症例詳細
Case detail
出っ歯に仕上がってしまった前歯 セラミッククラウンの作り替え
治療症例の内容
- 診療科目
- 治療カテゴリ
- 担当医
- 藤巻太一朗(ドクタープロフィール)
- 患者様
- 20代女性
- 治療期間
- 1ヶ月
- 治療回数
- 2-5回
- 治療計画
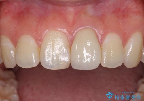
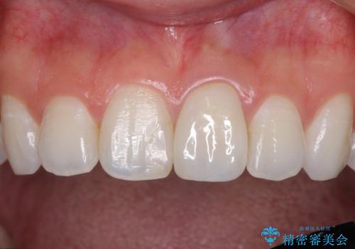
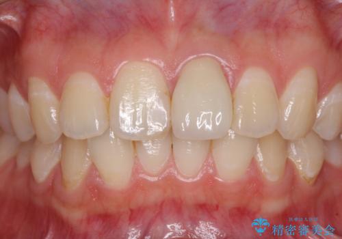
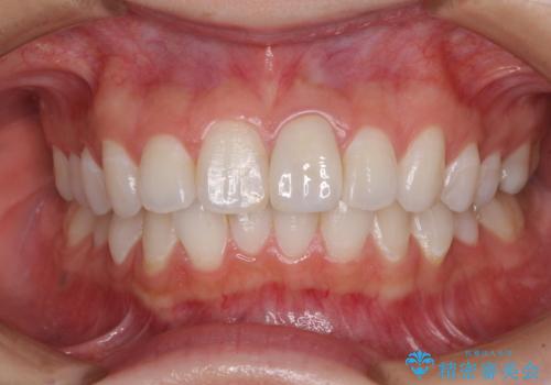
- 以前治療した時から、前歯のセラミックが張り出しているのが気になるとのことで来院された患者様です。
作り替えるべきが悩みましたが、どうしても気になるとのことで、処置を行うこととしました。
- 費用(概算)
- 治療費の目安: 11万円費用は治療当時の料金となります
治療について
前歯1歯でのオールセラミッククラウンでは、オーダーメイドタイプのクラウンを選択していただき、周辺の歯と色調を合わせるようにするのですが、今回は既製タイプを選択されました。
セラミック治療の注意事項(リスク・副作用など)
- 天然歯を削ります
- 硬い素材は天然歯を傷つけてしまう場合があります
- かみ合わせや歯ぎしりが強すぎる方はセラミックが割れてしまう可能性があります
- 自費診療(保険適用外治療)となります
当サイトの内容、テキスト、画像等の無断転載、複製、複写、盗用を固く禁じます。














