症例・治療例紹介
Cases
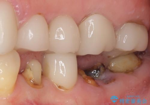
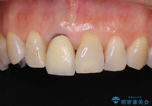
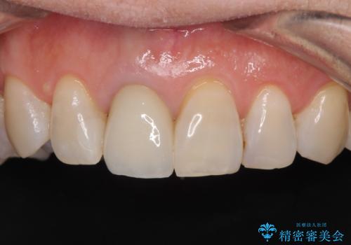
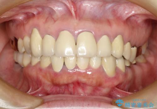
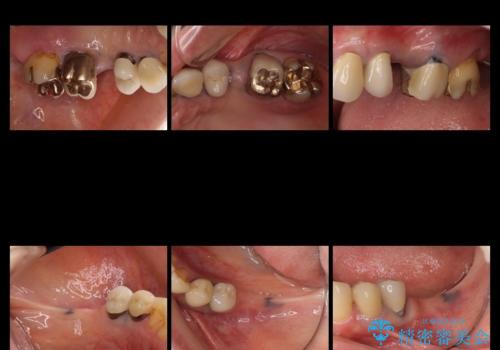
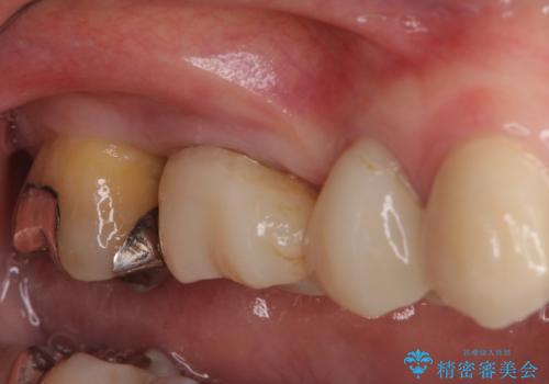
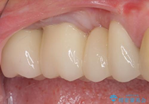
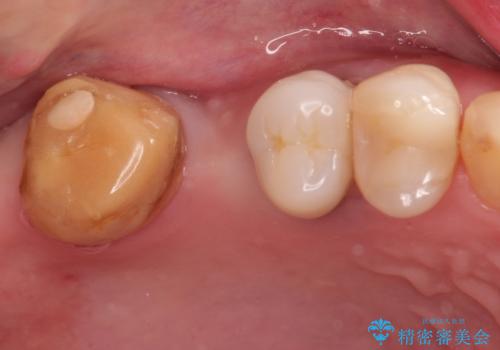
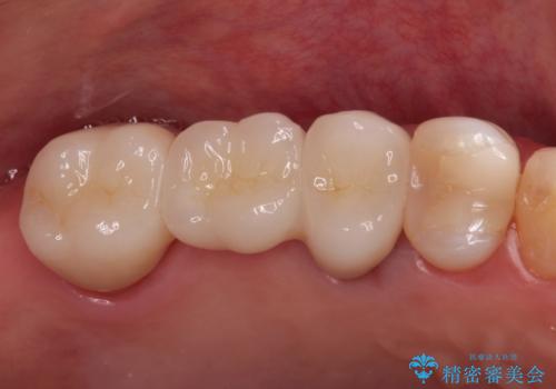
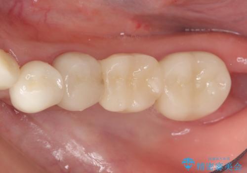
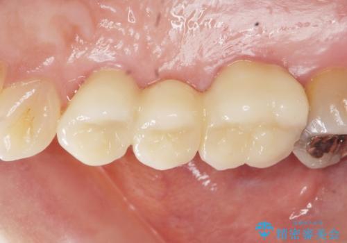
セラミック治療 → 奥歯ブリッジ
12ページ目 / 21
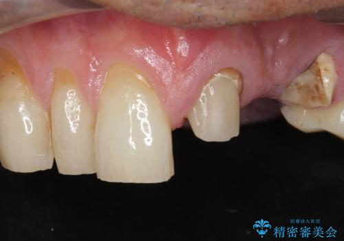
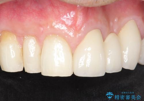
歯の欠損を放置 オールセラミックブリッジによる補綴治療


