症例・治療例紹介
Cases
セラミック治療 → 前歯クラウン(オールセラミック)
48ページ目 / 73
接着ブリッジ 虫歯再発によるやりかえ


オールセラミッククラウン(スタンダード) ブリッジによる補綴治療


オールセラミッククラウン 上顎前歯部の隙間をセラミック矯正で


オールセラミッククラウン 黒ずんだ樹脂のやり替え


オールセラミッククラウン 前歯の見た目の改善


前歯 保険適応クラウンからジルコニアクラウンへのやりかえ


仮歯のままであった歯をセラミックへ


咬み合わせの修正を含めた前歯のオールセラミック修復 神経のない歯は根管治療から


継ぎ接ぎだらけで歯肉も腫れてしまった前歯 オールセラミックの審美歯科治療


金属で変色した前歯を綺麗にしたい オールセラミッククラウンによる前歯の治療


前歯の隙間を閉じたい。矯正と前歯のセラミック治療。
担当医 河口智英


前歯をきれいにしたい なるべく費用おさえて


神経の死んだ前歯のレジン修復の劣化 ジルコニアクラウンによる審美回復
担当医 大元洋佑


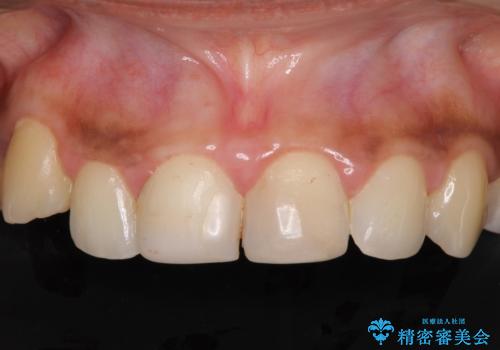
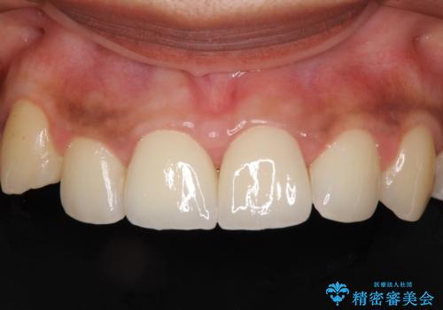
[ブラックマージン] 前歯をきれいにしたい 50代女性
![[ブラックマージン] 前歯をきれいにしたい 50代女性の症例 治療前](https://seimitsushinbi.jp/wp/wp-content/uploads/2019/05/IMG_0026-500x350.jpg)
![[ブラックマージン] 前歯をきれいにしたい 50代女性の症例 治療後](https://seimitsushinbi.jp/wp/wp-content/uploads/2019/05/IMG_0006-500x350.jpg)
上顎前歯 審美的なブリッジへの再製作


セラミック治療の注意事項(リスク・副作用など)
- 天然歯を削ります
- 硬い素材は天然歯を傷つけてしまう場合があります
- かみ合わせや歯ぎしりが強すぎる方はセラミックが割れてしまう可能性があります
- 自費診療(保険適用外治療)となります
