症例詳細
Case detail
[ 再生治療・歯周外科・小矯正・セラミック補綴 ] 前歯の歯周病治療
- 患者様
- 30代女性
- 治療期間
- 2年6ヶ月
- 治療回数
- 10-30回
- 治療計画
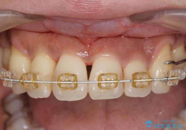
- 「妊娠・出産後  歯がなんとなく疼く、少し揺れる気がする。」と検査を希望され来院されました。
 検査の結果、中等度の歯周病であったので、歯周病治療を開始することとなりました。
 
 歯周病に対し、再生治療・歯周ポケット除去手術
 歯の揺れに対し、小矯正を行った上での歯周補綴(連結冠による歯の揺れの抑制)
 歯周ポケット除去手術に伴う歯が長くなることを希望されなかったので抜髄を行った上でディープバイトともに審美性も改善しています。
- 費用(概算)
- 99万円(仮歯・ジルコニアクラウン×6・小矯正・歯周外科) 歯周補綴費用は治療当時の料金となります
治療について
治療は長期間に及びましたが、一つ一つのステップをきっちりと行ったことで安定した咬合関係と歯周組織を手に入れることができました。
歯周病治療の注意事項(リスク・副作用など)
- 外科手術のため、術後に痛みや腫れ、違和感を伴います
- 歯周組織再生治療は患者様の状態によって術後の経過が異なります(見た目が改善しない場合もあります)
- 歯周組織再生治療は自費診療(保険適用外)となります
セラミック治療の注意事項(リスク・副作用など)
- 天然歯を削ります
- 硬い素材は天然歯を傷つけてしまう場合があります
- かみ合わせや歯ぎしりが強すぎる方はセラミックが割れてしまう可能性があります
- 自費診療(保険適用外治療)となります
当サイトの内容、テキスト、画像等の無断転載、複製、複写、盗用を固く禁じます。








 
                       
                                                          ![[ 再生治療・歯周外科・小矯正・セラミック補綴 ]  前歯の歯周病治療の治療前](https://seimitsushinbi.jp/wp/wp-content/uploads/2022/12/83065c2454a29ed71cf190e15a6106f4-500x350.jpg?v=1671673398)
![[ 再生治療・歯周外科・小矯正・セラミック補綴 ]  前歯の歯周病治療の治療中](https://seimitsushinbi.jp/wp/wp-content/uploads/2022/12/4a14883280974a58ccaa592c81b25297-500x350.jpg?v=1671673449)
![[ 再生治療・歯周外科・小矯正・セラミック補綴 ]  前歯の歯周病治療の治療後](https://seimitsushinbi.jp/wp/wp-content/uploads/2022/12/ec16e37ee53325a6f6629b94759f5513-500x350.jpg?v=1671673454)
![[ 再生治療・歯周外科・小矯正・セラミック補綴 ]  前歯の歯周病治療の治療前](https://seimitsushinbi.jp/wp/wp-content/uploads/2022/12/CI2-side-500x350.jpg?v=1671673469)
![[ 再生治療・歯周外科・小矯正・セラミック補綴 ]  前歯の歯周病治療の治療中](https://seimitsushinbi.jp/wp/wp-content/uploads/2022/12/CI21-side-500x350.jpg?v=1671673470)
![[ 再生治療・歯周外科・小矯正・セラミック補綴 ]  前歯の歯周病治療の治療後](https://seimitsushinbi.jp/wp/wp-content/uploads/2022/12/CI42-side-500x350.jpg?v=1671673470)
![[ 再生治療・歯周外科・小矯正・セラミック補綴 ]  前歯の歯周病治療の治療前](https://seimitsushinbi.jp/wp/wp-content/uploads/2022/12/6ce0bc96b4a78d0c97928728e5b6f6bc-500x350.jpg?v=1671673396)
![[ 再生治療・歯周外科・小矯正・セラミック補綴 ]  前歯の歯周病治療の治療中](https://seimitsushinbi.jp/wp/wp-content/uploads/2022/12/fb3b57ad09df0bfc4a9a5a162a242f5a-500x350.jpg?v=1671673447)
![[ 再生治療・歯周外科・小矯正・セラミック補綴 ]  前歯の歯周病治療の治療後](https://seimitsushinbi.jp/wp/wp-content/uploads/2022/12/67c7319676894519eddc5d407108f362-500x350.jpg?v=1671673456)
