症例詳細
Case detail
奥歯の銀歯と歯並びを改善 歯周外科治療と矯正治療を行った総合歯科診療
- 患者様
- 50代女性
- 矯正装置
- インビザライン
- 治療期間
- 2年9ヶ月
- 治療回数
- 10-30回
- 治療計画
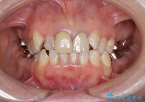
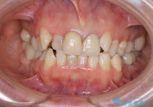
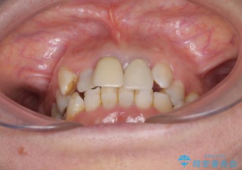
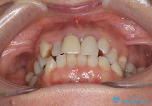
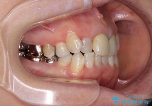
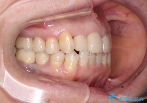
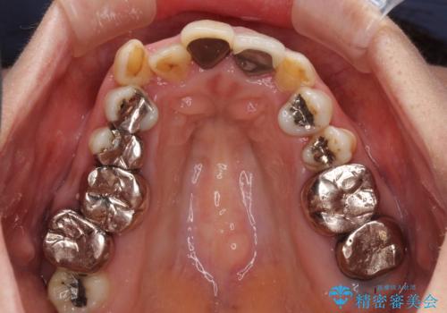
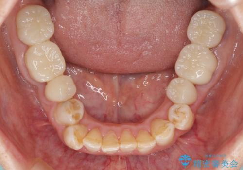
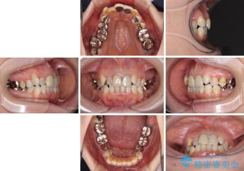
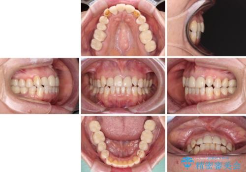
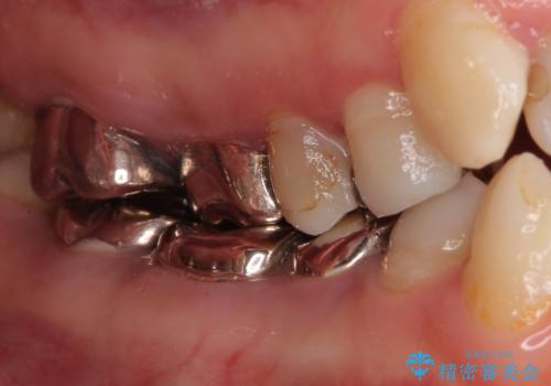
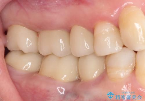
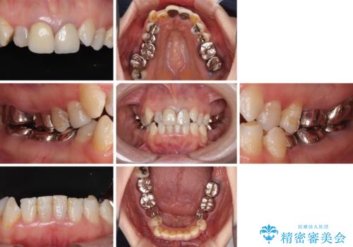
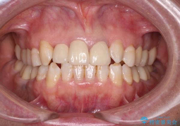
- 全顎的な歯列不正と、銀歯だらけの奥歯を気にして来院された患者様です。
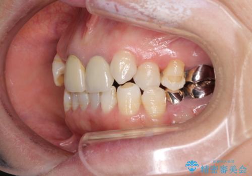
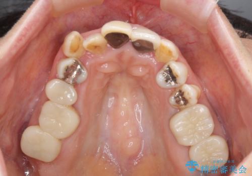
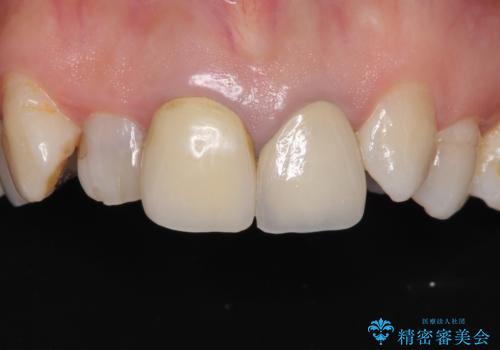
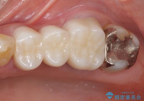
奥歯の銀歯は、セラミッククラウンを装着するには歯の高さが不十分であり、そのままでは矯正治療を行うことが困難であるため、歯冠長延長術を行うこととしました。
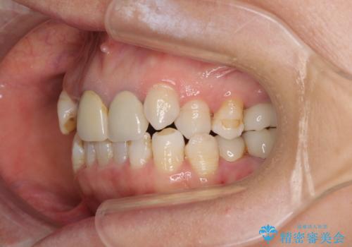
また、根管治療の必要な歯がいくつかあるため、歯周外科治療の治癒期間を利用して根管治療を行い、その後インビザラインにて矯正治療を行うこととしました。
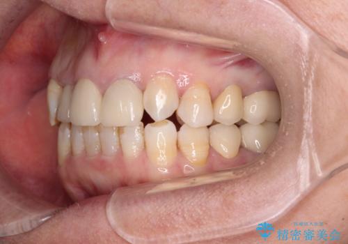
