症例・治療例紹介
Cases
セラミック治療 → セラミックインレー
13ページ目 / 49
ハーフリンガルで歯列をきれいに セラミック治療で気になる銀歯も自然な色に


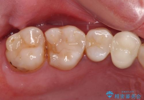
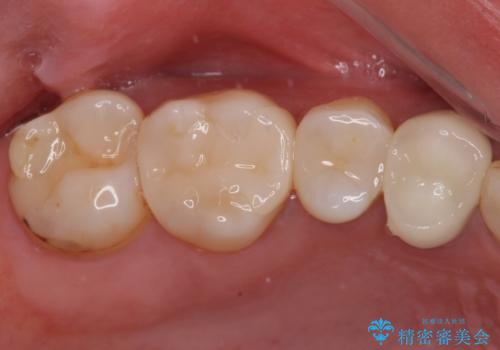
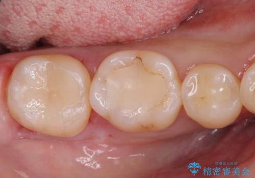
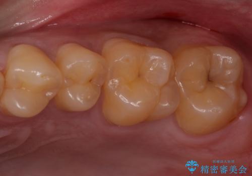
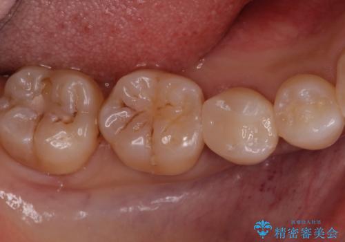
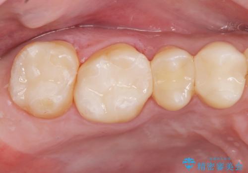
[ 歯並びと虫歯治療 ] 矯正治療とセラミック治療の包括治療
![[ 歯並びと虫歯治療 ] 矯正治療とセラミック治療の包括治療の症例 治療前](https://seimitsushinbi.jp/wp/wp-content/uploads/2023/12/IMG_1093-500x350.jpg?v=1703058764)
![[ 歯並びと虫歯治療 ] 矯正治療とセラミック治療の包括治療の症例 治療後](https://seimitsushinbi.jp/wp/wp-content/uploads/2023/12/d2649953cbde2ed7237dd47483ac69db-1-500x350.jpg?v=1703058723)
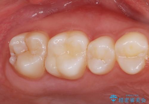
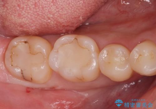
欠けてしまった奥歯 セラミッククラウンとセラミックインレーによるむし歯治療


デコボコで磨きにくい歯列 ワイヤー装置での抜歯矯正で歯磨きをしやすく


歯のがたつき インビザラインで矯正


セラミック治療の注意事項(リスク・副作用など)
- 天然歯を削ります
- 硬い素材は天然歯を傷つけてしまう場合があります
- かみ合わせや歯ぎしりが強すぎる方はセラミックが割れてしまう可能性があります
- 自費診療(保険適用外治療)となります




















