症例詳細
Case detail
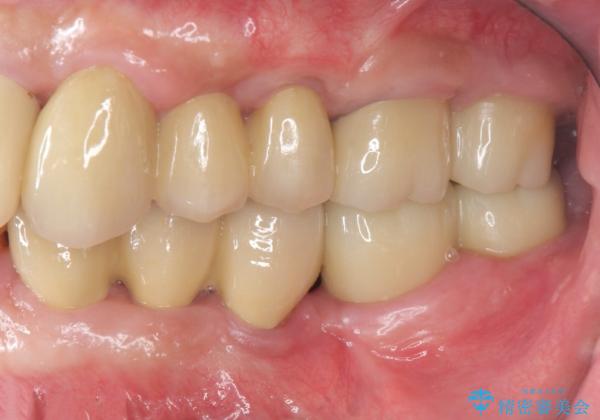
[ 歯周病治療 ] 小矯正を含むインプラント補綴・歯周補綴
- 患者様
- 50代男性
- 治療期間
- 2年
- 治療回数
- 10-30回
- 治療計画
- 全体的な歯周病治療を希望され来院されました。
①残すことのできない歯の抜歯
②残すことのできる歯の歯周病治療(歯石の除去・歯周ポケットの除去)
③ブリッジやインプラント補綴前の小矯正
④咬合機能を回復するセラミック歯の製作
以上のような治療計画を進めます。
- 費用(概算)
- 約150万円費用は治療当時の料金となります
治療について
歯列の不正、歯周病、歯の欠損、問題を一つずつ丁寧に解決することで良好な治療結果を得ることができました。
歯周病治療の注意事項(リスク・副作用など)
- 外科手術のため、術後に痛みや腫れ、違和感を伴います
- 歯周組織再生治療は患者様の状態によって術後の経過が異なります(見た目が改善しない場合もあります)
- 歯周組織再生治療は自費診療(保険適用外)となります
インプラント治療の注意事項(リスク・副作用など)
- 外科手術のため、術後に痛みや腫れ、違和感を伴います
- メンテナンスを怠ったり喫煙により、お口の中に大きな悪影響を及ぼすインプラント周囲炎等にかかる可能性があります
- 糖尿病、肝硬変、心臓病等の場合、インプラント治療ができない可能性があります
- 高血圧、貧血・不整脈等の場合、インプラント治療後に治癒不全を招く可能性があります
- 自費診療(保険適用外治療)となります
セラミック治療の注意事項(リスク・副作用など)
- 天然歯を削ります
- 硬い素材は天然歯を傷つけてしまう場合があります
- かみ合わせや歯ぎしりが強すぎる方はセラミックが割れてしまう可能性があります
- 自費診療(保険適用外治療)となります
当サイトの内容、テキスト、画像等の無断転載、複製、複写、盗用を固く禁じます。

![[ 歯周病治療 ] 小矯正を含むインプラント補綴・歯周補綴の治療前](https://seimitsushinbi.jp/wp/wp-content/uploads/2022/11/8b1f9fe311dd325d238de0a6219bf1cf-500x350.jpg?v=1669340971)
![[ 歯周病治療 ] 小矯正を含むインプラント補綴・歯周補綴の治療中](https://seimitsushinbi.jp/wp/wp-content/uploads/2022/11/3f7df14440ecbdd682e73e9cd9de9c97-500x350.jpg?v=1669340979)
![[ 歯周病治療 ] 小矯正を含むインプラント補綴・歯周補綴の治療後](https://seimitsushinbi.jp/wp/wp-content/uploads/2022/11/5979bc0ba91770cb715b363eb4304206-500x350.jpg?v=1669340986)
![[ 歯周病治療 ] 小矯正を含むインプラント補綴・歯周補綴の治療前](https://seimitsushinbi.jp/wp/wp-content/uploads/2022/11/CI8-side-500x350.jpg?v=1669341331)
![[ 歯周病治療 ] 小矯正を含むインプラント補綴・歯周補綴の治療中](https://seimitsushinbi.jp/wp/wp-content/uploads/2022/11/CI36-500x350.jpg?v=1669341056)
![[ 歯周病治療 ] 小矯正を含むインプラント補綴・歯周補綴の治療後](https://seimitsushinbi.jp/wp/wp-content/uploads/2022/11/CI67-side-500x350.jpg?v=1669340987)
![[ 歯周病治療 ] 小矯正を含むインプラント補綴・歯周補綴の治療前](https://seimitsushinbi.jp/wp/wp-content/uploads/2022/11/38f44ab542064feddbf0ffa54b8577d2-500x350.jpg?v=1669340976)
![[ 歯周病治療 ] 小矯正を含むインプラント補綴・歯周補綴の治療中](https://seimitsushinbi.jp/wp/wp-content/uploads/2022/11/fefe6fbf6159b741c08d8538b8040476-500x350.jpg?v=1669340995)
