症例・治療例紹介
Cases
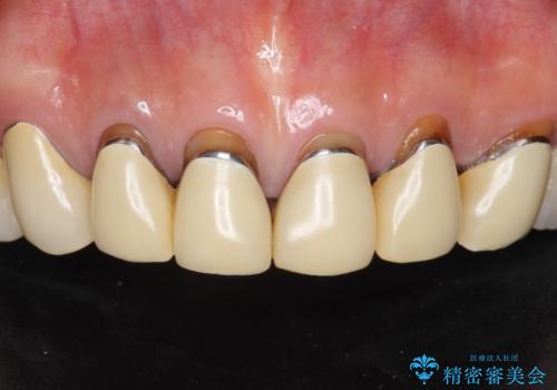
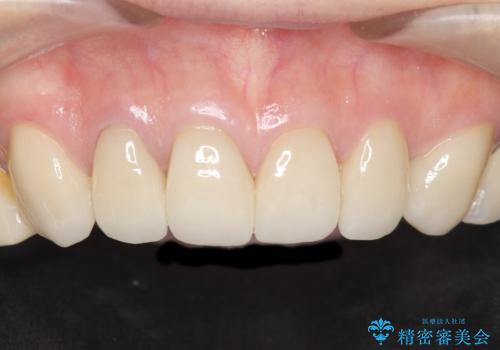
セラミック治療 → 前歯クラウン(オールセラミック)
28ページ目 / 73
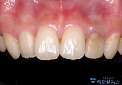
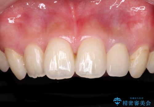
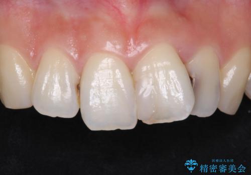
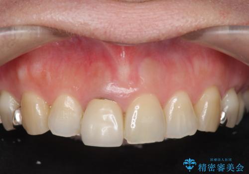
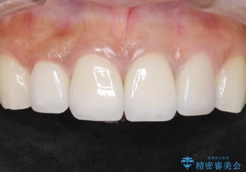
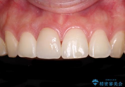
[ メタルフリー治療 ] 金属のない口腔内にしたい
![[ メタルフリー治療 ] 金属のない口腔内にしたいの症例 治療前](https://seimitsushinbi.jp/wp/wp-content/uploads/2021/09/2a134eb6522ae423858539412c8101be-500x350.jpg?v=1632299928)
![[ メタルフリー治療 ] 金属のない口腔内にしたいの症例 治療後](https://seimitsushinbi.jp/wp/wp-content/uploads/2021/09/7dd01ef5eeb5bcef896adc1f4413dba9-500x350.jpg?v=1632299935)
むし歯で変色した前歯をセラミッククラウンできれいに


歯並びや奥歯の痛み 色々と治したい 総合歯科診療
担当医 藤巻太一朗


長持ちするセラミック 4年半経過症例 50代女性


結婚式までに前歯をきれいにしたい 抜歯矯正とオールセラミッククラウン


前歯の虫歯 矯正治療してからしっかり治す


インプラント治療・セラミック治療を含む 全顎的虫歯治療
担当医 大元洋佑


前歯をきれいにしたい 20代女性


セラミッククラウン 歯ぐきの黒ずみの改善
担当医 大元洋佑


「 放置した虫歯 」 前歯セラミック治療


長持ちするセラミック 5年経過症例 50代女性


歯の外部吸収 難しい根の治療 30代男性


不揃いな前歯のセラミックが気になる オールセラミッククラウンによる補綴治療


転倒して欠けてしまった前歯をオールセラミッククラウンで自然な口元に


話にくい 咬みにくい 笑いにくい 気に入らないセラミッククラウンを全て作り直し


セラミック治療の注意事項(リスク・副作用など)
- 天然歯を削ります
- 硬い素材は天然歯を傷つけてしまう場合があります
- かみ合わせや歯ぎしりが強すぎる方はセラミックが割れてしまう可能性があります
- 自費診療(保険適用外治療)となります
