症例詳細
Case detail
結婚式までに前歯をきれいにしたい 抜歯矯正とオールセラミッククラウン
治療症例の内容
- 患者様
- 20代女性
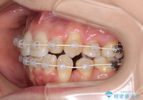
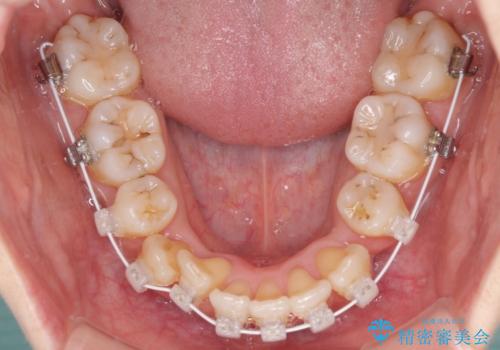
- 矯正装置
- 審美装置
- 治療期間
- 2年1ヶ月
- 治療回数
- 10-30回
- 治療計画
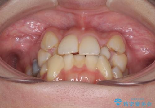
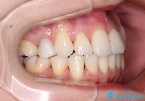
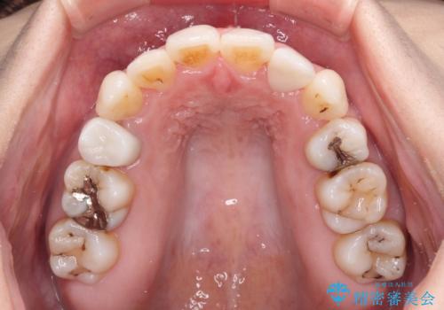
- 結婚式に向けて、八重歯と虫歯で変色した歯を改善したいとのことで来院された患者様です。
上下ともにデコボコが強いため、上下顎左右小臼歯各1歯を抜歯して歯列を整えることとしました。
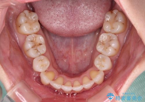
大きな虫歯が認められた歯は、矯正治療後にオールセラミッククラウンにて補綴治療を行うこととしました。
- 費用(概算)
- 治療費の目安:125万円(税込)費用は治療当時の料金となります
治療について
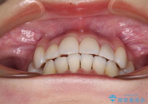
抜歯矯正は、2年半程度の治療期間を要することが一般的ですが、今回はセラミッククラウンによる補綴治療も含めて2年1ヶ月で終えることができました。
元々の歯並びが思い出せないくらい、きれいに仕上げることができました。
ワイヤー矯正の注意事項(リスク・副作用など)
- 治療中は違和感や痛みが起こることがあります
- 症状により、抜歯が必要な場合があります
- 治療中は歯磨きがしにくくなるため、虫歯や歯周病になりやすくなります
- 矯正治療後の保定が不十分だと後戻り(元の位置に戻ろうとする動き)をします
- 自費診療(保険適用外)となります
セラミック治療の注意事項(リスク・副作用など)
- 天然歯を削ります
- 硬い素材は天然歯を傷つけてしまう場合があります
- かみ合わせや歯ぎしりが強すぎる方はセラミックが割れてしまう可能性があります
- 自費診療(保険適用外治療)となります
当サイトの内容、テキスト、画像等の無断転載、複製、複写、盗用を固く禁じます。






























