症例・治療例紹介
Cases
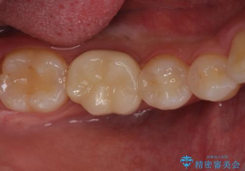
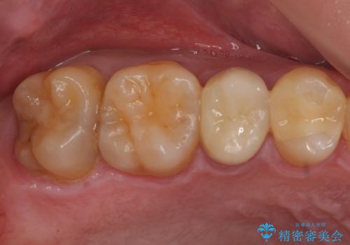
セラミック治療 → セラミックインレー
22ページ目 / 49
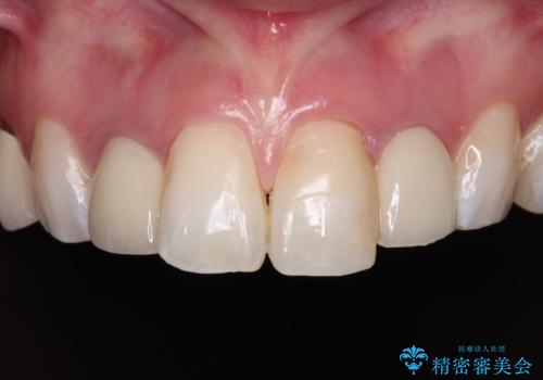
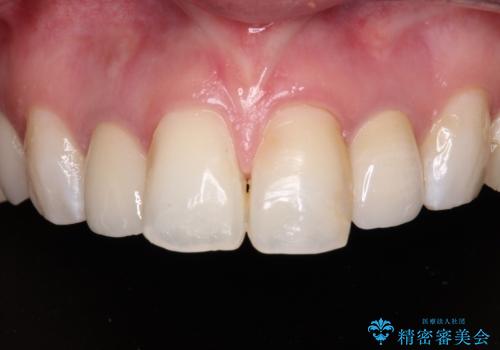
金属の見えてしまったクラウン セラミッククラウンで自然に


銀歯のやり替え セラミックで白い歯に


前歯のデコボコを治したい ワイヤー装置でお手軽に矯正治療


歯と歯の間によくものが詰まる。。セラミック治療


口腔内をメタルフリーにしたい


反対咬合や欠損を治療したい インビザライン矯正とオールセラミックブリッジ


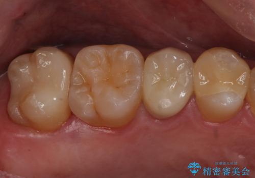
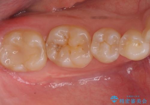
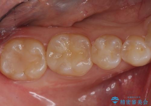
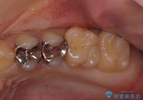
銀の詰め物を白い物にしたい


セラミック治療の注意事項(リスク・副作用など)
- 天然歯を削ります
- 硬い素材は天然歯を傷つけてしまう場合があります
- かみ合わせや歯ぎしりが強すぎる方はセラミックが割れてしまう可能性があります
- 自費診療(保険適用外治療)となります
















