症例詳細
Case detail
八重歯と開咬を治したい 目立たないハーフリンガル矯正
- 患者様
- 30代女性
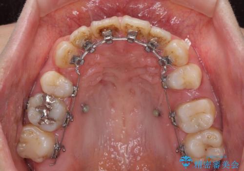
- 矯正装置
- ハーフリンガル
- 治療期間
- 2年8ヶ月
- 治療回数
- 10-30回
- 治療計画
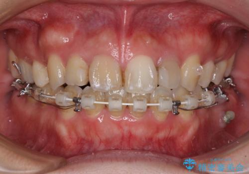
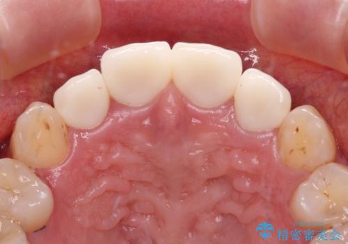
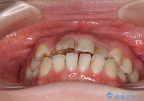
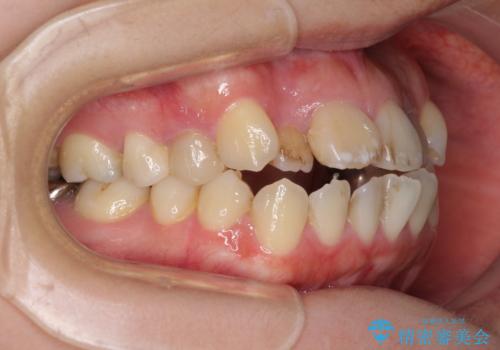
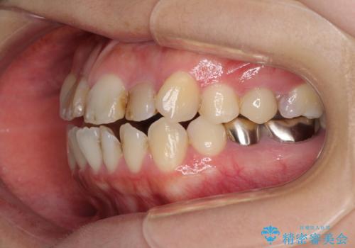
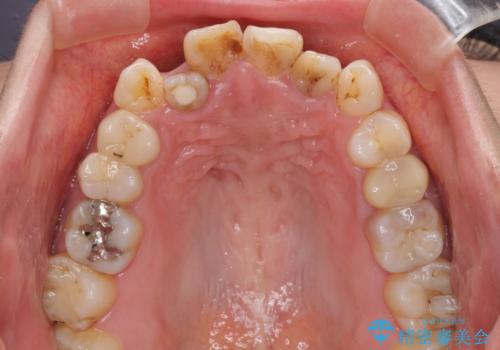
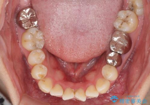
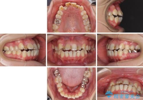
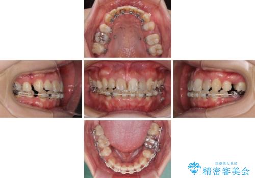
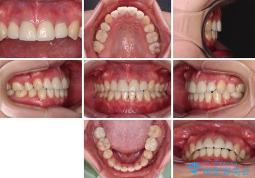
- 八重歯と前歯のデコボコ、開咬を気にして来院された患者様です。
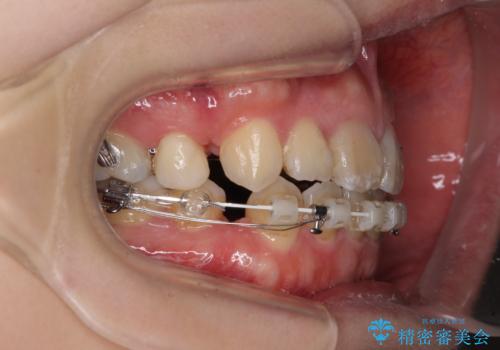
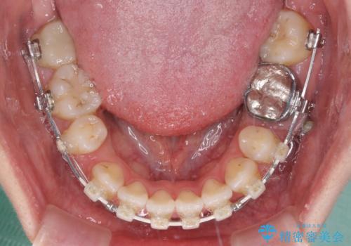
抜歯矯正が必要であることはご自身で理解されており、目立たない装置をご希望であったので、上顎が裏側装置であるハーフリンガル装置にて治療を行うこととしました。
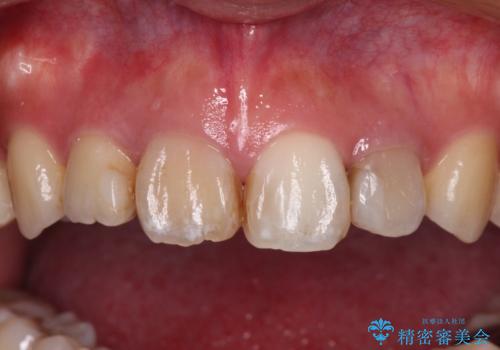
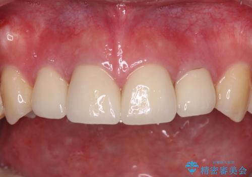
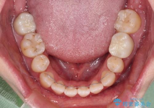
上顎前歯や下顎大臼歯に根管治療の必要な歯がいくつかあるため、矯正治療と並行して根管治療を行い、その後オールセラミッククラウンにて補綴治療を行うこととしました。
- 費用(概算)
- 治療費の目安: 240万円(税込)費用は治療当時の料金となります
治療について
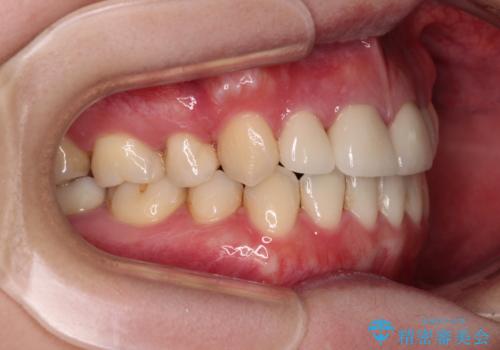
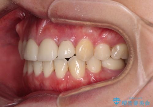
開咬の改善には舌突出癖を改善するためのトレーニングが必要ですが、しっかりと行っていただき、想定よりも早い期間で治療を終えることができました。
ワイヤー矯正の注意事項(リスク・副作用など)
- 治療中は違和感や痛みが起こることがあります
- 症状により、抜歯が必要な場合があります
- 治療中は歯磨きがしにくくなるため、虫歯や歯周病になりやすくなります
- 矯正治療後の保定が不十分だと後戻り(元の位置に戻ろうとする動き)をします
- 自費診療(保険適用外)となります
セラミック治療の注意事項(リスク・副作用など)
- 天然歯を削ります
- 硬い素材は天然歯を傷つけてしまう場合があります
- かみ合わせや歯ぎしりが強すぎる方はセラミックが割れてしまう可能性があります
- 自費診療(保険適用外治療)となります
当サイトの内容、テキスト、画像等の無断転載、複製、複写、盗用を固く禁じます。





























