症例詳細
Case detail
むし歯や銀歯が気になる 後戻りの再矯正治療とむし歯治療
- 患者様
- 40代男性
- 矯正装置
- インビザライン・ライト
- 治療期間
- 2年
- 治療回数
- 10-30回
- 治療計画
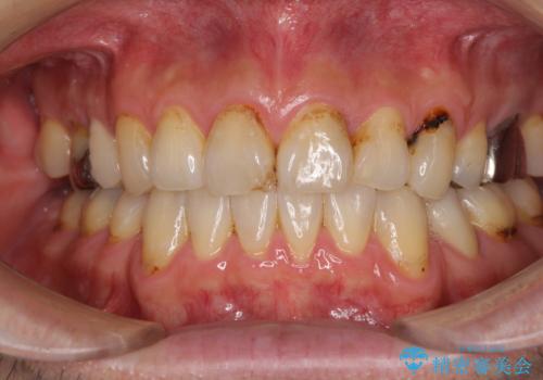
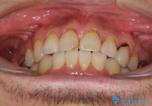
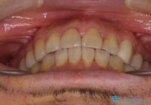
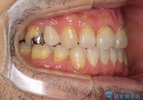
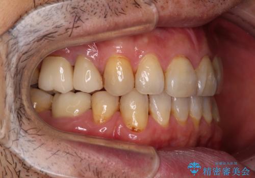
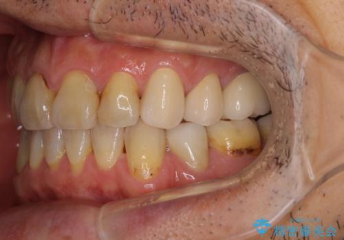
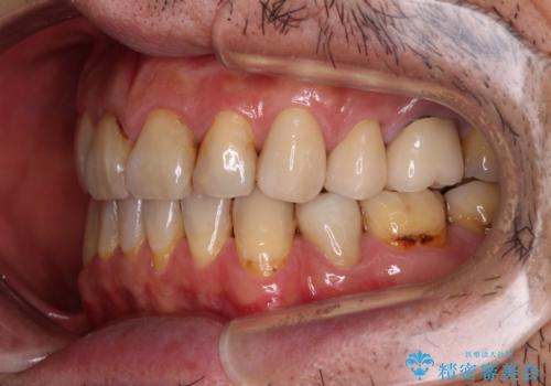
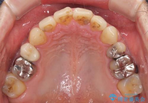
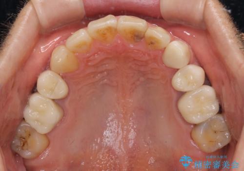
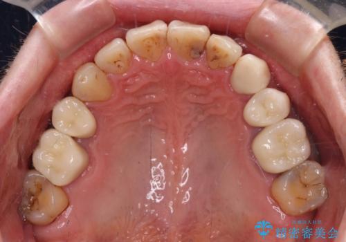
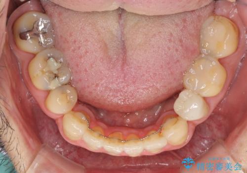
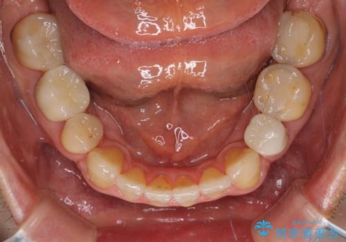
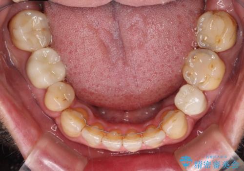
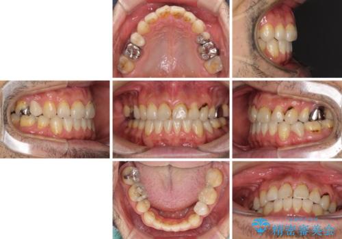
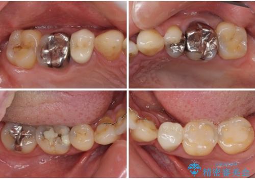
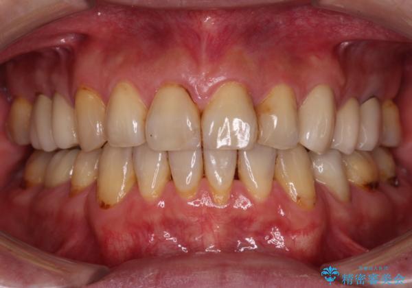
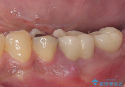
- むし歯による奥歯の痛みを気にして来院された患者様です。
神経にまでむし歯の及んでいる歯や、既に根管治療がされている歯に痛みがあったため、まずは根管治療を行うこととしました。
