症例詳細
Case detail
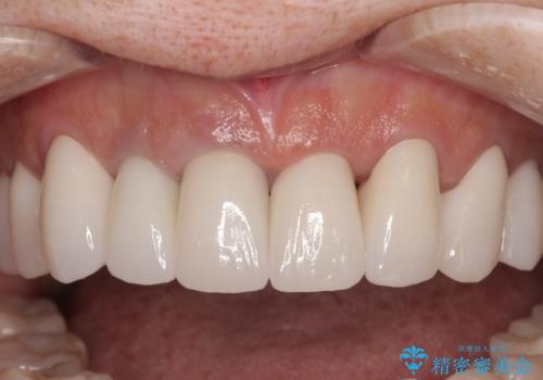
横から見た時の歯の色が違いすぎる 前歯のオールセラミッククラウン
治療症例の内容
- 診療科目
- 治療カテゴリ
- 担当医
- 藤巻太一朗(ドクタープロフィール)
- 患者様
- 50代女性
- 治療期間
- 1ヶ月
- 治療回数
- 2-5回
- 治療計画
- 以前に他院で装着した前歯のオールセラミッククラウンが気になるとのことで来院された患者様です。
真ん中のオールセラミッククラウンを正面から見ると大変自然に仕上がっているのですが、側方から見ると白色が強く、さらには隣の歯は神経が除去されて変色していたため、コントラストでより色の違いが際立っていました。
前歯2本をオールセラミッククラウンにて補綴治療することとしました。
- 費用(概算)
- 治療費の目安: 35万円(税込)費用は治療当時の料金となります
治療について
仮歯を装着した時点で、口元が気にならなくなったので、患者様が感じていた違和感の原因は変色した前から2番目の歯であったと思われます。
形態や色彩が左右対称となるように仕上がり、患者様には大変満足していただきました。
セラミック治療の注意事項(リスク・副作用など)
- 天然歯を削ります
- 硬い素材は天然歯を傷つけてしまう場合があります
- かみ合わせや歯ぎしりが強すぎる方はセラミックが割れてしまう可能性があります
- 自費診療(保険適用外治療)となります
当サイトの内容、テキスト、画像等の無断転載、複製、複写、盗用を固く禁じます。














