症例・治療例紹介
Cases
Dr. 河口智英の症例写真
3ページ目 / 18
セラミック治療(審美歯科)症例一覧ページです。オールセラミッククラウン・ジルコニアクラウン・ブリッジ・インレーなど、治療例をご紹介しております。
矮小歯を伴う叢生を審美的に改善|インビザライン矯正+セラミッククラウン修復


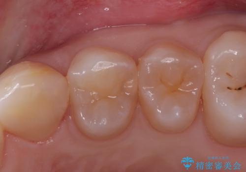
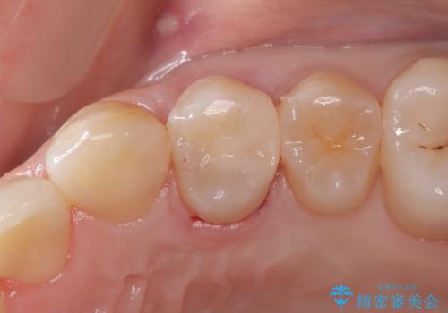
奥歯を美しくセラミック修復
担当医 河口智英


セラミックで叶える集中審美治療


被せ物の黒ずみを美しく改善
担当医 河口智英


前歯の開咬とシザーズバイトを改善|インビザライン矯正


見落としやすい虫歯(コンタクトカリエス)を発見|精密診断で早期治療
担当医 河口智英


他院で治らなかった根管治療を精密治療で改善|MB2を発見し再治療


左上7のメタルインレーを除去|セラミッククラウンで自然な美しさと機能回復
担当医 河口智英


右の奥歯を機能回復|再根管治療とインプラントでしっかり噛める歯へ


前歯4本のセラミック治療|抜歯即時インプラント+歯根端切除術で機能と美しさを回復


前歯の痛みと変色を解消:抜髄後のオールセラミック治療
担当医 河口智英


歯の変色を解消!根管治療とセラミック修復による審美的アプローチ
担当医 河口智英


【オールセラミッククラウン】銀歯の下のむし歯
担当医 河口智英


セラミック治療の注意事項(リスク・副作用など)
- 天然歯を削ります
- 硬い素材は天然歯を傷つけてしまう場合があります
- かみ合わせや歯ぎしりが強すぎる方はセラミックが割れてしまう可能性があります
- 自費診療(保険適用外治療)となります




