症例詳細
Case detail
気になる前歯を短期間で改善 下顎の部分矯正と上顎のオールセラミッククラウン
治療症例の内容
- 患者様
- 30代男性
- 矯正装置
- マウスピース
- 治療期間
- 4ヶ月
- 治療回数
- 2-5回
- 治療計画
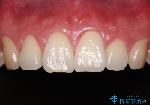
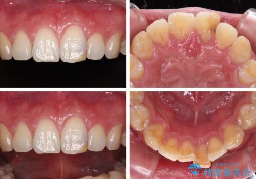
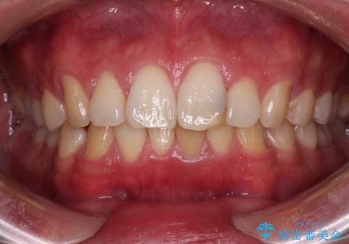
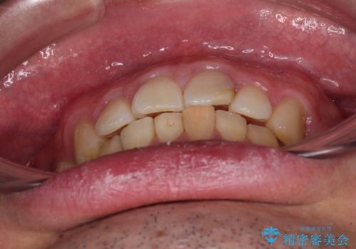
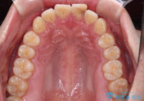
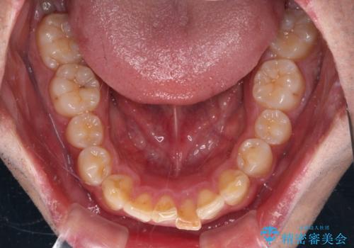
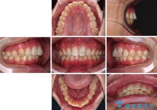
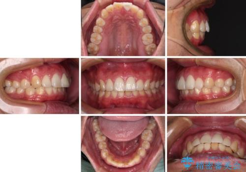
- 上下前歯のデコボコを気にして来院された患者様です。
上下ともに歯列全体はきれいに整っており、矯正治療の必要はなさそうでしたが、下顎前歯に叢生が認められ、1本飛び出している歯の影響で上顎前歯も1本捻れている状態でした。
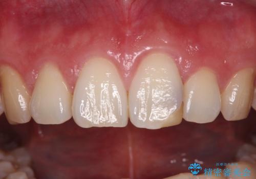
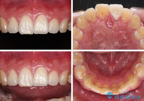
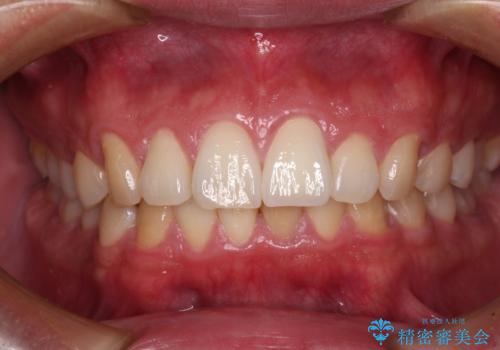
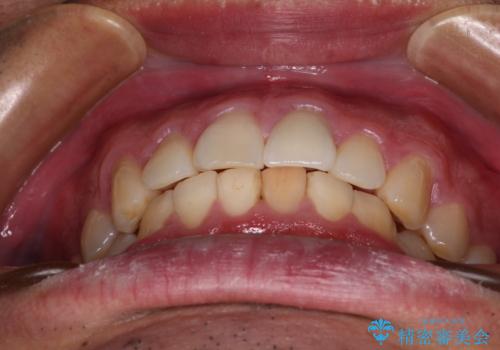
下顎前歯はASOインターナショナル社のASOアライナーを使用し、3か月ほどで整えることとし、捻れいている上顎前歯は、大きな虫歯が認められたため、下顎前歯の部分矯正治療後に、オールセラミッククラウンにて補綴治療を行うことで、捻れも解消することとしました。
- 費用(概算)
- 治療費の目安: 25万円(税込)費用は治療当時の料金となります
治療について
費用と期間がかかってしまう全顎矯正が必要であれば、治療を断念するつもりだったとのことでしたが、前歯部の限局的な治療で済ますことができました。
下顎前歯は失活しており、本来であれば根管治療と補綴治療が必要ですが、しばらくはこのままで構わないとのことでした。
マウスピース矯正の注意事項(リスク・副作用など)
- 口腔内・歯並びの状態によっては対応できない場合があります
- マウスピース型矯正装置の長時間装着(1日20時間以上)が必須です
- 治療計画通りに進めるためには、患者様の意志が重要になります
- 矯正治療後の保定が不十分だと後戻り(元の位置に戻ろうとする動き)をします
- 薬機法対象外の矯正歯科装置のため医薬品副作用被害救済制度の対象外となる場合があります
- 自費診療(保険適用外)となります
セラミック治療の注意事項(リスク・副作用など)
- 天然歯を削ります
- 硬い素材は天然歯を傷つけてしまう場合があります
- かみ合わせや歯ぎしりが強すぎる方はセラミックが割れてしまう可能性があります
- 自費診療(保険適用外治療)となります
当サイトの内容、テキスト、画像等の無断転載、複製、複写、盗用を固く禁じます。






















