症例詳細
Case detail
乳歯残存と欠損の前歯 矯正治療とオールセラミックブリッジ治療
治療症例の内容
- 患者様
- 20代女性
- 矯正装置
- 審美装置
- 治療期間
- 1年3ヶ月
- 治療回数
- 10-30回
- 治療計画
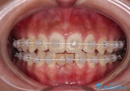
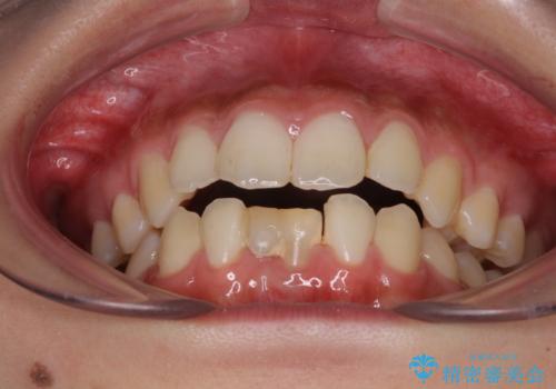
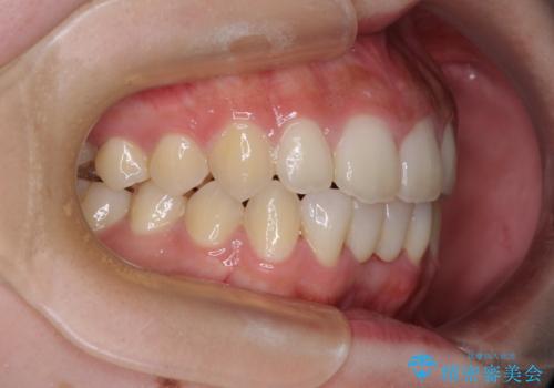
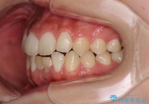
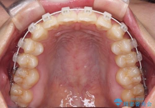
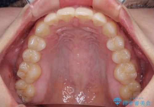
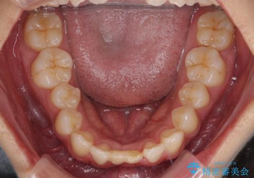
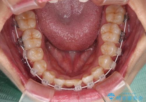
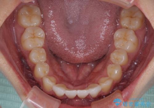
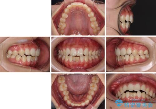
- 下顎前歯に乳歯が残っており、欠損もしていることを気にして来院された患者様です。
舌の突出癖が顕著にあり、上下前歯が非接触となっており、上顎前歯が前方に突出している状態でした。
マウスピースでもワイヤーでも対応可能でしたが、自己管理の煩わしさからマウスピース矯正は避けることとしました。
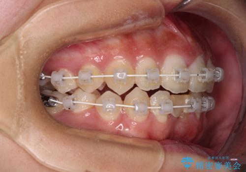
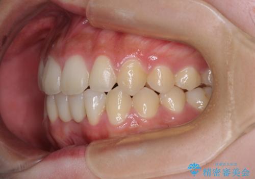
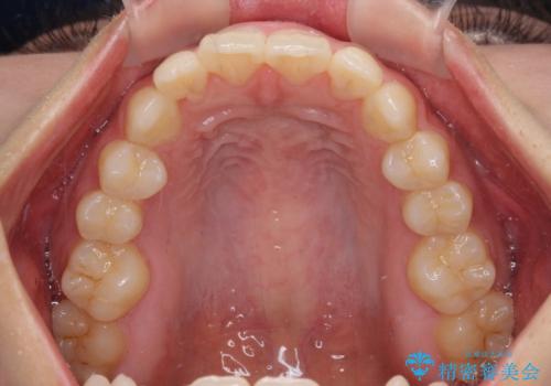
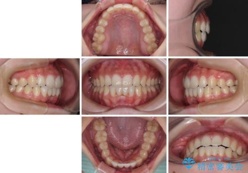
ワイヤー装置により矯正治療を行うとともに舌突出癖改善のためのトレーニングをしっかりと行っていただき、咬み合わせが安定した位置となったタイミングで下顎前歯にブリッジの仮歯を装着していく計画としました。
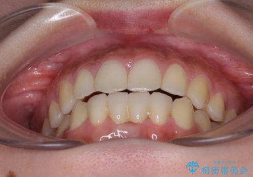
矯正治療終了後に速やかにオールセラミックブリッジを装着していくこととしました。
- 費用(概算)
- 治療費の目安: 140万円(税込)費用は治療当時の料金となります
治療について
結婚式の予定があるとのことで、できる限り歯列を整え、挙式直前で残った乳歯を抜歯してブリッジの仮歯を装着するプランを立てたのですが、途中妊娠をされたため、麻酔をするタイミングを検討し、うまく前歯を整えることができました。
ワイヤー矯正の注意事項(リスク・副作用など)
- 治療中は違和感や痛みが起こることがあります
- 症状により、抜歯が必要な場合があります
- 治療中は歯磨きがしにくくなるため、虫歯や歯周病になりやすくなります
- 矯正治療後の保定が不十分だと後戻り(元の位置に戻ろうとする動き)をします
- 自費診療(保険適用外)となります
セラミック治療の注意事項(リスク・副作用など)
- 天然歯を削ります
- 硬い素材は天然歯を傷つけてしまう場合があります
- かみ合わせや歯ぎしりが強すぎる方はセラミックが割れてしまう可能性があります
- 自費診療(保険適用外治療)となります
当サイトの内容、テキスト、画像等の無断転載、複製、複写、盗用を固く禁じます。




























