症例・治療例紹介
Cases
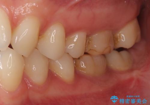
セラミック治療 → 奥歯クラウン(オールセラミック)
67ページ目 / 89
インプラントによる咬合回復
担当医 河口智英


金属だらけの奥歯 根管治療のやり直しとセラミック化


根っこの感染 再治療をしてかぶせ物を製作する


感染した奥歯 痛くて咬めない 根管治療→かぶせ物で痛みを取り除き、かみ合わせを回復する


奥歯が割れてしまった! → インプラントによるかみ合わせの回復


金属の奥歯 → 白い奥歯 根管治療からのやり直し


海外転勤前にセラミック治療


どんなに歯を磨いても治らない 重度歯周病患者の治療
担当医 藤巻太一朗


困ったことが多すぎて困っている 全顎治療による咬合回復


骨が薄い部位への骨造成をともなうインプラント


オールセラミッククラウン 歯肉より深い虫歯の治療


[20代女性]オールセラミッククラウン 根管治療後の補綴
![[20代女性]オールセラミッククラウン 根管治療後の補綴の症例 治療前](https://seimitsushinbi.jp/wp/wp-content/uploads/2019/09/IMG_9946-500x350.jpg)
![[20代女性]オールセラミッククラウン 根管治療後の補綴の症例 治療後](https://seimitsushinbi.jp/wp/wp-content/uploads/2019/09/IMG_9624-500x350.jpg)
奥歯がかけた。セラミッククラウンによる修復
担当医 河口智英


奥歯がかけた、見た目もきれいに治療したい


虫歯の治療 適合の良いセラミッククラウン


セラミック治療の注意事項(リスク・副作用など)
- 天然歯を削ります
- 硬い素材は天然歯を傷つけてしまう場合があります
- かみ合わせや歯ぎしりが強すぎる方はセラミックが割れてしまう可能性があります
- 自費診療(保険適用外治療)となります
