症例詳細
Case detail
一度諦めた矯正にチャレンジしたい インビザラインとセラミック治療
治療症例の内容
- 患者様
- 20代女性
- 矯正装置
- インビザライン
- 治療期間
- 2年8ヶ月
- 治療回数
- 10-30回
- 治療計画
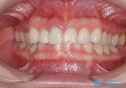
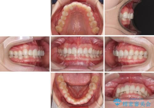
- 一度矯正治療を希望して始めたものの断念し、前歯をセラミッククラウンで治療した後に、やはり矯正でしっかり治したいとのことで来院された患者様です。
当初、前歯の歯列矯正を希望して銀座院に来院され、補助装置を装着するところまで進んだのですが断念してしまいました。
その後、他院で気になる前歯をセラミッククラウンで補綴治療をしたそうですが、やはり歯列を整えたいとのことで再度来院されました。
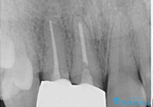
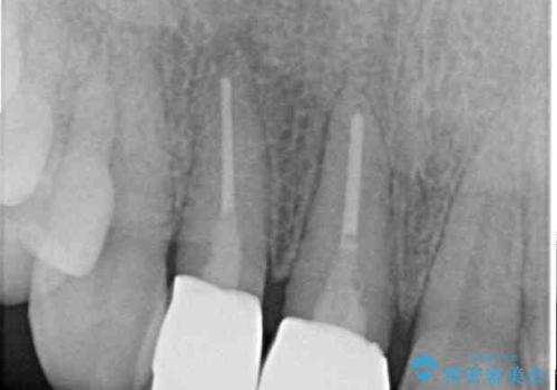
クラウンの状態は、根管治療の状態も含めて決して良い状態とは言えず、矯正治療後の根管治療と補綴治療の再治療を前提として、インビザラインによる矯正治療を行うこととしました。
- 費用(概算)
- 治療費の目安: 125万円費用は治療当時の料金となります
治療について
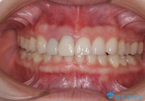
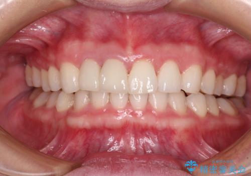
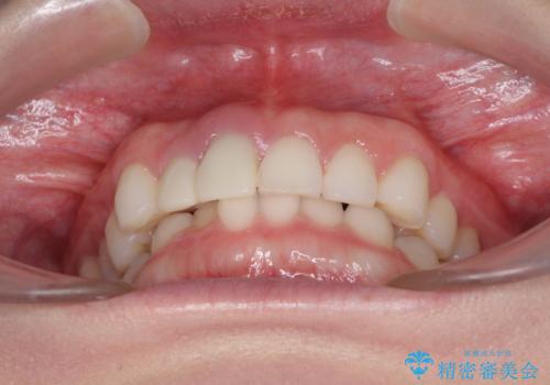
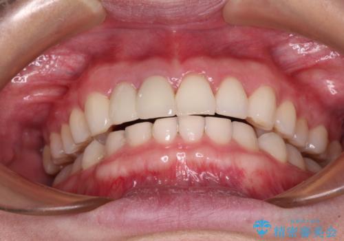
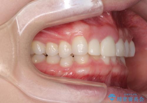
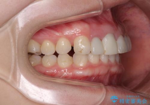
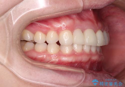
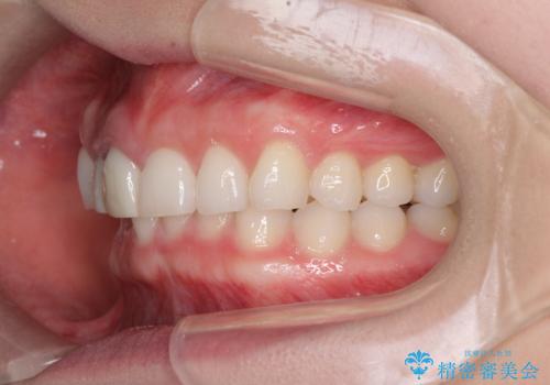
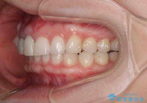
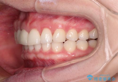
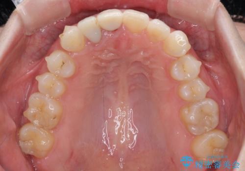
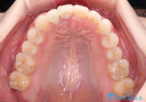
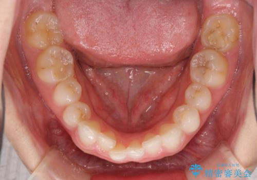
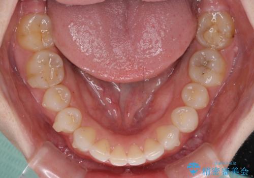
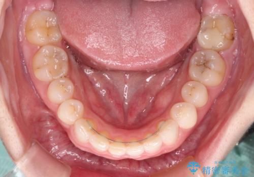
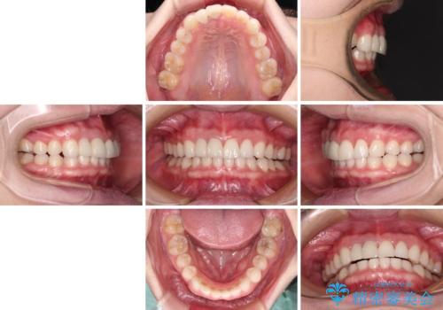
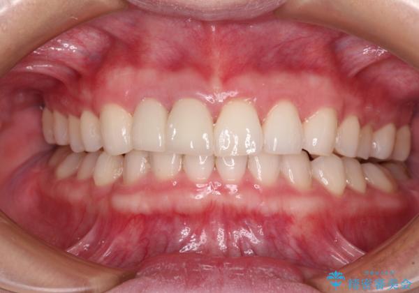
治療前、下顎前歯はほとんど見えない咬み合わせでしたが、矯正治療によりディープバイトが改善されました。
矯正治療中に前歯2本のクラウンは外れてしまい、途中仮歯に替える必要があったので期間は掛かりましたが、歯列も整い、負担のかからない咬み合わせを達成することができました。
マウスピース矯正の注意事項(リスク・副作用など)
- 口腔内・歯並びの状態によっては対応できない場合があります
- マウスピース型矯正装置の長時間装着(1日20時間以上)が必須です
- 治療計画通りに進めるためには、患者様の意志が重要になります
- 矯正治療後の保定が不十分だと後戻り(元の位置に戻ろうとする動き)をします
- 薬機法対象外の矯正歯科装置のため医薬品副作用被害救済制度の対象外となる場合があります
- 自費診療(保険適用外)となります
セラミック治療の注意事項(リスク・副作用など)
- 天然歯を削ります
- 硬い素材は天然歯を傷つけてしまう場合があります
- かみ合わせや歯ぎしりが強すぎる方はセラミックが割れてしまう可能性があります
- 自費診療(保険適用外治療)となります
当サイトの内容、テキスト、画像等の無断転載、複製、複写、盗用を固く禁じます。




























