症例・治療例紹介
Cases
セラミック治療 → 前歯クラウン(オールセラミック)
33ページ目 / 73
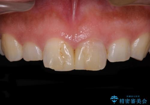
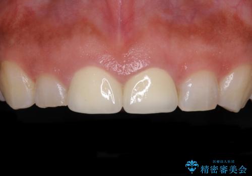
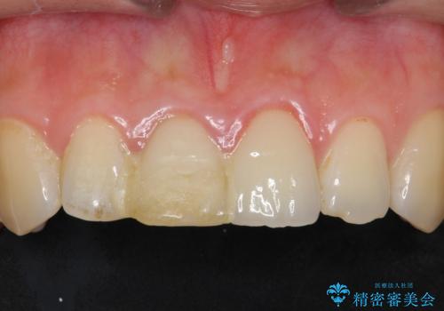
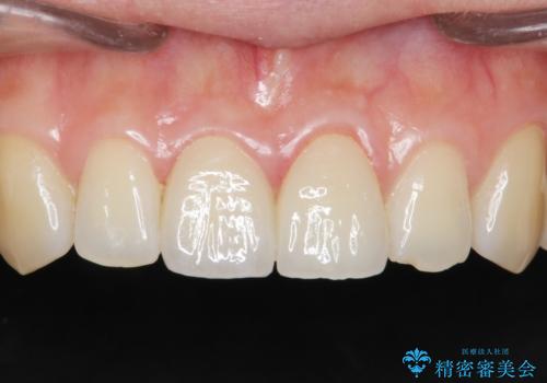
長さの気になる変色した前歯をオールセラミッククラウンに


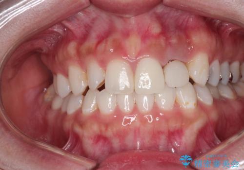
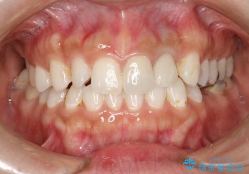
気になる前歯を美しく マウスピース矯正とセラミッククラウン


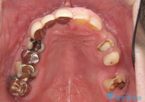
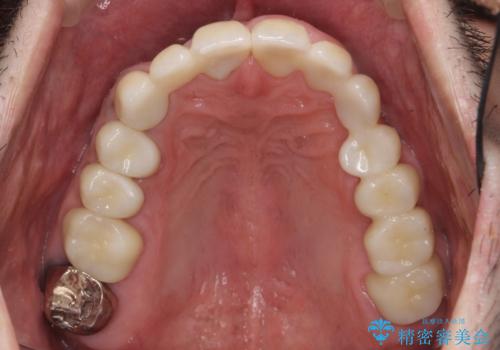
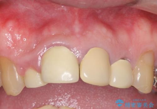
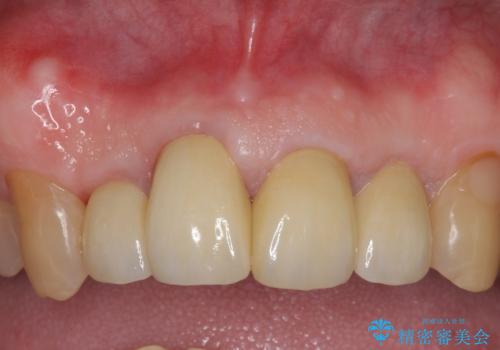
オールセラミッククラウン ブリッジによる欠損歯の補綴


オールセラミッククラウン セラミックで前歯の見た目を改善


オールセラミッククラウン 再根管治療後の補綴


オールセラミッククラウン 部分矯正


オールセラミッククラウン 根管治療のやり直し


割れにくいセラミック治療 フルジルコニアクラウン
担当医 大元洋佑


矯正治療後のセラミッククラウン


気になる部分を全て治療 総合歯科治療で口腔内環境改善
担当医 藤巻太一朗


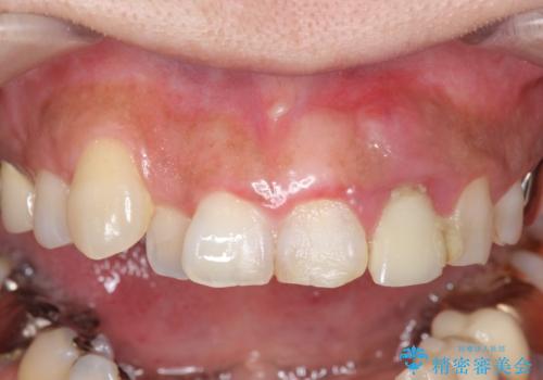
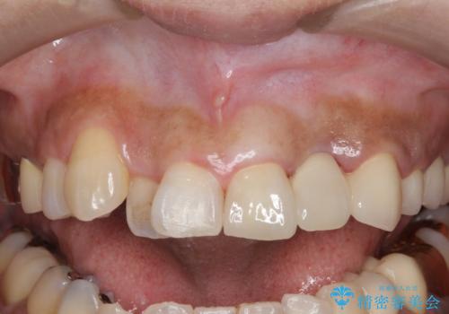
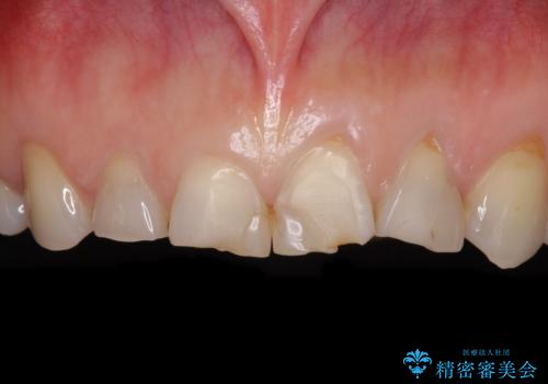
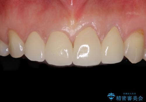
欠けてガタガタの前歯 オールセラミッククラウンによる補綴治療


歯列不正と歯周病 総合歯科治療による全顎治療
担当医 藤巻太一朗


銀歯を白くしたい セラミックによる審美歯科治療


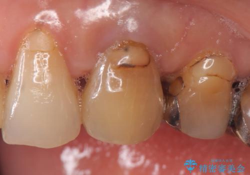
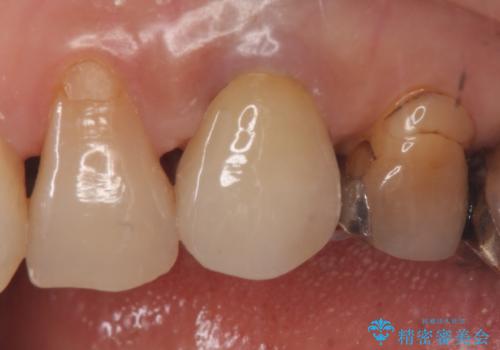
外れそうで不適合のかぶせ物の根管治療からの再治療


歯が折れた セラミックで綺麗に 30代女性


セラミック治療の注意事項(リスク・副作用など)
- 天然歯を削ります
- 硬い素材は天然歯を傷つけてしまう場合があります
- かみ合わせや歯ぎしりが強すぎる方はセラミックが割れてしまう可能性があります
- 自費診療(保険適用外治療)となります
