症例・治療例紹介
Cases
セラミック治療 → 前歯クラウン(オールセラミック)
27ページ目 / 73
【オールセラミックスタンダード】前歯のブリッジ
担当医 河口智英


横から見た時の歯の色が違いすぎる 前歯のオールセラミッククラウン


後戻りした歯並びをきれいにしたい


テトラサイクリン歯をオールセラミッククラウンで審美的に


治療途中の前歯を治したい インビザライン矯正とオールセラミッククラウン


奥歯の銀歯と歯並びを改善 歯周外科治療と矯正治療を行った総合歯科診療


変色した保険クラウンをきれいに オールセラミッククラウンによる補綴治療


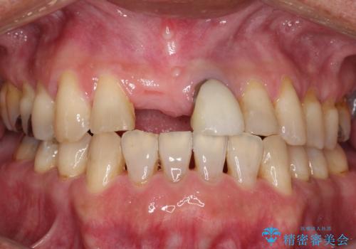
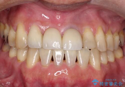
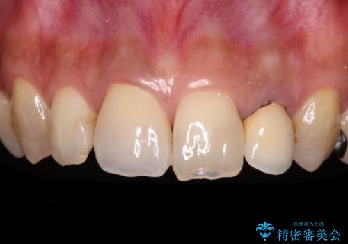
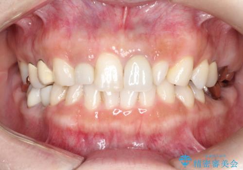
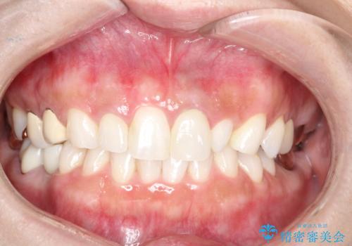
[ 歯ぐきを押すと痛む ] 根管治療の必要な前歯治療
![[ 歯ぐきを押すと痛む ] 根管治療の必要な前歯治療の症例 治療前](https://seimitsushinbi.jp/wp/wp-content/uploads/2021/10/c82595c07b1034d506ee9a41b2f43a37-500x350.jpg?v=1634264510)
![[ 歯ぐきを押すと痛む ] 根管治療の必要な前歯治療の症例 治療後](https://seimitsushinbi.jp/wp/wp-content/uploads/2021/10/5f5858ad0a0979b6f98bd8be1e57a5d6-500x350.jpg?v=1634264519)
海外での被せ物 色が気になる
担当医 河野裕二


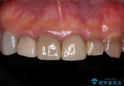
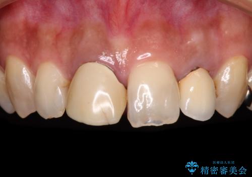
[根管治療・セラミッククラウン] 前歯の痛み・見た目を改善したい
![[根管治療・セラミッククラウン] 前歯の痛み・見た目を改善したいの症例 治療前](https://seimitsushinbi.jp/wp/wp-content/uploads/2021/10/27aece2ee2a0fb95849ae035eabf5926-500x350.jpg?v=1633830098)
![[根管治療・セラミッククラウン] 前歯の痛み・見た目を改善したいの症例 治療後](https://seimitsushinbi.jp/wp/wp-content/uploads/2021/10/969aa8878a18bb42608c420b34b6b67f-500x350.jpg?v=1633830182)
保険のかぶせ物・詰め物を金属を使わないセラミックへ 自然な見た目へ


前歯の被せ物をやり替えたい
担当医 河口智英


[ 歯が小さい ] 根管治療を伴う矮小歯治療
![[ 歯が小さい ] 根管治療を伴う矮小歯治療の症例 治療前](https://seimitsushinbi.jp/wp/wp-content/uploads/2021/09/c31c85cea60404f69948fd7103e8c7ca-500x350.jpg?v=1632883039)
![[ 歯が小さい ] 根管治療を伴う矮小歯治療の症例 治療後](https://seimitsushinbi.jp/wp/wp-content/uploads/2021/09/80796f663a2a5f8bf47550dede73495e-500x350.jpg?v=1632882140)
オーダーメイドで造る、自然な前歯セラミッククラウン


前歯が疼く セラミッククラウンのやり替え


セラミック治療の注意事項(リスク・副作用など)
- 天然歯を削ります
- 硬い素材は天然歯を傷つけてしまう場合があります
- かみ合わせや歯ぎしりが強すぎる方はセラミックが割れてしまう可能性があります
- 自費診療(保険適用外治療)となります