![[ 歯周病治療 ] 小矯正を含むインプラント補綴・歯周補綴の治療後](https://seimitsushinbi.jp/wp/wp-content/uploads/2022/11/2b082220f8aec0ba9ee21cb42e921857-500x350.jpg?v=1669340984)
![[ 歯周病治療 ] 小矯正を含むインプラント補綴・歯周補綴の治療前](https://seimitsushinbi.jp/wp/wp-content/uploads/2022/11/70fead60152552dc7493bca5d480d5a8-500x350.jpg?v=1669340973)
![[ 歯周病治療 ] 小矯正を含むインプラント補綴・歯周補綴の治療中](https://seimitsushinbi.jp/wp/wp-content/uploads/2022/11/e66c82b155fa3a62bac95d8746db0941-500x350.jpg?v=1669340998)
![[ 歯周病治療 ] 小矯正を含むインプラント補綴・歯周補綴の治療後](https://seimitsushinbi.jp/wp/wp-content/uploads/2022/11/ed980d5991f6457b49817cfb6bcf5896-500x350.jpg?v=1669340981)
![[ 歯周病治療 ] 小矯正を含むインプラント補綴・歯周補綴の治療前](https://seimitsushinbi.jp/wp/wp-content/uploads/2022/11/CI7-side-500x350.jpg?v=1669341356)
![[ 歯周病治療 ] 小矯正を含むインプラント補綴・歯周補綴の治療中](https://seimitsushinbi.jp/wp/wp-content/uploads/2022/11/CI37-500x350.jpg?v=1669341057)
![[ 歯周病治療 ] 小矯正を含むインプラント補綴・歯周補綴の治療後](https://seimitsushinbi.jp/wp/wp-content/uploads/2022/11/CI69-side-500x350.jpg?v=1669340988)
![[ 歯周病治療 ] 小矯正を含むインプラント補綴・歯周補綴の治療前](https://seimitsushinbi.jp/wp/wp-content/uploads/2022/11/38dcbd6442d18297251b11806c878fc4-1-500x350.jpg?v=1669345135)
![[ 歯周病治療 ] 小矯正を含むインプラント補綴・歯周補綴の治療中](https://seimitsushinbi.jp/wp/wp-content/uploads/2022/11/40aecbc299aaef86dd5be3e1fa9fdb3f-1-500x350.jpg?v=1669345063)
![[ 歯周病治療 ] 小矯正を含むインプラント補綴・歯周補綴の治療後](https://seimitsushinbi.jp/wp/wp-content/uploads/2022/11/3383efeb78ab02270e5978b80d064a35-1-500x350.jpg?v=1669345067)
![[ 歯周病治療 ] 小矯正を含むインプラント補綴・歯周補綴の治療前](https://seimitsushinbi.jp/wp/wp-content/uploads/2022/11/70fead60152552dc7493bca5d480d5a8-1-500x350.jpg?v=1669345138)
![[ 歯周病治療 ] 小矯正を含むインプラント補綴・歯周補綴の治療中](https://seimitsushinbi.jp/wp/wp-content/uploads/2022/11/a4c3bf06ee9973f6962abe723afcb86a-500x350.jpg?v=1669345065)
![[ 歯周病治療 ] 小矯正を含むインプラント補綴・歯周補綴の治療後](https://seimitsushinbi.jp/wp/wp-content/uploads/2022/11/982559dd738b480cf79403c554e660c3-500x350.jpg?v=1669345070)
![[ 歯周病治療 ] 小矯正を含むインプラント補綴・歯周補綴の治療前](https://seimitsushinbi.jp/wp/wp-content/uploads/2022/11/52cf90487a61d0fcfaeffc8ab21cb002-500x350.jpg?v=1669341453)