症例・治療例紹介
Cases
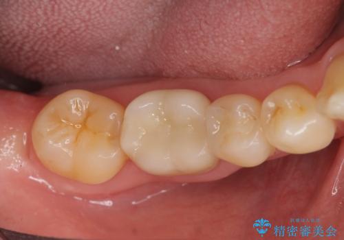
セラミック治療 → セラミックインレー
25ページ目 / 49
気になる所を一気に治療 総合歯科治療


インレーとクラウン 銀歯をセラミックにやりかえ


インビザラインで前歯の中心をお顔の中心に合わせる


銀歯を無くしたい:適合の良いセラミックでやり替え


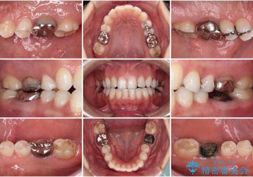
[ セラミック・インプラント全顎治療 ] 長年悩まされている歯の治療にケリをつけたい
![[ セラミック・インプラント全顎治療 ] 長年悩まされている歯の治療にケリをつけたいの症例 治療前](https://seimitsushinbi.jp/wp/wp-content/uploads/2022/01/699ba08b6e311b07f9d2ea9a5b757aea-500x350.jpg?v=1642042101)
![[ セラミック・インプラント全顎治療 ] 長年悩まされている歯の治療にケリをつけたいの症例 治療後](https://seimitsushinbi.jp/wp/wp-content/uploads/2022/01/f4f9ee9ff7018c558de74748d97a4667-500x350.jpg?v=1642042445)
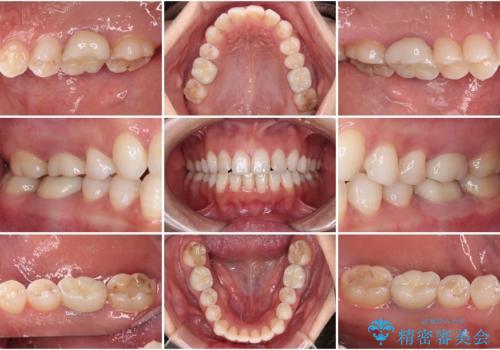
むし歯だらけの歯を治したい インプラントを用いた補綴治療


目立つ銀歯を白くしたい 奥歯のセラミック治療


歯並びの改善とインプラントでのかみ合わせの回復 インプラント・セラミック・矯正全顎治療


フロスを通すと臭い 歯と歯の間の虫歯 セラミックインレー 30代女性


前歯のクロスバイトと治療が必要なむし歯 矯正とセラミックの総合歯科治療


奥歯の隙間を治したい 矯正は嫌 30代女性


気になる前歯をインビザライン・ライトで 矯正治療後には銀歯をセラミックに


詰め物の境目が黒くて気になる 40代女性


短期間での治療 急速拡大装置を併用したワイヤー装置による矯正治療


全体的な虫歯治療


セラミック治療の注意事項(リスク・副作用など)
- 天然歯を削ります
- 硬い素材は天然歯を傷つけてしまう場合があります
- かみ合わせや歯ぎしりが強すぎる方はセラミックが割れてしまう可能性があります
- 自費診療(保険適用外治療)となります
