症例・治療例紹介
Cases
セラミック治療 → 前歯クラウン(オールセラミック)
36ページ目 / 73
オールセラミッククラウン(スペシャル) 根管治療後の補綴


昔装着したかぶせ物を自然な色にしたい オールセラミックによる審美的改善


埋まっている奥歯を引っ張り出す インビザライン矯正


気になる前歯を治したい インビザライン矯正とオールセラミッククラウン


変色した前歯 オーダーメイドタイプのオールセラミッククラウン


前歯のつめもの きれいにしたい 30代男性


汚れてしまった保険のクラウン 前歯のオールセラミック


変色した前歯のオールセラミック治療


セラミック矯正 気になる前歯の歯並びの改善


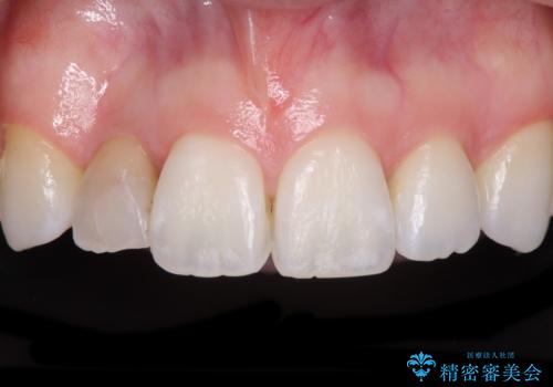
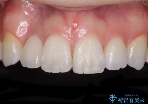
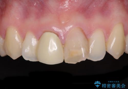
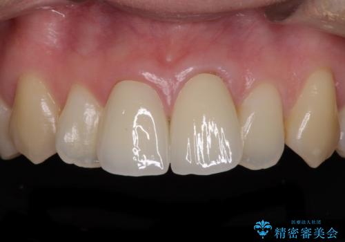
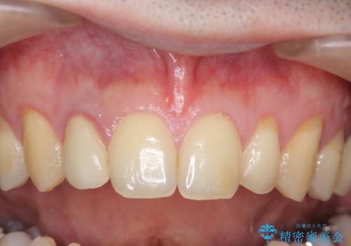
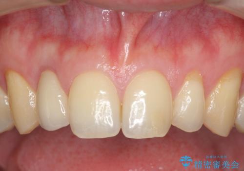
[ 歯ぐきの黒ずみ ] ジルコニアクラウンによる審美改善
担当医 大元洋佑
![[ 歯ぐきの黒ずみ ] ジルコニアクラウンによる審美改善の症例 治療前](https://seimitsushinbi.jp/wp/wp-content/uploads/2020/10/8184391a60d92517dda0de9e37d9bedb-500x350.jpg?v=1602992869)
![[ 歯ぐきの黒ずみ ] ジルコニアクラウンによる審美改善の症例 治療後](https://seimitsushinbi.jp/wp/wp-content/uploads/2020/10/b3f127e7f73c2a747e623722a1c91e8a-500x350.jpg?v=1602992891)
オールセラミッククラウン メタルフリーのクラウンへ


前歯とメタルタトゥー見た目が気になる 矯正・セラミックを組み合わせた治療


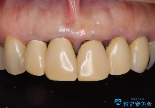
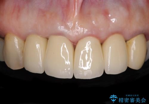
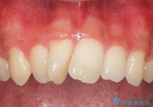
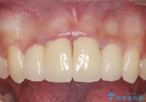
[セラミック治療] 溶けて形の悪くなった歯を改善したい
担当医 大元洋佑
![[セラミック治療] 溶けて形の悪くなった歯を改善したいの症例 治療前](https://seimitsushinbi.jp/wp/wp-content/uploads/2020/09/6cba5cdbb644ada1d83d531daea06619-500x350.jpg?v=1601116119)
![[セラミック治療] 溶けて形の悪くなった歯を改善したいの症例 治療後](https://seimitsushinbi.jp/wp/wp-content/uploads/2020/09/8399b15d8f2af6801ec280f19e25456a-500x350.jpg?v=1601116140)
折れてしまった前歯 インプラントによる補綴治療


前歯のクロスバイトと変色した歯 ワイヤー矯正とセラミック治療


セラミック治療の注意事項(リスク・副作用など)
- 天然歯を削ります
- 硬い素材は天然歯を傷つけてしまう場合があります
- かみ合わせや歯ぎしりが強すぎる方はセラミックが割れてしまう可能性があります
- 自費診療(保険適用外治療)となります
