症例詳細
Case detail
前歯のデコボコを治したい ワイヤー装置でお手軽に矯正治療
- 患者様
- 30代男性
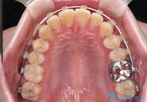
- 矯正装置
- 審美装置
- 治療期間
- 1年8ヶ月
- 治療回数
- 10-30回
- 治療計画
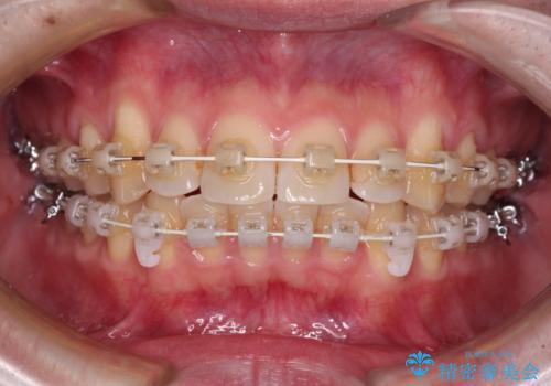
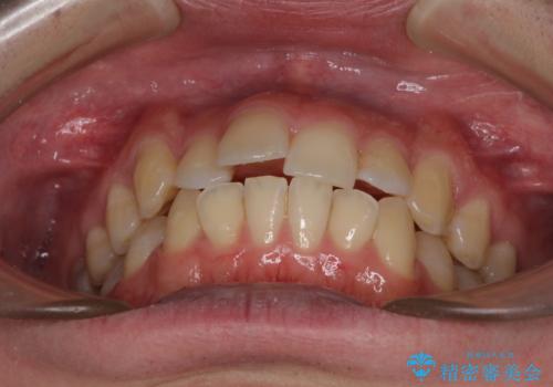
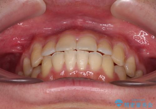
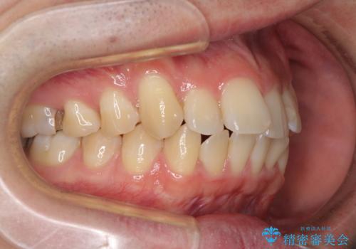
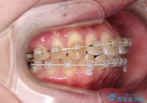
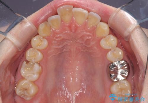
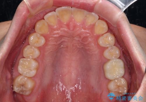
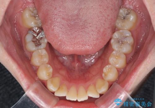
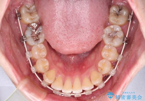
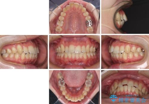
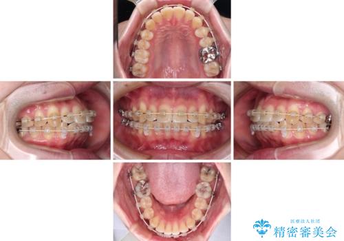
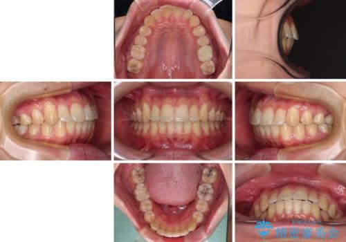
- 上下前歯のデコボコを気にして来院された患者様です。
マウスピース矯正でもワイヤー矯正でも対応可能でしたが、インビザラインによる自己管理が煩わしいとのことで、ワイヤー装置にて矯正治療を行うこととしました。
口元はやや突出感がありましたが抜歯矯正をするほどではないため、舌突出癖を改善するトレーニングをしっかりと行っていただき、現在よりも唇が閉じやすい位置に仕上げていくこととしました。
- 費用(概算)
- 治療費の目安: 105万円(税込)費用は治療当時の料金となります
治療について
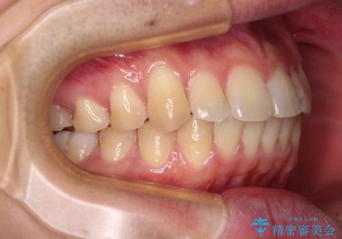
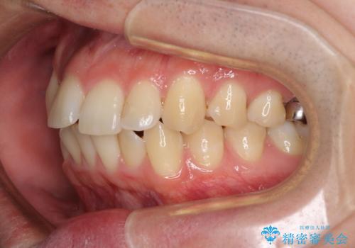
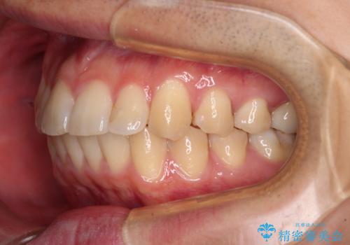
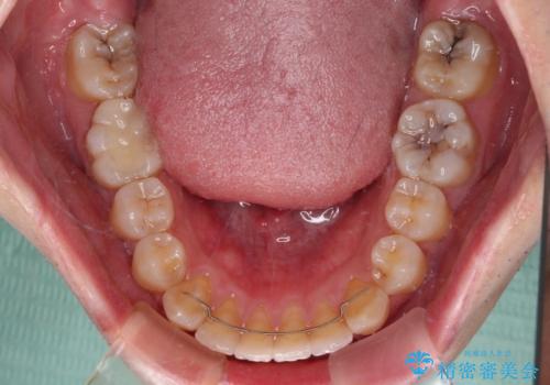
下顎前歯が思っていた以上に動きが悪く、想定よりも期間がかかってしまいました。
矯正治療後には気になっていた銀歯をセラミックで自然な色に仕上げました。
ワイヤー矯正の注意事項(リスク・副作用など)
- 治療中は違和感や痛みが起こることがあります
- 症状により、抜歯が必要な場合があります
- 治療中は歯磨きがしにくくなるため、虫歯や歯周病になりやすくなります
- 矯正治療後の保定が不十分だと後戻り(元の位置に戻ろうとする動き)をします
- 自費診療(保険適用外)となります
セラミック治療の注意事項(リスク・副作用など)
- 天然歯を削ります
- 硬い素材は天然歯を傷つけてしまう場合があります
- かみ合わせや歯ぎしりが強すぎる方はセラミックが割れてしまう可能性があります
- 自費診療(保険適用外治療)となります
当サイトの内容、テキスト、画像等の無断転載、複製、複写、盗用を固く禁じます。


























