症例詳細
Case detail
やっぱり矯正をしたい セラミック治療の途中から矯正治療スタート
- 患者様
- 30代男性
- 矯正装置
- 審美装置
- 治療期間
- 1年8ヶ月
- 治療回数
- 10-30回
- 治療計画
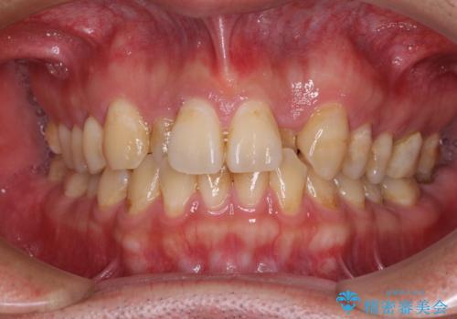
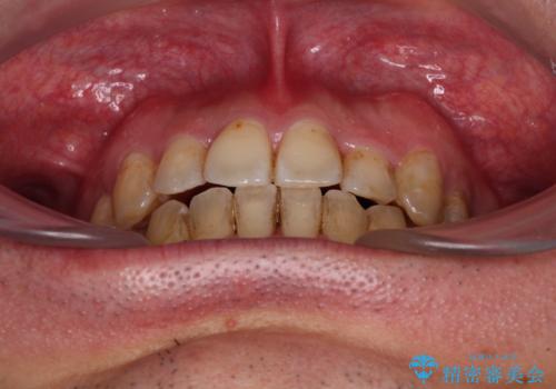
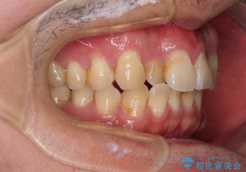
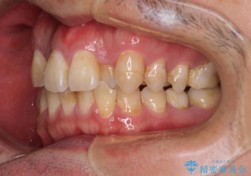
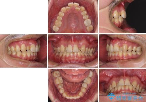
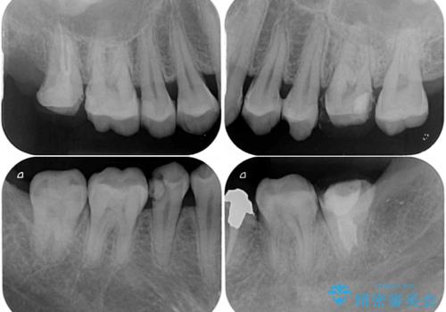
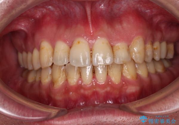
- 虫歯が多く、セラミッククラウンにより虫歯治療を行っている途中で矯正治療をしたいとのことで来院された患者様です。
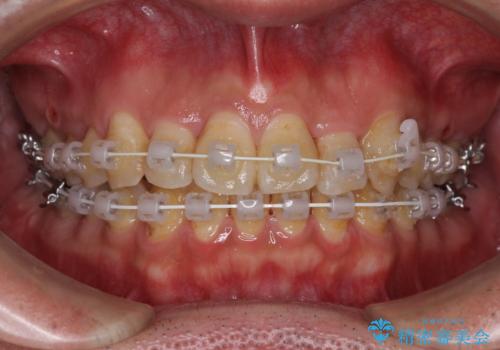
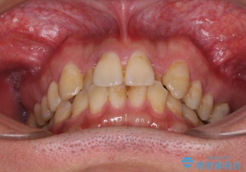
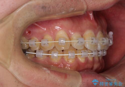
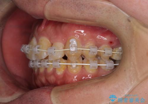
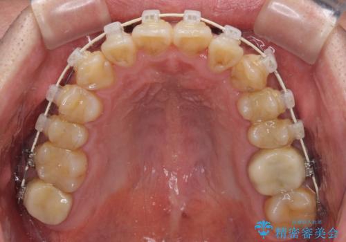
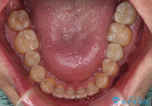
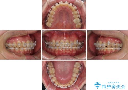
上顎前歯が舌側に転位しており、なるべく早く楽に矯正したいとのことで、ワイヤー矯正を行うこととしました。
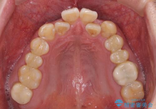
