症例詳細
Case detail
八重歯と形の悪い前歯 矯正治療とセラミック治療
治療症例の内容
- 患者様
- 50代女性
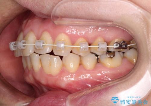
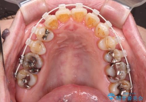
- 矯正装置
- 審美装置
- 治療期間
- 9ヶ月
- 治療回数
- 10-30回
- 治療計画
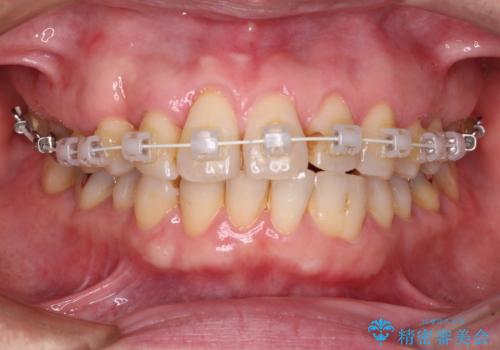
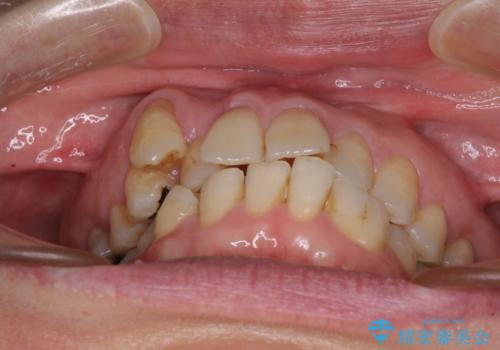
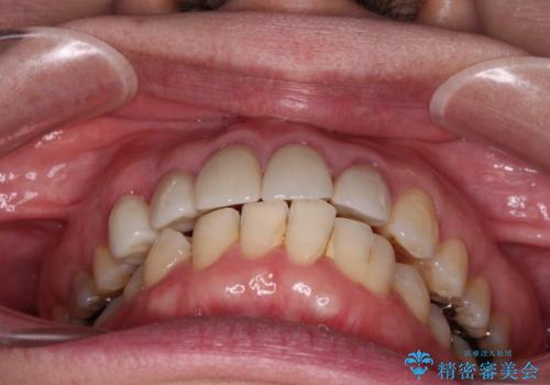
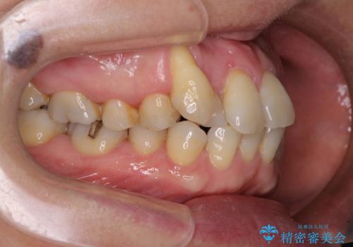
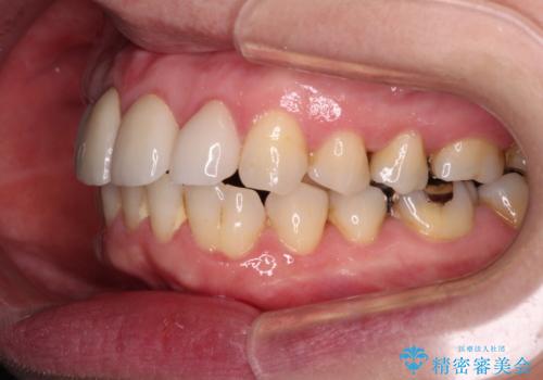
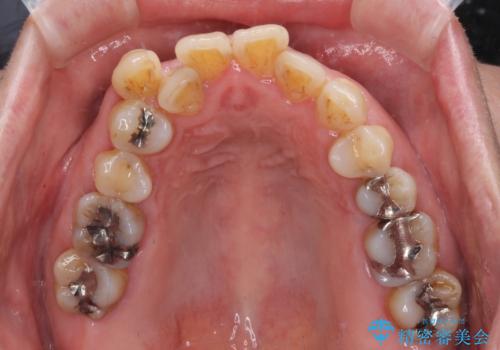
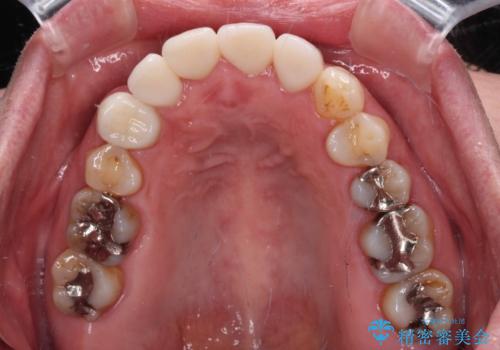
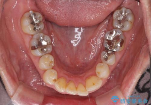
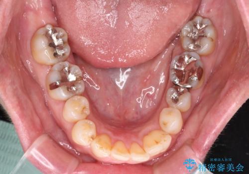
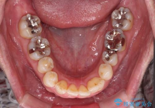
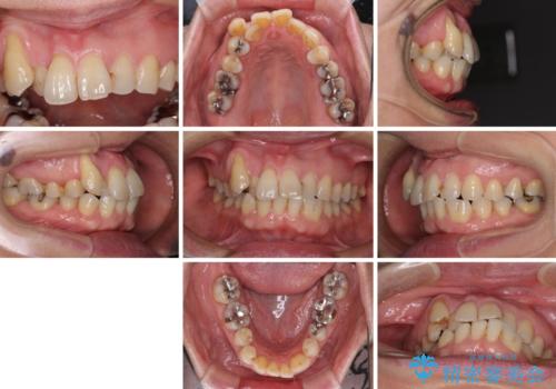
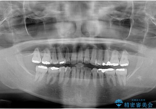
- 長年前歯の歯並びで悩んでいるとのことで来院された患者様です。
機能的なことを考えると八重歯となっている犬歯は抜歯せず、歯列を改善することが望ましいとされますが、数十年もの間犬歯がない咬み合わせで問題なく過ごしてきたため、八重歯を抜歯することで、手っ取り早く歯列を改善することとしました。