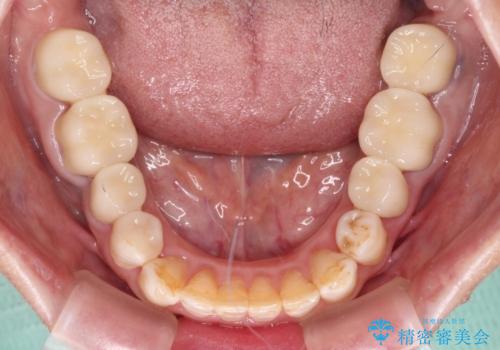
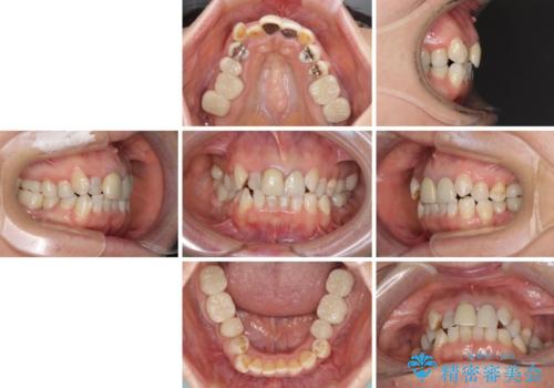
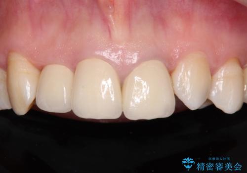
矯正治療後にはオールセラミッククラウンにて補綴治療を行うこととしました。
外科処置に対する恐怖心が強かったため、処置の際には静脈内鎮静法を用いて、リラックスした状態で行いました。
- 費用(概算)
- 治療費の目安: 400万円(税込)費用は治療当時の料金となります
治療について
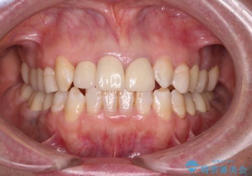
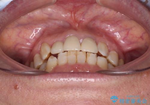
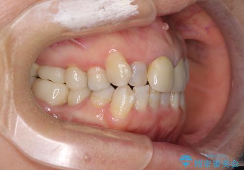
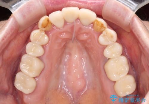
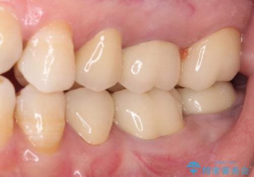
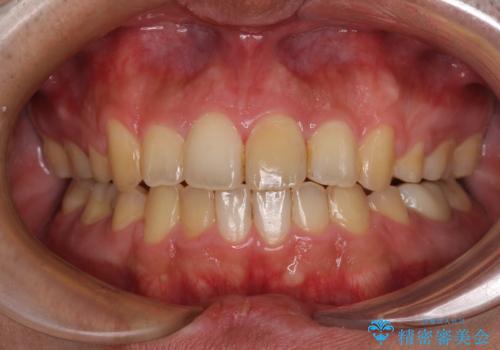
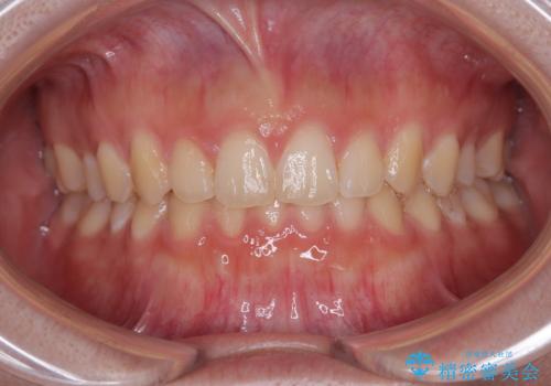
歯冠長延長術を行ったことで、自然な形態かつ清掃性の高いセラミッククラウンを装着することができました。
全顎的に治療を行ったため、治療期間も費用も負担は大きくなりましたが、統一感のある仕上がりとなりました。
セラミック治療の注意事項(リスク・副作用など)
- 天然歯を削ります
- 硬い素材は天然歯を傷つけてしまう場合があります
- かみ合わせや歯ぎしりが強すぎる方はセラミックが割れてしまう可能性があります
- 自費診療(保険適用外治療)となります
マウスピース矯正の注意事項(リスク・副作用など)
- 口腔内・歯並びの状態によっては対応できない場合があります
- マウスピース型矯正装置の長時間装着(1日20時間以上)が必須です
- 治療計画通りに進めるためには、患者様の意志が重要になります
- 矯正治療後の保定が不十分だと後戻り(元の位置に戻ろうとする動き)をします
- 薬機法対象外の矯正歯科装置のため医薬品副作用被害救済制度の対象外となる場合があります
- 自費診療(保険適用外)となります
外科処置の注意事項(リスク・副作用など)
- 外科手術のため、術後に出血、痛みや腫れ、違和感を伴います
- 口腔内の状態によっては適応できないことがあります
当サイトの内容、テキスト、画像等の無断転載、複製、複写、盗用を固く禁じます。






































