症例詳細
Case detail
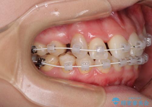
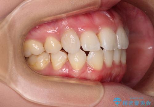
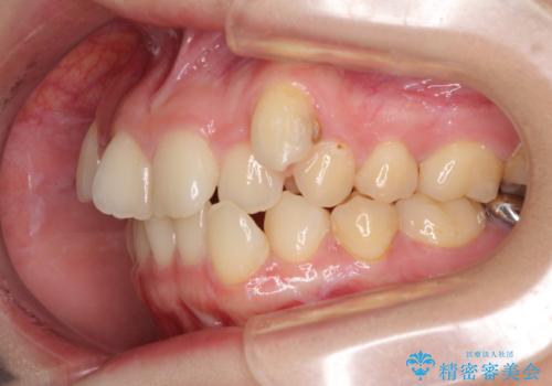
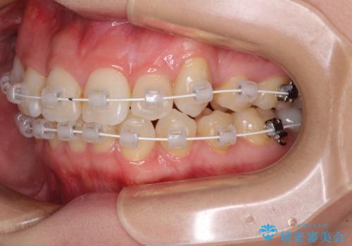
上顎の八重歯と下顎前歯の欠損 ワイヤー装置による抜歯矯正
治療症例の内容
- 患者様
- 20代女性
- 矯正装置
- クリアブラケット
- 治療期間
- 1年10ヶ月
- 治療回数
- 10-30回
- 治療計画
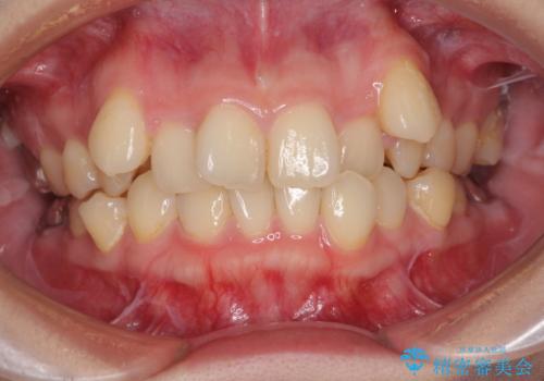
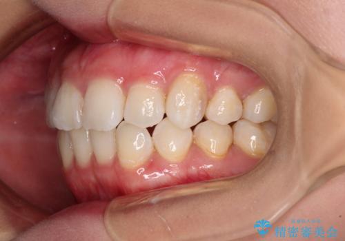
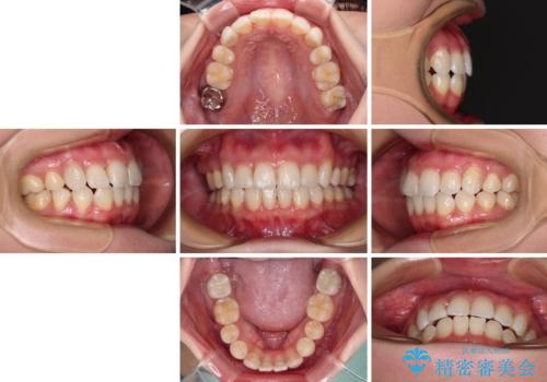
- 上顎の八重歯を気にして来院された患者様です。
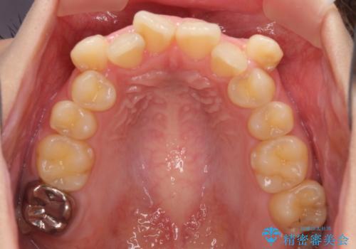
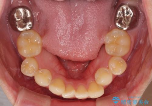
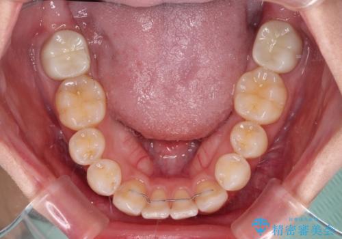
診察したところ、下顎前歯が2本欠損していたため、上下のバランスを取りながら八重歯を改善するため、上顎左右第一小臼歯2本を抜歯することとしました。
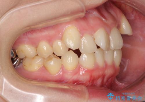
下顎左右大臼歯の歯根部に病変があったため、矯正治療前に根管治療を行い、矯正治療後にセラミッククラウンによる補綴治療を行うこととしました。
- 費用(概算)
- 治療費の目安: 115万円(税込)費用は治療当時の料金となります
治療について
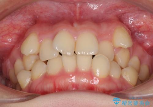
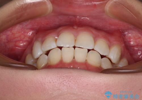
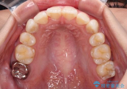
下顎前歯と本来抜歯矯正で抜歯する歯とは大きさが異なるため、仕上がりの咬み合わせは理想的なものとはなりませんでしたが、気になっていた八重歯はきれいに改善することができました。
ワイヤー矯正の注意事項(リスク・副作用など)
- 治療中は違和感や痛みが起こることがあります
- 症状により、抜歯が必要な場合があります
- 治療中は歯磨きがしにくくなるため、虫歯や歯周病になりやすくなります
- 矯正治療後の保定が不十分だと後戻り(元の位置に戻ろうとする動き)をします
- 自費診療(保険適用外)となります
セラミック治療の注意事項(リスク・副作用など)
- 天然歯を削ります
- 硬い素材は天然歯を傷つけてしまう場合があります
- かみ合わせや歯ぎしりが強すぎる方はセラミックが割れてしまう可能性があります
- 自費診療(保険適用外治療)となります
当サイトの内容、テキスト、画像等の無断転載、複製、複写、盗用を固く禁じます。


