虫歯治療途中の歯は仮歯が装着されていたため、そのまま矯正治療を行い、矯正後に補綴治療を行うこととしました。
- 費用(概算)
- 治療費の目安: 135万円(税込)費用は治療当時の料金となります
治療について
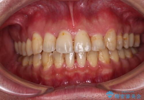
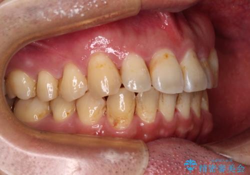
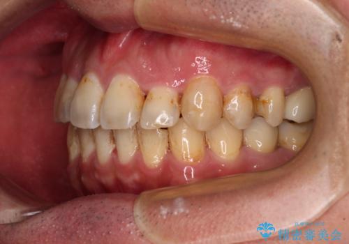
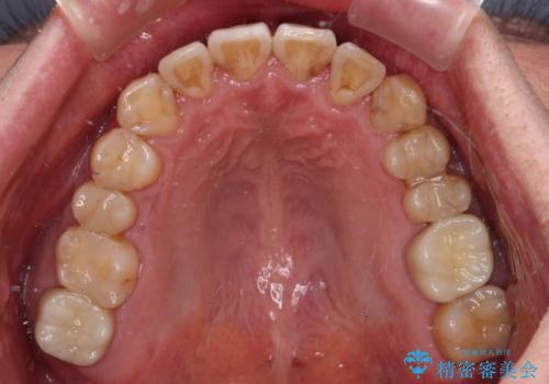
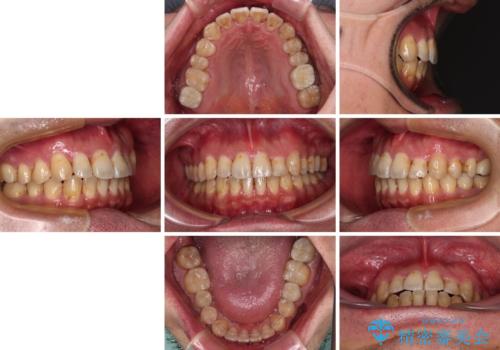
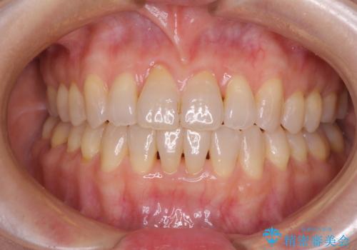
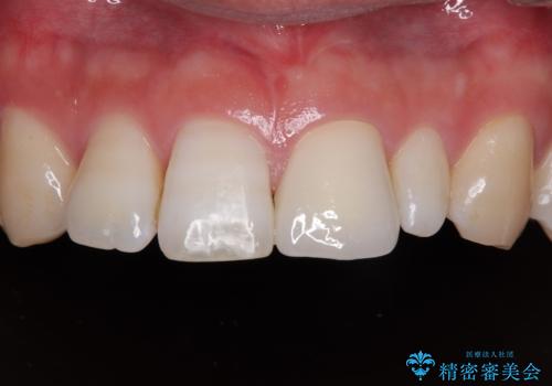
インビザライン矯正では苦手とする舌側転位した前歯をスムーズに改善することができました。
矯正治療により歯磨きがしやすくなったので、虫歯予防のセルフケアが行いやすい環境となりました。
ワイヤー矯正の注意事項(リスク・副作用など)
- 治療中は違和感や痛みが起こることがあります
- 症状により、抜歯が必要な場合があります
- 治療中は歯磨きがしにくくなるため、虫歯や歯周病になりやすくなります
- 矯正治療後の保定が不十分だと後戻り(元の位置に戻ろうとする動き)をします
- 自費診療(保険適用外)となります
セラミック治療の注意事項(リスク・副作用など)
- 天然歯を削ります
- 硬い素材は天然歯を傷つけてしまう場合があります
- かみ合わせや歯ぎしりが強すぎる方はセラミックが割れてしまう可能性があります
- 自費診療(保険適用外治療)となります
当サイトの内容、テキスト、画像等の無断転載、複製、複写、盗用を固く禁じます。




























