症例詳細
Case detail
- 患者様
- 50代女性
- 矯正装置
- 審美装置
- 治療期間
- 4年4ヶ月
- 治療回数
- 30回以上
- 治療計画
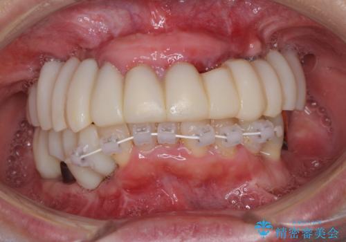
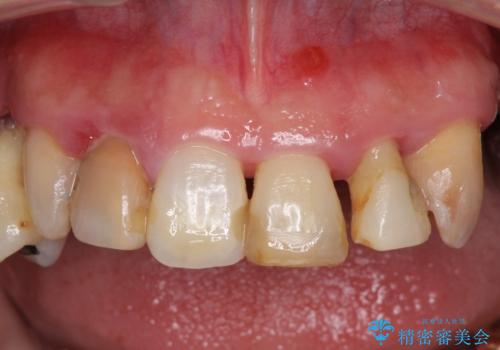
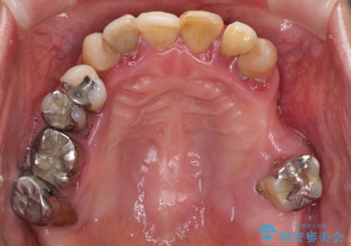
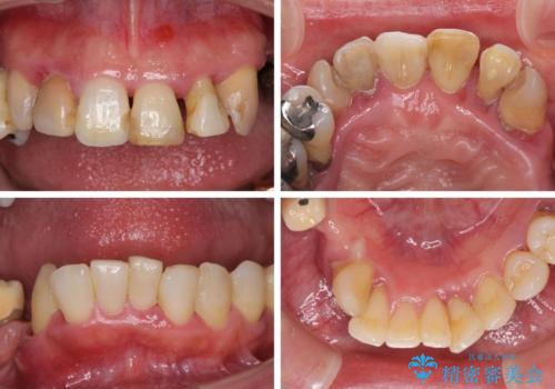
- 歯周病を放置したことで奥歯が抜け、前歯も痛くなってきたとのことで来院された患者様です。
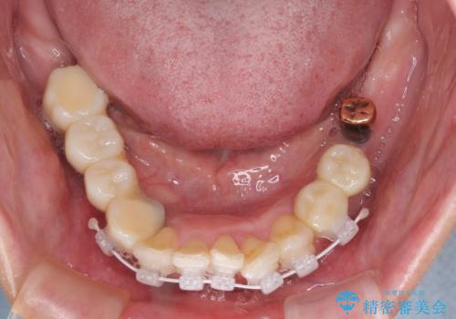
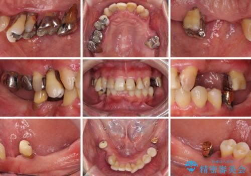
奥歯はほとんどを抜歯しなければならない状態であり、抜歯をせずに済む歯も歯周外科処置や矯正治療を行う必要がある状態でした。
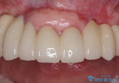
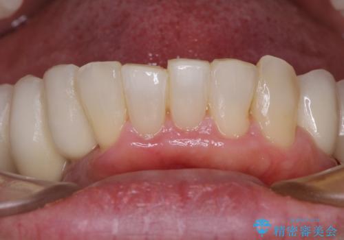
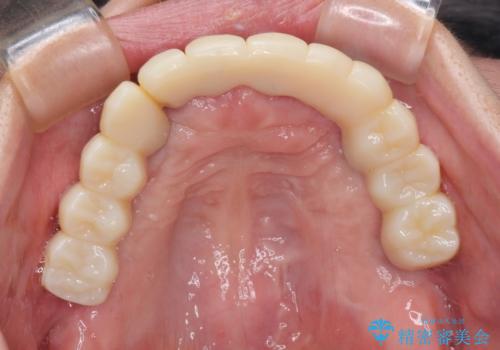
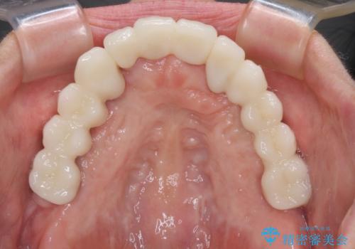
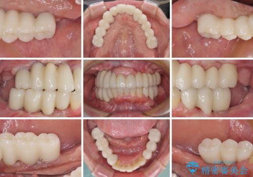
歯を抜かないといけない部分はインプラントとオールセラミッククラウンにより咬合を回復させ、歯周外科処置を行う歯については、同じくオールセラミッククラウンにて補綴治療を行うこととしました。
- 費用(概算)
- 治療費の目安: 720万円(税込)費用は治療当時の料金となります
治療について
外科処置を多く行ったため、その待ち時間が長くかかり、さらには途中矯正治療も行なったので、治療期間は長期間となりました。
痛みには強い方であったため、治療はそれほど苦痛とは感じられず、毎回楽しく通院してくださいました。
セラミック治療の注意事項(リスク・副作用など)
- 天然歯を削ります
- 硬い素材は天然歯を傷つけてしまう場合があります
- かみ合わせや歯ぎしりが強すぎる方はセラミックが割れてしまう可能性があります
- 自費診療(保険適用外治療)となります
インプラント治療の注意事項(リスク・副作用など)
- 外科手術のため、術後に痛みや腫れ、違和感を伴います
- メンテナンスを怠ったり喫煙により、お口の中に大きな悪影響を及ぼすインプラント周囲炎等にかかる可能性があります
- 糖尿病、肝硬変、心臓病等の場合、インプラント治療ができない可能性があります
- 高血圧、貧血・不整脈等の場合、インプラント治療後に治癒不全を招く可能性があります
- 自費診療(保険適用外治療)となります
ワイヤー矯正の注意事項(リスク・副作用など)
- 治療中は違和感や痛みが起こることがあります
- 症状により、抜歯が必要な場合があります
- 治療中は歯磨きがしにくくなるため、虫歯や歯周病になりやすくなります
- 矯正治療後の保定が不十分だと後戻り(元の位置に戻ろうとする動き)をします
- 自費診療(保険適用外)となります
歯周病治療の注意事項(リスク・副作用など)
- 外科手術のため、術後に痛みや腫れ、違和感を伴います
- 歯周組織再生治療は患者様の状態によって術後の経過が異なります(見た目が改善しない場合もあります)
- 歯周組織再生治療は自費診療(保険適用外)となります
根管治療の注意事項(リスク・副作用など)
- 根管治療により類似の全ての症例の問題が解決するわけではなく、症例はあくまでも一例です
- 根管治療により痛みや腫れがひかない事や、術後に痛みや腫れが生じる事、治療によるファイル破折やパーフォレーションなどの偶発症、術後の歯根破折を生じる可能性もあります
- 自費診療(保険適用外)となります
静脈内鎮静法の注意事項(リスク・副作用など)
- 回復後も多少眠気が残る可能性があります
- 治療中の記憶が残る場合があります
- 意識が完全になくなることはないため、2時間程度の治療で適応となります
- 静脈穿刺時に痛みがあります
- 治療当日は乗り物の運転は控える必要があります
- 自費診療(保険適用外)となります
外科処置の注意事項(リスク・副作用など)
- 外科手術のため、術後に出血、痛みや腫れ、違和感を伴います
- 口腔内の状態によっては適応できないことがあります
当サイトの内容、テキスト、画像等の無断転載、複製、複写、盗用を固く禁じます。





