金属を全てセラミックに メタルフリー治療


この際全てをしっかりと治療したい 総合歯科治療
担当医 藤巻太一朗


歯が折れた どうしても抜きたくない 歯の牽引で保存可能に


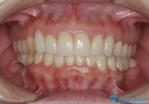
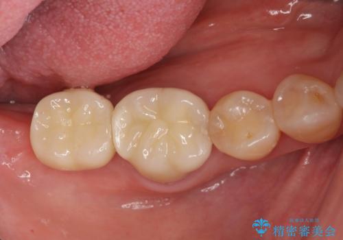
オールセラミッククラウン・セラミックインレー 口腔内全体の見た目の改善


オールセラミッククラウン 欠損補綴と再生療法による深いポケットの改善


ノンクラスプデンチャー(金属止め具のない入れ歯)で左側の咬合回復


奥歯 インプラントによる機能回復


奥歯の歯槽骨が失われた 歯周外科処置後のセラミックブリッジ


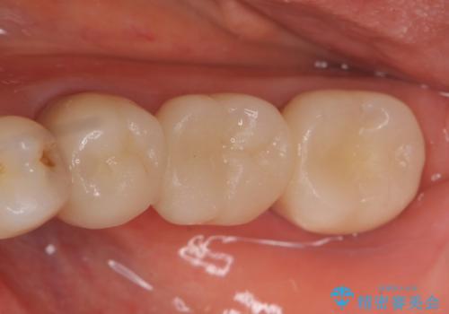
奥歯のオールセラミックブリッジ


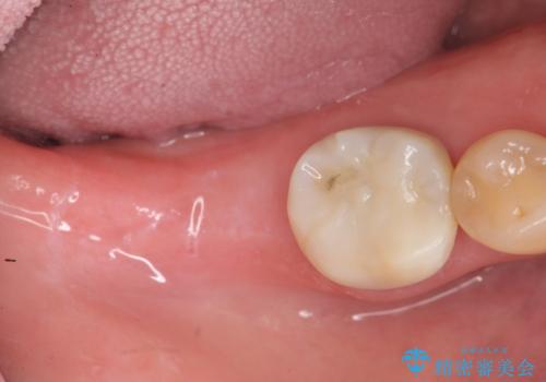
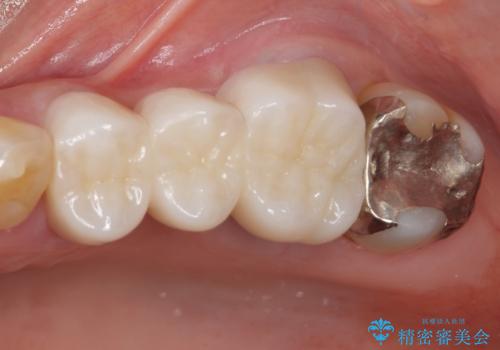
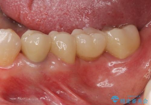
オールセラミッククラウン 銀歯を白い歯へ


セラミック治療の注意事項(リスク・副作用など)
- 天然歯を削ります
- 硬い素材は天然歯を傷つけてしまう場合があります
- かみ合わせや歯ぎしりが強すぎる方はセラミックが割れてしまう可能性があります
- 自費診療(保険適用外治療)となります



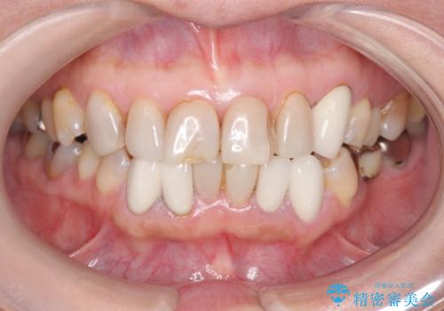
![[奥歯のセラミック治療] 銀歯のブリッジを白くの症例 治療前](https://seimitsushinbi.jp/wp/wp-content/uploads/2020/04/3865b1a52ffbf888606a3f89db7d5a54-500x350.jpg?v=1587878146)
![[奥歯のセラミック治療] 銀歯のブリッジを白くの症例 治療後](https://seimitsushinbi.jp/wp/wp-content/uploads/2020/04/f5756d3022435e7abb8de0f7583fa91f-500x350.jpg?v=1587878130)



