症例・治療例紹介
Cases
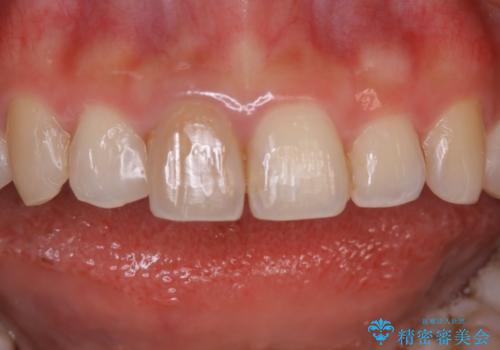
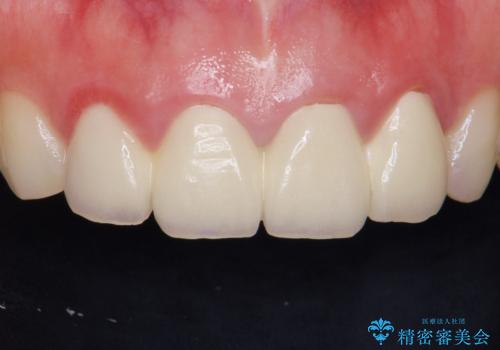
セラミック治療 → 前歯クラウン(オールセラミック)
32ページ目 / 73
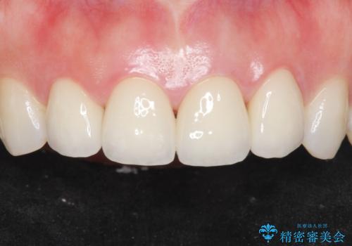
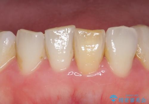
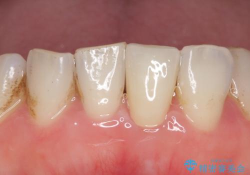
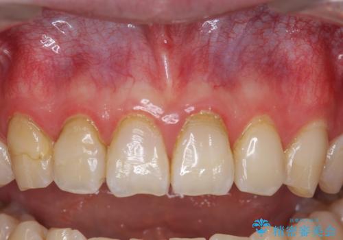
[MTMを行い歯の神経を保存] 歯周補綴ブリッジ
![[MTMを行い歯の神経を保存] 歯周補綴ブリッジの症例 治療前](https://seimitsushinbi.jp/wp/wp-content/uploads/2021/04/21310c2f37874ac2f2ba9939da2fee68-500x350.jpg?v=1618452125)
![[MTMを行い歯の神経を保存] 歯周補綴ブリッジの症例 治療後](https://seimitsushinbi.jp/wp/wp-content/uploads/2021/04/75330aaa19199048b71f28658fe46b5b-1-500x350.jpg?v=1618452202)
前歯1本だけ色が違う:他の歯となじむ被せ物で自然な仕上がりに


美容外科による不自然なかぶせもので、前歯がコンプレックスに。自然なセラミックにやりかえ 30代女性


境目が見えている前歯のクラウンをオールセラミッククラウンに


矯正を含む全顎治療


歯肉が腫れている前歯 外科処置を併用したオールセラミッククラウン


矯正の後戻りと変色歯を治したい 総合歯科診療


前歯の変色が気になる オールセラミッククラウンによる審美歯科治療


子供の頃にぶつけた前歯 根管治療から行うセラミック治療


変色した歯をセラミックできれいに


前歯の歯並びと小さい歯を改善 インビザラインとオールセラミッククラウン


前歯の変色 セラミッククラウンによる審美回復
担当医 大元洋佑


オールセラミッククラウン 変色した前歯をセラミックで白く


神経をとった前歯が変色してきた


オールセラミッククラウン 色・形が気になる前歯の改善


セラミック治療の注意事項(リスク・副作用など)
- 天然歯を削ります
- 硬い素材は天然歯を傷つけてしまう場合があります
- かみ合わせや歯ぎしりが強すぎる方はセラミックが割れてしまう可能性があります
- 自費診療(保険適用外治療)となります
