症例詳細
Case detail
咬み合わせが気になる ワイヤー矯正による咬み合わせ改善と奥歯のセラミック治療
治療症例の内容
- 患者様
- 30代男性
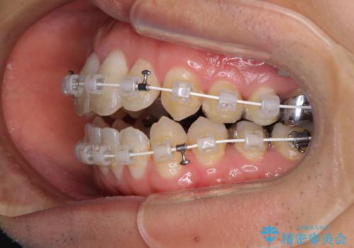
- 矯正装置
- 審美装置
- 治療期間
- 1年7ヶ月
- 治療回数
- 10-30回
- 治療計画
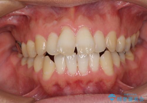
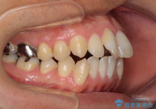
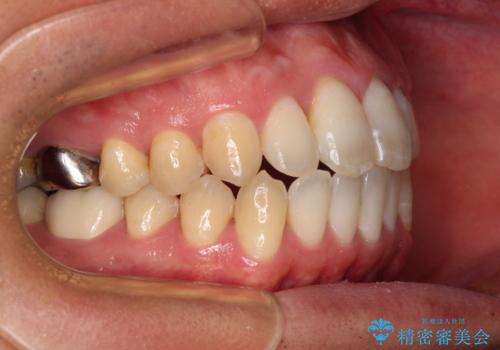
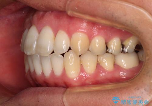
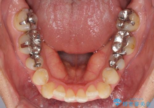
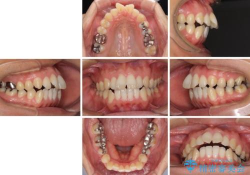
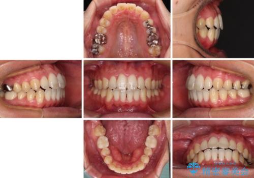
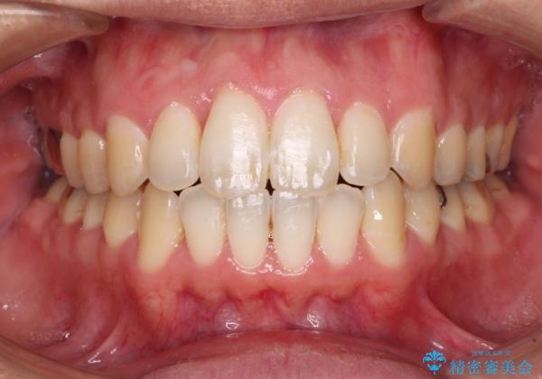
- 前歯のデコボコと、上顎前歯の突出感を気にして来院された患者様です。
通常の咬み合わせ位置と比較して、上顎の歯列が全体的に前方にある状態で、上下前歯の前後方向の位置に著しい差がありました。
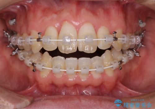
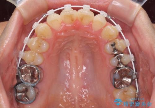
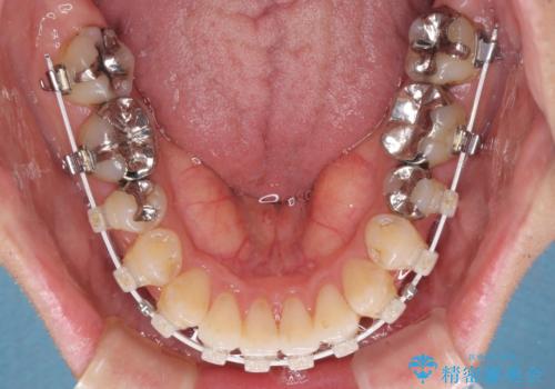
上顎奥歯付近にアンカースクリューを用い、上顎歯列全体の後方移動と、大臼歯圧下を促し、前歯の上下関係を改善することとしました。
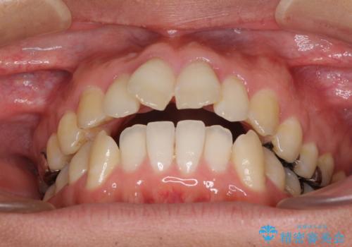
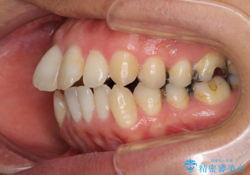
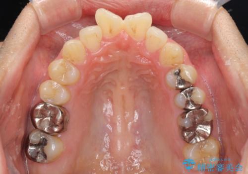
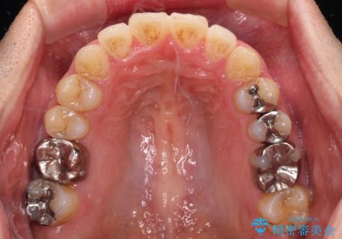
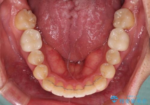
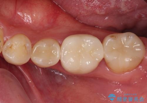
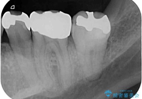
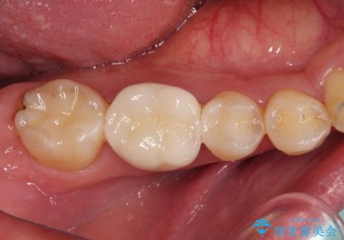
奥歯には目立つ銀歯が多くあるので、矯正治療後には下顎の銀歯をセラミッククラウンやセラミックインレーにより、補綴・修復治療することとしました。
- 費用(概算)
- 治療費の目安: 150万円(税込)費用は治療当時の料金となります
治療について
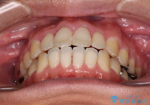
上顎歯列全体を後方に移動させたため、口元の突出感も改善され、装置を外してからは口が閉じやすくなりました。
また、上下犬歯が接触するようになったため、奥歯にストレスのかからない歯ぎしりができるようになり、顎の疲れも改善されました。
ワイヤー矯正の注意事項(リスク・副作用など)
- 治療中は違和感や痛みが起こることがあります
- 症状により、抜歯が必要な場合があります
- 治療中は歯磨きがしにくくなるため、虫歯や歯周病になりやすくなります
- 矯正治療後の保定が不十分だと後戻り(元の位置に戻ろうとする動き)をします
- 自費診療(保険適用外)となります
セラミック治療の注意事項(リスク・副作用など)
- 天然歯を削ります
- 硬い素材は天然歯を傷つけてしまう場合があります
- かみ合わせや歯ぎしりが強すぎる方はセラミックが割れてしまう可能性があります
- 自費診療(保険適用外治療)となります
当サイトの内容、テキスト、画像等の無断転載、複製、複写、盗用を固く禁じます。


































