
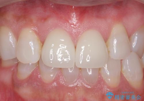
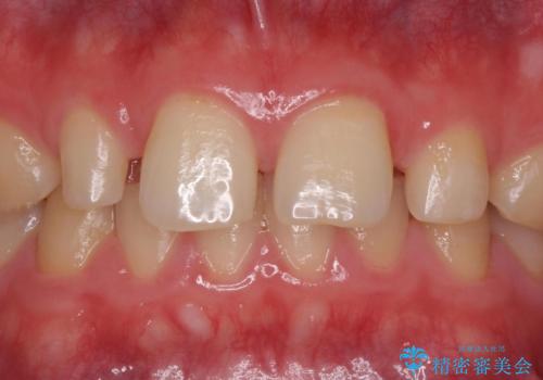
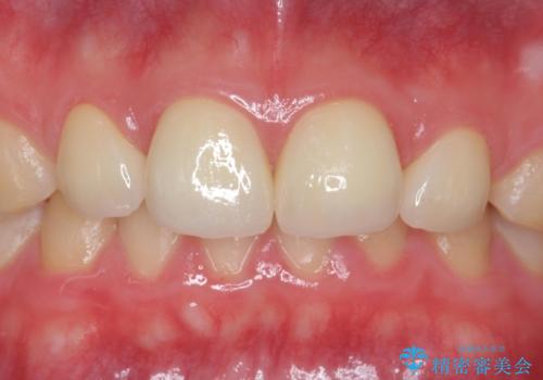
[ ジルコニアクラウン] 変色した前歯の治療
担当医 大元洋佑
![[ ジルコニアクラウン] 変色した前歯の治療の症例 治療前](https://seimitsushinbi.jp/wp/wp-content/uploads/2024/08/c8e3c91e6da07c2d2d0ffd723ce07771-500x350.jpg?v=1723789377)
![[ ジルコニアクラウン] 変色した前歯の治療の症例 治療後](https://seimitsushinbi.jp/wp/wp-content/uploads/2024/08/bb95eecc7f9bd3f610aafc8f510e0fb5-500x350.jpg?v=1723789419)
変色した前歯を治したい。ジルコニアクラウンでの修復
担当医 岡田康成


前歯が暗く変色 ジルコニアクラウンでの修復
担当医 岡田康成


ラミネートべニアが取れた ジルコニアクラウンでの修復
担当医 岡田康成


前歯の隙間を埋めたい 矯正かクラウンか
担当医 岡田康成


前歯の変色を改善 オールセラミック治療
担当医 大元洋佑


セラミック治療の注意事項(リスク・副作用など)
- 天然歯を削ります
- 硬い素材は天然歯を傷つけてしまう場合があります
- かみ合わせや歯ぎしりが強すぎる方はセラミックが割れてしまう可能性があります
- 自費診療(保険適用外治療)となります
