症例詳細
Case detail
急速拡大装置 前歯の反対咬合をインビザラインで改善
治療症例の内容
- 患者様
- 40代女性
- 矯正装置
- インビザライン・審美装置
- 治療期間
- 2年4ヶ月
- 治療回数
- 10-30回
- 治療計画
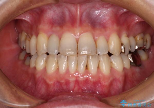
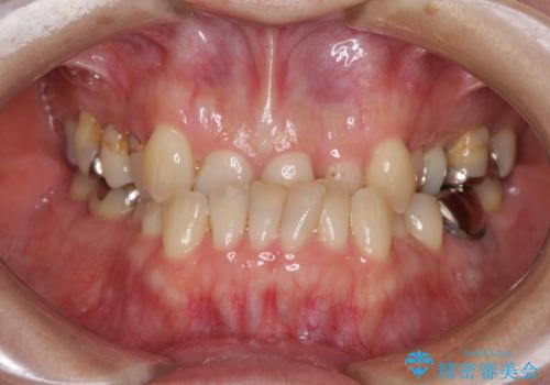
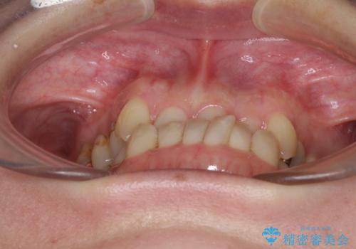
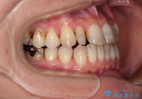
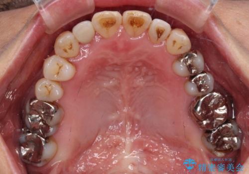
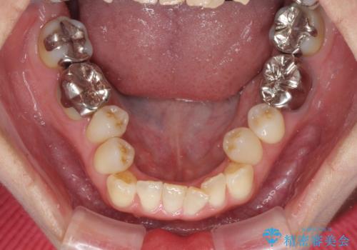
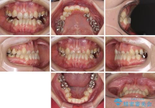
- 前歯の反対咬合を気にして来院された患者様です。
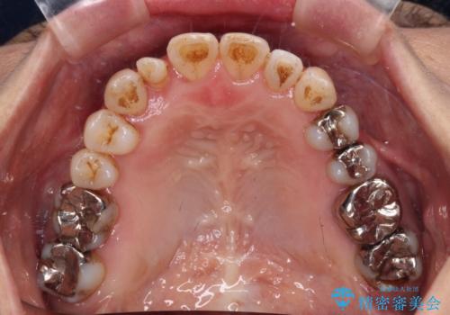
 上顎骨の幅が下顎骨よりも小さいので、拡大装置により骨幅を広げて上下関係を改善すると同時にワイヤー矯正で反対咬合の改善を図り、その後インビザラインにて歯並びを整えることとしました。
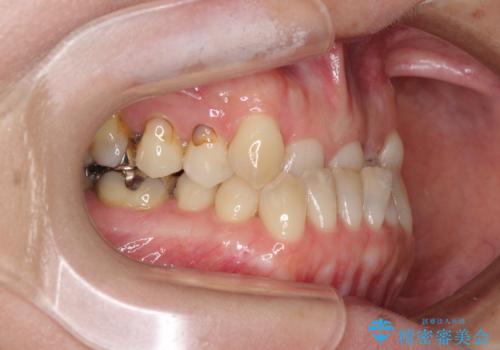
 上顎前歯の矮小歯は矯正治療の途中でオールセラミッククラウンを装着し、左右のバランスを整えることとしました。
- 費用(概算)
- 治療費の目安: 115万円(税込)費用は治療当時の料金となります
治療について
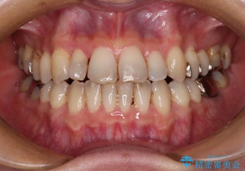
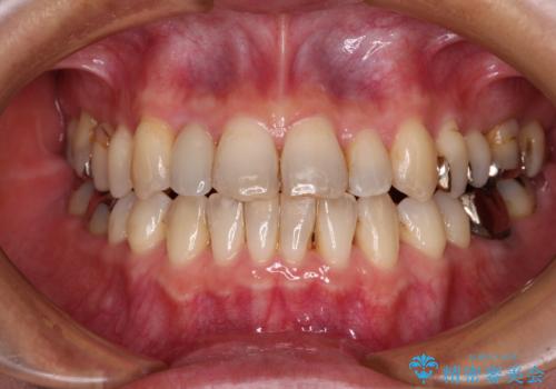
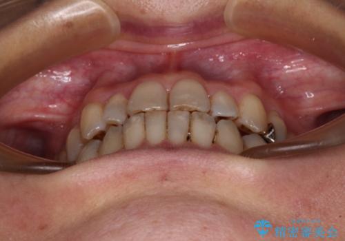
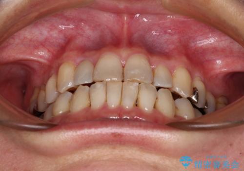
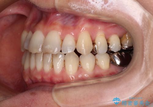
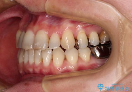
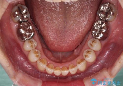