![[ 再生治療・歯周外科・小矯正・セラミック補綴 ]  前歯の歯周病治療の治療前](https://seimitsushinbi.jp/wp/wp-content/uploads/2022/12/471612a896287fdb4c51b4dc086712c5-500x350.jpg?v=1671673393)
![[ 再生治療・歯周外科・小矯正・セラミック補綴 ]  前歯の歯周病治療の治療中](https://seimitsushinbi.jp/wp/wp-content/uploads/2022/12/d6b46a133dc215b6f4b3525ac49aef9f-500x350.jpg?v=1671673445)
![[ 再生治療・歯周外科・小矯正・セラミック補綴 ]  前歯の歯周病治療の治療後](https://seimitsushinbi.jp/wp/wp-content/uploads/2022/12/2a8527df5c617056c4dbcf6426f0e0c9-500x350.jpg?v=1671673458)
![[ 再生治療・歯周外科・小矯正・セラミック補綴 ]  前歯の歯周病治療の治療前](https://seimitsushinbi.jp/wp/wp-content/uploads/2022/12/c120974d2645ec8b556d3eaa9e6584fe-500x350.jpg?v=1671673390)
![[ 再生治療・歯周外科・小矯正・セラミック補綴 ]  前歯の歯周病治療の治療中](https://seimitsushinbi.jp/wp/wp-content/uploads/2022/12/4453e1de55c63878654ec9a9ea19ccae-500x350.jpg?v=1671673442)
![[ 再生治療・歯周外科・小矯正・セラミック補綴 ]  前歯の歯周病治療の治療後](https://seimitsushinbi.jp/wp/wp-content/uploads/2022/12/4e611a37dd40847b0c8a8d0b785e2b0b-500x350.jpg?v=1671673452)
![[ 再生治療・歯周外科・小矯正・セラミック補綴 ]  前歯の歯周病治療の治療前](https://seimitsushinbi.jp/wp/wp-content/uploads/2022/12/8006378394fde40f918936845a1ec5d5-500x350.jpg?v=1671673403)
![[ 再生治療・歯周外科・小矯正・セラミック補綴 ]  前歯の歯周病治療の治療中](https://seimitsushinbi.jp/wp/wp-content/uploads/2022/12/c749053c46fa1267b1b6f568bb6095d2-1-500x350.jpg?v=1671673625)
![[ 再生治療・歯周外科・小矯正・セラミック補綴 ]  前歯の歯周病治療の治療後](https://seimitsushinbi.jp/wp/wp-content/uploads/2022/12/7ffa914dc45525656653abb45980b84c-500x350.jpg?v=1671673782)
![[ 再生治療・歯周外科・小矯正・セラミック補綴 ]  前歯の歯周病治療の治療前](https://seimitsushinbi.jp/wp/wp-content/uploads/2022/12/a1ba9e33032185d7d626c18e20a50715-500x350.jpg?v=1671673401)
![[ 再生治療・歯周外科・小矯正・セラミック補綴 ]  前歯の歯周病治療の治療中](https://seimitsushinbi.jp/wp/wp-content/uploads/2022/12/f4c9b695b1f8a3ab19cc161a21de6458-500x350.jpg?v=1671673422)
![[ 再生治療・歯周外科・小矯正・セラミック補綴 ]  前歯の歯周病治療の治療後](https://seimitsushinbi.jp/wp/wp-content/uploads/2022/12/29a21bc73e50e281a754d100073ee80d-500x350.jpg?v=1671673787)
![[ 再生治療・歯周外科・小矯正・セラミック補綴 ]  前歯の歯周病治療の治療前](https://seimitsushinbi.jp/wp/wp-content/uploads/2022/12/dc0891544b3f55cdb27a43e1a8f690f1-500x350.jpg?v=1671673406)
![[ 再生治療・歯周外科・小矯正・セラミック補綴 ]  前歯の歯周病治療の治療中](https://seimitsushinbi.jp/wp/wp-content/uploads/2022/12/6ac00512fa5b0db09174dc4f84a2ab3e-500x350.jpg?v=1671673425)
![[ 再生治療・歯周外科・小矯正・セラミック補綴 ]  前歯の歯周病治療の治療後](https://seimitsushinbi.jp/wp/wp-content/uploads/2022/12/32af9b04b0eba1873472cc866be36d52-500x350.jpg?v=1671673793)