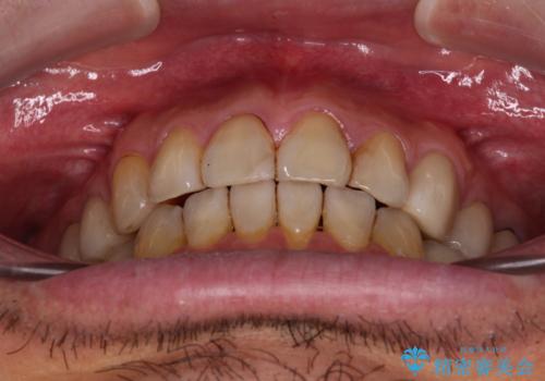
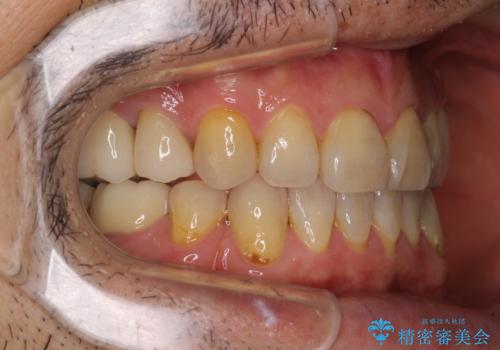
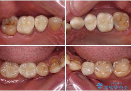
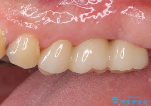
その後、以前行った抜歯矯正の後戻りをインビザライン・ライトにより改善し、むし歯や銀歯はオールセラミッククラウンにて補綴治療することとしました。
- 費用(概算)
- 治療費の目安: 150万円(税込)費用は治療当時の料金となります
治療について
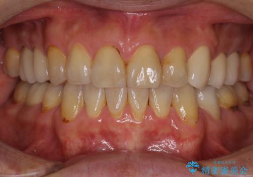
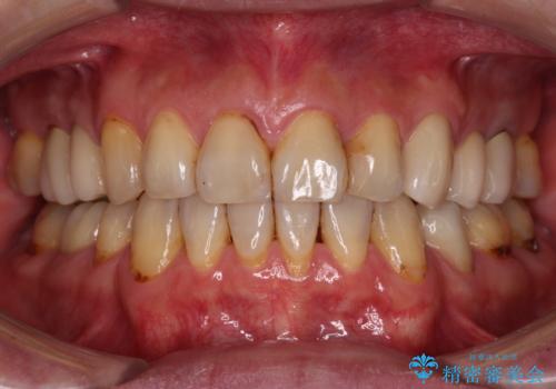
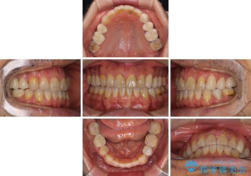
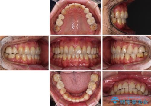
痛みは速やかに引き、銀歯や黒く変色したむし歯がセラミッククラウンで自然な色合いに仕上がり、患者様には大変満足していただきました。
マウスピース矯正の注意事項(リスク・副作用など)
- 口腔内・歯並びの状態によっては対応できない場合があります
- マウスピース型矯正装置の長時間装着(1日20時間以上)が必須です
- 治療計画通りに進めるためには、患者様の意志が重要になります
- 矯正治療後の保定が不十分だと後戻り(元の位置に戻ろうとする動き)をします
- 薬機法対象外の矯正歯科装置のため医薬品副作用被害救済制度の対象外となる場合があります
- 自費診療(保険適用外)となります
セラミック治療の注意事項(リスク・副作用など)
- 天然歯を削ります
- 硬い素材は天然歯を傷つけてしまう場合があります
- かみ合わせや歯ぎしりが強すぎる方はセラミックが割れてしまう可能性があります
- 自費診療(保険適用外治療)となります
当サイトの内容、テキスト、画像等の無断転載、複製、複写、盗用を固く禁じます。