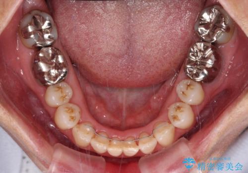
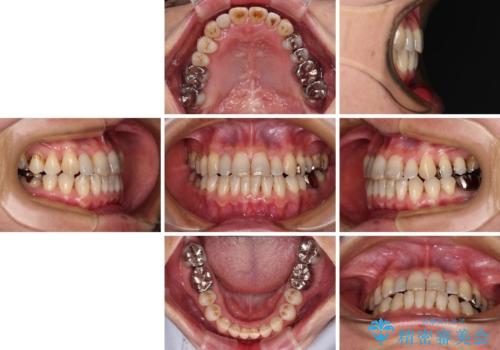
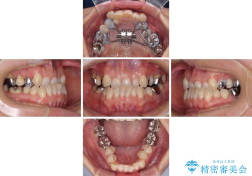
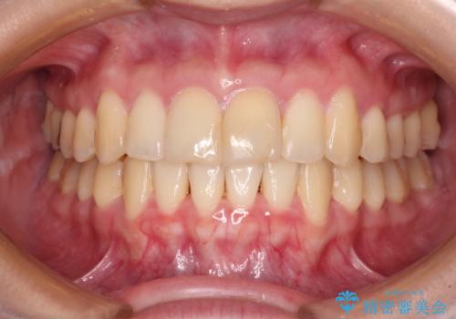
急速拡大装置の使用により奥歯の咬み合わせが劇的に変わり、その変化を利用して反対咬合を改善することができました。
治療期間中は奥歯が咬み合わず、食事が取りにくいなどの不都合がありましたが、最終的にはきれいに整えることができました。
マウスピース矯正の注意事項(リスク・副作用など)
- 口腔内・歯並びの状態によっては対応できない場合があります
- マウスピース型矯正装置の長時間装着(1日20時間以上)が必須です
- 治療計画通りに進めるためには、患者様の意志が重要になります
- 矯正治療後の保定が不十分だと後戻り(元の位置に戻ろうとする動き)をします
- 薬機法対象外の矯正歯科装置のため医薬品副作用被害救済制度の対象外となる場合があります
- 自費診療(保険適用外)となります
ワイヤー矯正の注意事項(リスク・副作用など)
- 治療中は違和感や痛みが起こることがあります
- 症状により、抜歯が必要な場合があります
- 治療中は歯磨きがしにくくなるため、虫歯や歯周病になりやすくなります
- 矯正治療後の保定が不十分だと後戻り(元の位置に戻ろうとする動き)をします
- 自費診療(保険適用外)となります
セラミック治療の注意事項(リスク・副作用など)
- 天然歯を削ります
- 硬い素材は天然歯を傷つけてしまう場合があります
- かみ合わせや歯ぎしりが強すぎる方はセラミックが割れてしまう可能性があります
- 自費診療(保険適用外治療)となります
当サイトの内容、テキスト、画像等の無断転載、複製、複写、盗用を固く禁じます。








 
                       
                                                          





























 
                   
                   
                  