症例・治療例紹介
Cases
セラミック治療 → 前歯クラウン(オールセラミック)
41ページ目 / 73
オールセラミッククラウン(スペシャル) 見た目が気になる前歯を綺麗に


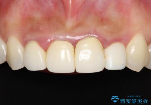
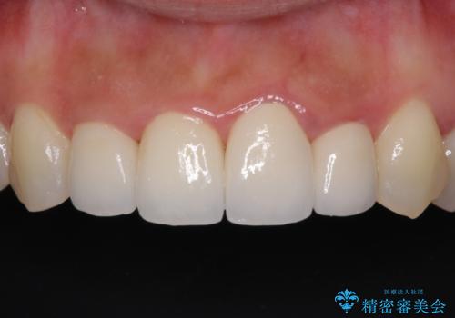
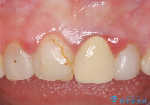
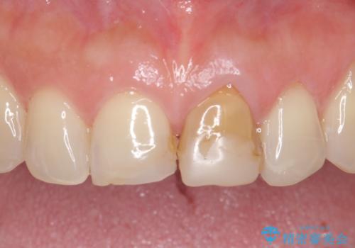
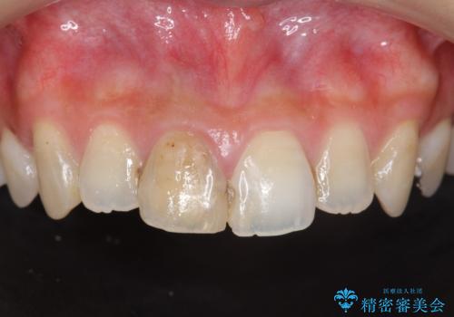
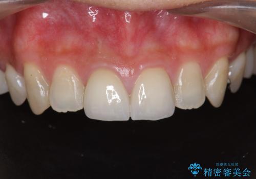
前歯のオールセラミック 腫れている歯肉が改善


インビザライン矯正とインプラント治療と 総合歯科治療


矮小歯のセラミック治療 小さい前歯を自然に仕上げる


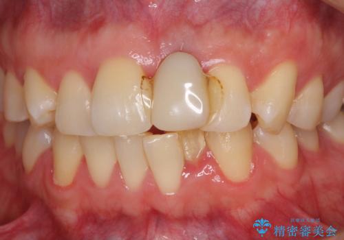
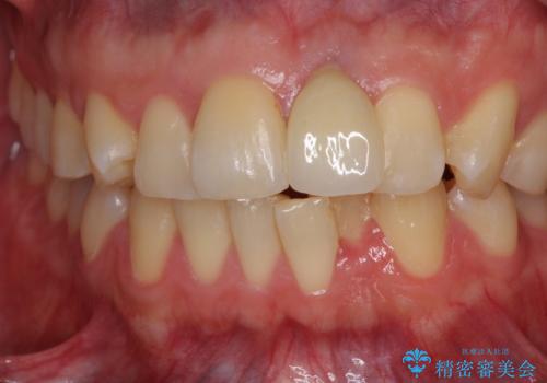
深い虫歯と不自然な色調の前歯 オールセラミッククラウンで自然に


他院で治療したインプラント セラミッククラウンの装着


オールセラミッククラウン 前歯を綺麗に 神経が死んだ歯の再治療~補綴


前歯が痛い。根管治療~セラミッククラウン
担当医 河口智英


上の前歯の根元が黒い 根の治療を含めたセラミック再治療


オールセラミッククラウン 変色が気になる前歯の治療


小さいころに前歯を折った がたがたの矯正+変色した前歯をセラミックに


オールセラミッククラウン 変色した前歯を白く綺麗な歯へ


前歯 審美改善セラミック治療
担当医 大元洋佑


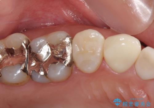
痛みが続く銀歯をセラミックに


折れてしまって変色した前歯をオールセラミックに


セラミック治療の注意事項(リスク・副作用など)
- 天然歯を削ります
- 硬い素材は天然歯を傷つけてしまう場合があります
- かみ合わせや歯ぎしりが強すぎる方はセラミックが割れてしまう可能性があります
- 自費診療(保険適用外治療)となります
