症例・治療例紹介
Cases
セラミック治療 → 前歯クラウン(オールセラミック)
18ページ目 / 73
転んで欠けてしまった前歯 抜歯を回避してオールセラミッククラウンで審美回復


欠けてしまったセラミッククラウン 周囲のクラウンと同様の色彩で再製作


左右に骨格がずれて咬みにくい ワイヤー装置による抜歯矯正


前歯部 インプラント治療


前歯の着色が気になる(失活歯)
担当医 菊地俊介


前歯の色が気になる【オールセラミッククラウン】


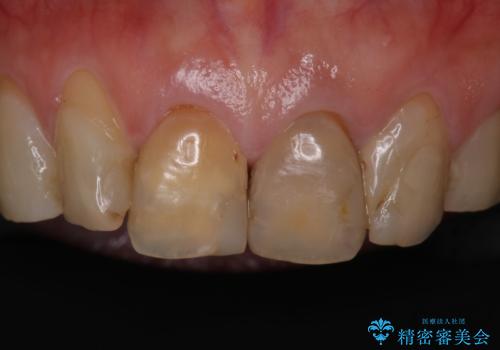
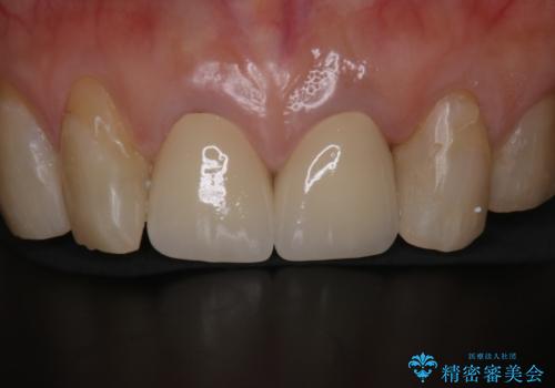
[ 審美歯科 ] 歯並び・色・形を改善! セラミッククラウン治療
担当医 大元洋佑
![[ 審美歯科 ] 歯並び・色・形を改善! セラミッククラウン治療の症例 治療前](https://seimitsushinbi.jp/wp/wp-content/uploads/2023/02/6cba5cdbb644ada1d83d531daea06619-500x350.jpg?v=1676969094)
![[ 審美歯科 ] 歯並び・色・形を改善! セラミッククラウン治療の症例 治療後](https://seimitsushinbi.jp/wp/wp-content/uploads/2023/02/ab88541949ec6ad5e37422a2b53b4b95-500x350.jpg?v=1676969101)
抜歯と言われた歯 部分矯正と歯周外科処置で抜かずに保存


歯ぐきにできものができた 前歯の色調改善


境目が目立つラミネートベニアを作り替え


白すぎる前歯と虫歯の奥歯 セラミック治療


ひどすぎる前歯の仮歯 オールセラミッククラウンで自然な前歯に


転んでぶつけて抜歯 前歯のオールセラミックブリッジ


【モニター】前歯の変色とデコボコを改善 インビザラインとオールセラミック


セラミック治療の注意事項(リスク・副作用など)
- 天然歯を削ります
- 硬い素材は天然歯を傷つけてしまう場合があります
- かみ合わせや歯ぎしりが強すぎる方はセラミックが割れてしまう可能性があります
- 自費診療(保険適用外治療)となります


