症例詳細
Case detail
とにかく作り物のような真っ白な歯にしたい フルジルコニアクラウンによる補綴治療
治療症例の内容
- 患者様
- 40代男性
- 治療期間
- 2年2ヶ月
- 治療回数
- 10-30回
- 治療計画
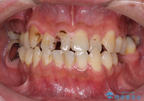
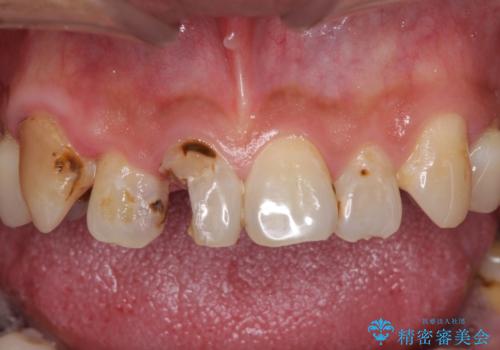
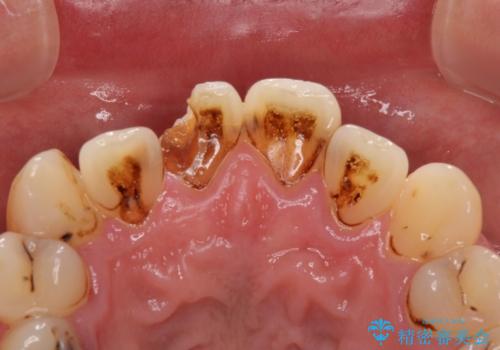
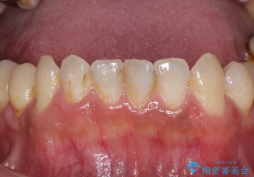
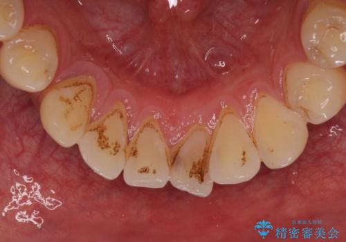
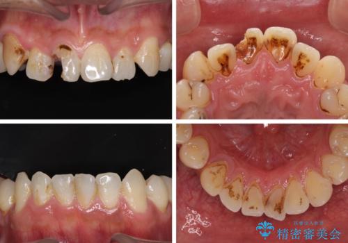
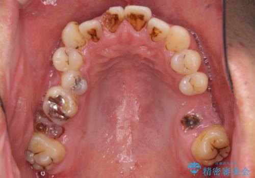
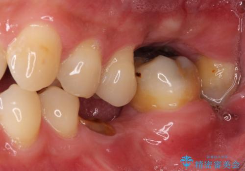
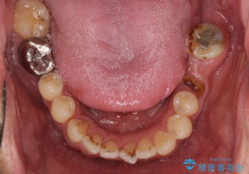
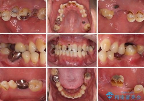
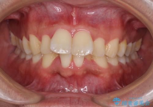
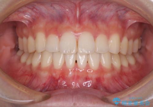
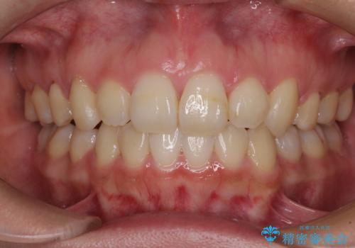
- 前歯や奥歯の虫歯を放置しており、それらの治療を契機に真っ白な歯にしたいとのことで来院された患者様です。
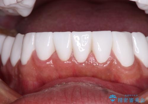
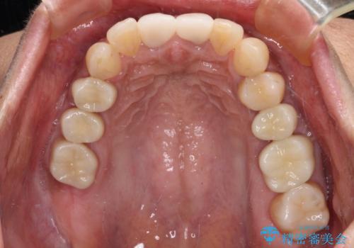
咬み合わせを改善するに当たって、抜歯しなければならない歯や歯列の改善が必要な箇所があったため、矯正治療やインプラント治療から始めていくこととしました。
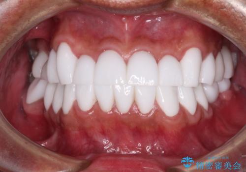
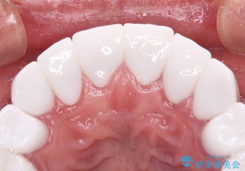
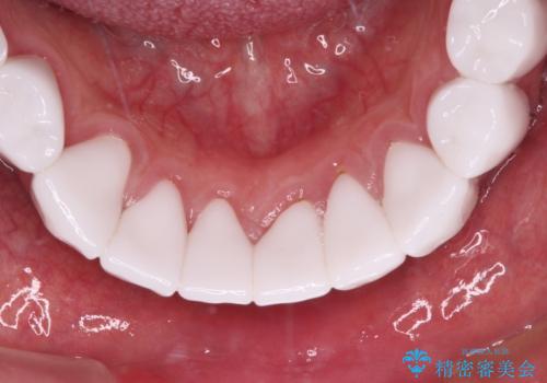
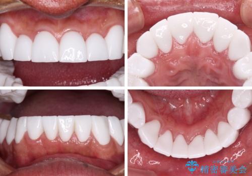
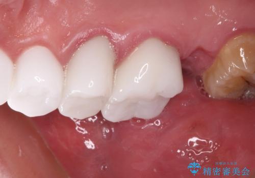
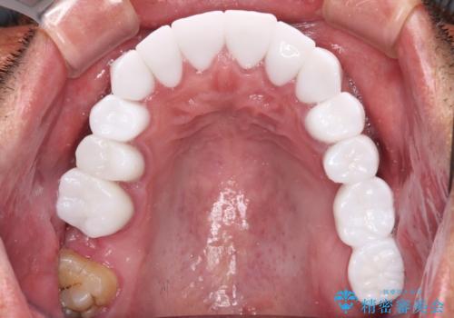