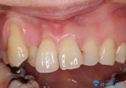
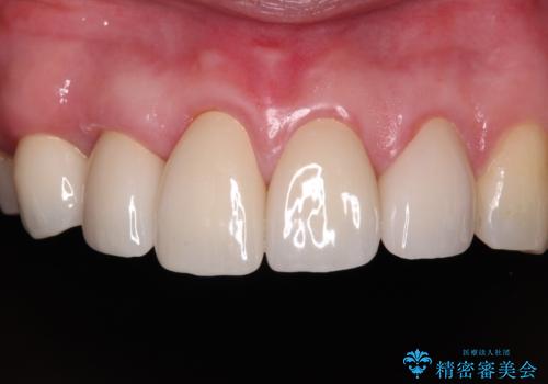
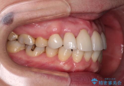
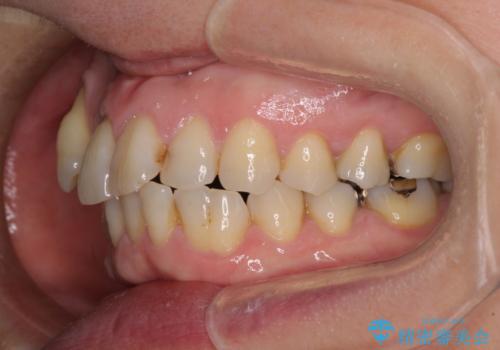
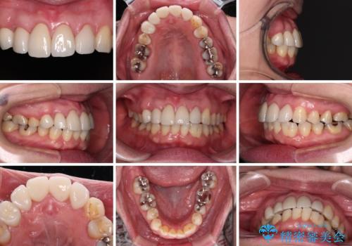
また、当初は予定しておりませんでしたが、歯列が整ったことで前歯の歯の色や形が気になり、矯正治療後にオールセラミッククラウンにて補綴治療することとしました。
- 費用(概算)
- 治療費の目安: 110万円(税込)費用は治療当時の料金となります
治療について
あっという間に気になっていた歯列が改善され、自然な口元になり、患者様には大変満足していただきました。
ワイヤー矯正の注意事項(リスク・副作用など)
- 治療中は違和感や痛みが起こることがあります
- 症状により、抜歯が必要な場合があります
- 治療中は歯磨きがしにくくなるため、虫歯や歯周病になりやすくなります
- 矯正治療後の保定が不十分だと後戻り(元の位置に戻ろうとする動き)をします
- 自費診療(保険適用外)となります
セラミック治療の注意事項(リスク・副作用など)
- 天然歯を削ります
- 硬い素材は天然歯を傷つけてしまう場合があります
- かみ合わせや歯ぎしりが強すぎる方はセラミックが割れてしまう可能性があります
- 自費診療(保険適用外治療)となります
当サイトの内容、テキスト、画像等の無断転載、複製、複写、盗用を固く禁じます。



























