症例・治療例紹介
Cases
セラミック治療 → 前歯クラウン(オールセラミック)
31ページ目 / 73
[前歯のグラつき] 根本的な前歯の審美治療を希望
![[前歯のグラつき] 根本的な前歯の審美治療を希望の症例 治療前](https://seimitsushinbi.jp/wp/wp-content/uploads/2021/05/629938b52c68d046e63cd665b21966f8-500x350.jpg?v=1621143093)
![[前歯のグラつき] 根本的な前歯の審美治療を希望の症例 治療後](https://seimitsushinbi.jp/wp/wp-content/uploads/2021/05/538a16b121bae8a84247f5fbfcf67138-500x350.jpg?v=1621143114)
[歯ぐきの腫れを改善] 不適合なセラミッククラウン
![[歯ぐきの腫れを改善] 不適合なセラミッククラウンの症例 治療前](https://seimitsushinbi.jp/wp/wp-content/uploads/2021/05/d3698f75da5c9c2f1517ff65517f93ea-500x350.jpg?v=1620805736)
![[歯ぐきの腫れを改善] 不適合なセラミッククラウンの症例 治療後](https://seimitsushinbi.jp/wp/wp-content/uploads/2021/05/13abcd3b3530a8d46fdac3629a597138-500x350.jpg?v=1620805776)
歯並びを含めて前歯をきれいにしたい インビザラインとセラミック治療


出血が止まらない インプラント補綴を用いた歯周病治療


気がついたら歯が欠けていた 奥歯のセラミック補綴


前歯の奇形歯 オールセラミッククラウンによる審美歯科治療


歯並びと目立つ金属を治したい 総合歯科治療


強い咬み合わせで削れた前歯 セラミッククラウンで自然な形に


変色した前歯のクラウン オールセラミッククラウンにより審美歯科治療


目立つ前歯の詰め物 オーダーメイドのセラミッククラウンで審美的に仕上げる


変色した前歯 オールセラミッククラウンにより審美歯科治療


出っ歯を改善した後に真っ白な歯に 矯正歯科治療と審美歯科治療


前歯の色が気になる、オールセラミッククラウンによる治療


マウスピース矯正とセラミックの組み合わせ治療


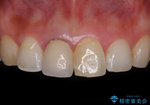
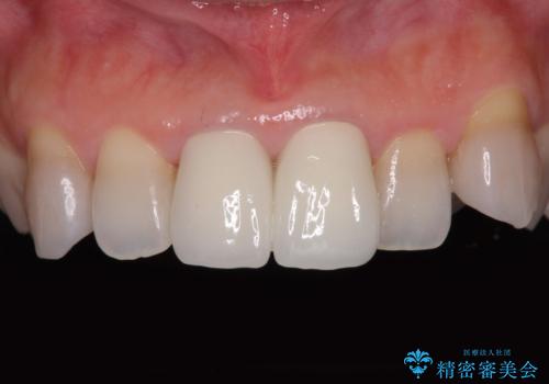
[ 前歯の見た目をよくしたい ] 前歯セラミック治療
担当医 大元洋佑
![[ 前歯の見た目をよくしたい ] 前歯セラミック治療の症例 治療前](https://seimitsushinbi.jp/wp/wp-content/uploads/2021/04/25a7c7d04ee3be00010d80731faffa9d-500x350.jpg?v=1618473240)
![[ 前歯の見た目をよくしたい ] 前歯セラミック治療の症例 治療後](https://seimitsushinbi.jp/wp/wp-content/uploads/2021/04/4035efdedc5674544189dca6e491f07e-500x350.jpg?v=1618473253)
セラミック治療の注意事項(リスク・副作用など)
- 天然歯を削ります
- 硬い素材は天然歯を傷つけてしまう場合があります
- かみ合わせや歯ぎしりが強すぎる方はセラミックが割れてしまう可能性があります
- 自費診療(保険適用外治療)となります