![[ 再生治療・歯周外科・小矯正・セラミック補綴 ]  前歯の歯周病治療の治療前](https://seimitsushinbi.jp/wp/wp-content/uploads/2022/12/ae3c74677b20b8c01307be82f087c844-500x350.jpg?v=1671673408)
![[ 再生治療・歯周外科・小矯正・セラミック補綴 ]  前歯の歯周病治療の治療中](https://seimitsushinbi.jp/wp/wp-content/uploads/2022/12/bac0df4d2cc46c0822cd209d8c9d7b02-1-500x350.jpg?v=1671673667)
![[ 再生治療・歯周外科・小矯正・セラミック補綴 ]  前歯の歯周病治療の治療後](https://seimitsushinbi.jp/wp/wp-content/uploads/2022/12/65d12c0f598861e5db1d864f993c6e42-500x350.jpg?v=1671673795)
![[ 再生治療・歯周外科・小矯正・セラミック補綴 ]  前歯の歯周病治療の治療前](https://seimitsushinbi.jp/wp/wp-content/uploads/2022/12/ebe16b34ff69aebe066c6cda1b6146ed-500x350.jpg?v=1671673411)
![[ 再生治療・歯周外科・小矯正・セラミック補綴 ]  前歯の歯周病治療の治療中](https://seimitsushinbi.jp/wp/wp-content/uploads/2022/12/3886e71f59420c0776d9b9cac3374234-500x350.jpg?v=1671673429)
![[ 再生治療・歯周外科・小矯正・セラミック補綴 ]  前歯の歯周病治療の治療後](https://seimitsushinbi.jp/wp/wp-content/uploads/2022/12/0a66b058b27543fcc9c24b4cb9edcfc5-500x350.jpg?v=1671673784)
![[ 再生治療・歯周外科・小矯正・セラミック補綴 ]  前歯の歯周病治療の治療前](https://seimitsushinbi.jp/wp/wp-content/uploads/2022/12/3cb18a772a7c01a9367faea83183ceb4-500x350.jpg?v=1671673413)
![[ 再生治療・歯周外科・小矯正・セラミック補綴 ]  前歯の歯周病治療の治療後](https://seimitsushinbi.jp/wp/wp-content/uploads/2022/12/75f2ae95c56d92bf06430851028e715f-500x350.jpg?v=1671673789)
![[ 再生治療・歯周外科・小矯正・セラミック補綴 ]  前歯の歯周病治療の治療前](https://seimitsushinbi.jp/wp/wp-content/uploads/2022/12/fb69897a0b9a4672da7f5fce3572dc9a-500x350.jpg?v=1671673415)
![[ 再生治療・歯周外科・小矯正・セラミック補綴 ]  前歯の歯周病治療の治療後](https://seimitsushinbi.jp/wp/wp-content/uploads/2022/12/124f02983487b8b7d708867e80cd11fe-500x350.jpg?v=1671673791)
![[ 再生治療・歯周外科・小矯正・セラミック補綴 ]  前歯の歯周病治療の治療前](https://seimitsushinbi.jp/wp/wp-content/uploads/2022/12/1b78d0476c2d5f25f4e73c5ce5718bb8-500x350.jpg?v=1671673418)
![[ 再生治療・歯周外科・小矯正・セラミック補綴 ]  前歯の歯周病治療の治療後](https://seimitsushinbi.jp/wp/wp-content/uploads/2022/12/137f05f06ef5513ef6bf1a3fb6d8e878-500x350.jpg?v=1671673797)
![[歯周病治療]  再生療法で歯を残す②](https://seimitsushinbi.jp/wp/wp-content/uploads/2019/01/403ca8b31f641481eadfc3e0042a6485-500x350.jpg) 
                  ![[ 審美歯科治療 ]  充填物でつぎはぎだらけの前歯をセラミックに](https://seimitsushinbi.jp/wp/wp-content/uploads/2024/06/5819aa58ccc71f1b60a7a463254e3889-500x350.jpg?v=1718616120) 
                   
                  