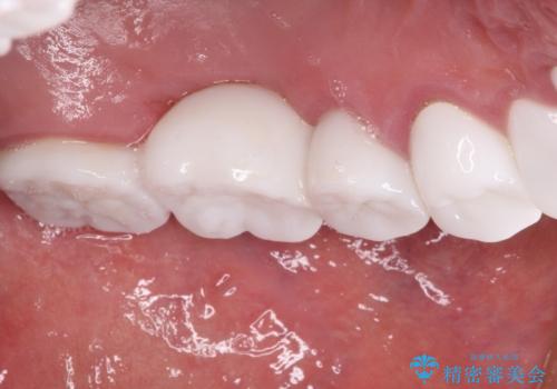
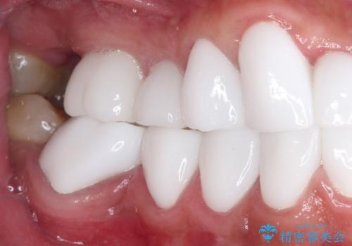
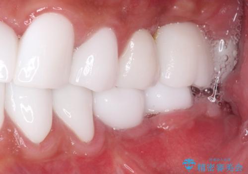
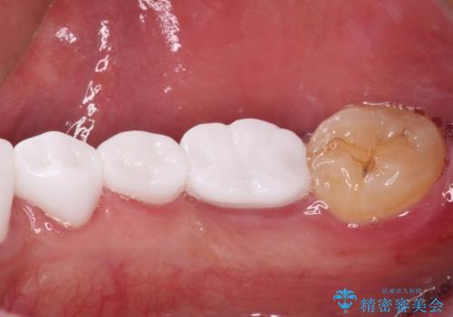
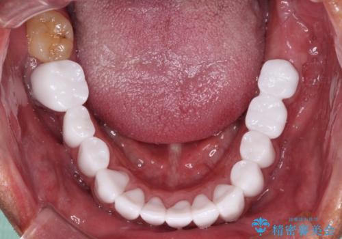
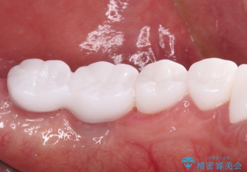
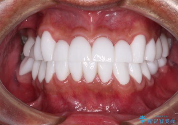
不自然なくらい真っ白にしたいとのことでしたので、透明感のないフルジルコニアクラウンを用いて補綴することとしました。
- 費用(概算)
- 治療費の目安: 300万円費用は治療当時の料金となります
治療について
本来、あまりにも不自然な歯となるため、フルジルコニアクラウンを前歯に使用することは、咬合力が強すぎる場合を除き、ほとんどありません。
それでも、色調、形態ともに不自然なくらい真っ白な歯をご希望でしたので、患者様には大変満足していただきました。
セラミック治療の注意事項(リスク・副作用など)
- 天然歯を削ります
- 硬い素材は天然歯を傷つけてしまう場合があります
- かみ合わせや歯ぎしりが強すぎる方はセラミックが割れてしまう可能性があります
- 自費診療(保険適用外治療)となります
インプラント治療の注意事項(リスク・副作用など)
- 外科手術のため、術後に痛みや腫れ、違和感を伴います
- メンテナンスを怠ったり喫煙により、お口の中に大きな悪影響を及ぼすインプラント周囲炎等にかかる可能性があります
- 糖尿病、肝硬変、心臓病等の場合、インプラント治療ができない可能性があります
- 高血圧、貧血・不整脈等の場合、インプラント治療後に治癒不全を招く可能性があります
- 自費診療(保険適用外治療)となります
ワイヤー矯正の注意事項(リスク・副作用など)
- 治療中は違和感や痛みが起こることがあります
- 症状により、抜歯が必要な場合があります
- 治療中は歯磨きがしにくくなるため、虫歯や歯周病になりやすくなります
- 矯正治療後の保定が不十分だと後戻り(元の位置に戻ろうとする動き)をします
- 自費診療(保険適用外)となります
当サイトの内容、テキスト、画像等の無断転載、複製、複写、盗用を固く禁じます。


































