症例詳細
Case detail
出血が止まらない インプラント補綴を用いた歯周病治療
- 患者様
- 50代女性
- 治療期間
- 2年6ヶ月
- 治療回数
- 10-30回
- 治療計画
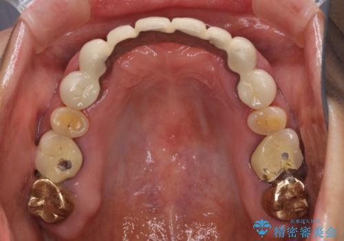
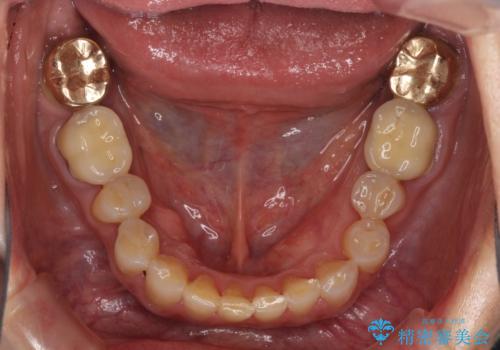
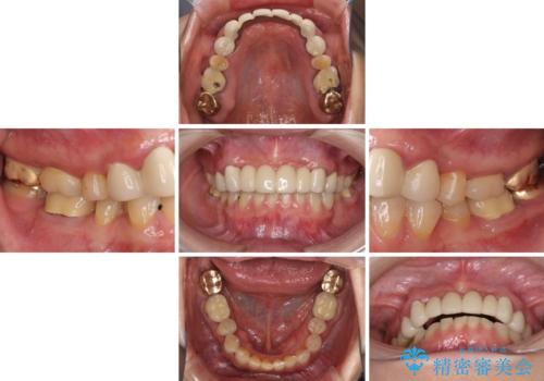
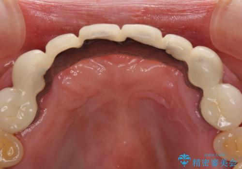
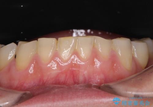
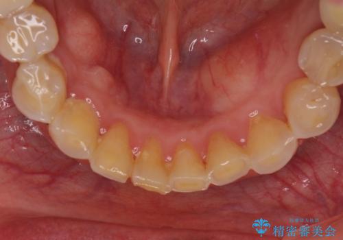
- 全顎的な歯肉からの出血と前歯の形態を気にして来院された患者様です。
診査の結果、上顎奥歯を中心に深い歯周ポケットが認められたため、歯周ポケット除去を目的とした歯周外科処置を行うこととしました。
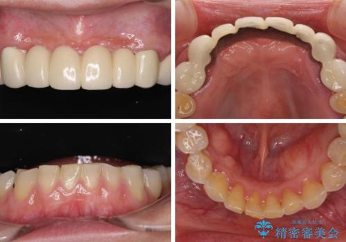
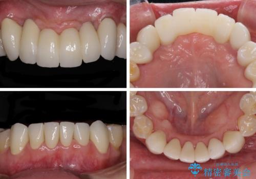
また、前歯のブリッジへの咬合力の負担が大きく、土台となっている歯が揺れてしまっていたため、インプラント埋入により奥歯への負担を軽減することとしました。
- 費用(概算)
- 治療費の目安: 350万円費用は治療当時の料金となります
治療について
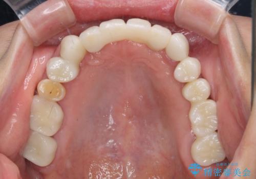
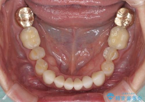
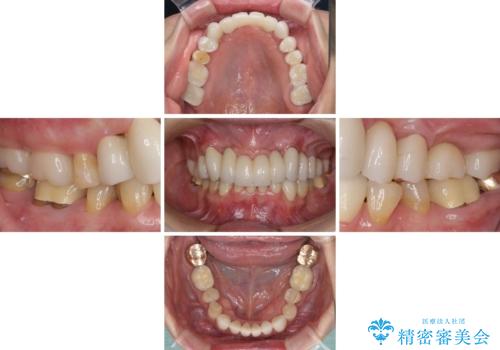
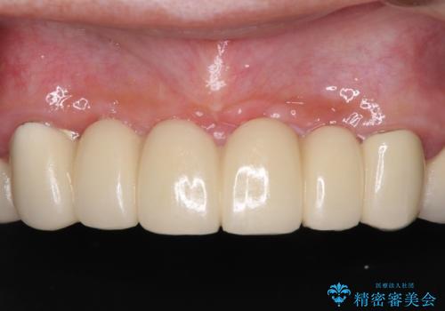
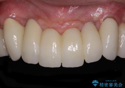
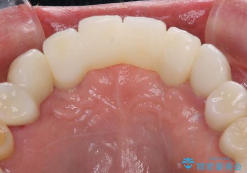
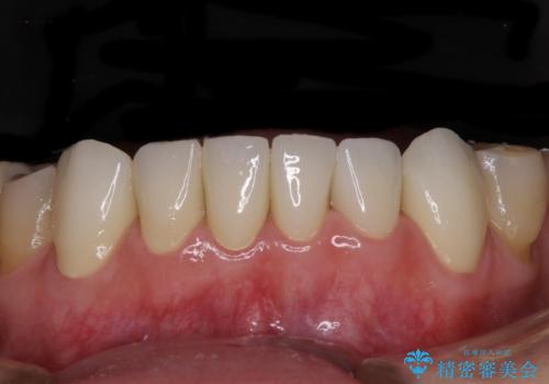
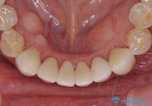
歯周外科処置を行ったことで歯周ポケットはなくなり、毎回のブラッシングの度に嫌な思いをしていた出血は認められなくなりました。
上下前歯の見え方を気にされており、歯だけをみると大変長くなりましたが、笑ったときの口元は自然な外見となり、患者様には大変満足していただきました。
インプラント治療の注意事項(リスク・副作用など)
- 外科手術のため、術後に痛みや腫れ、違和感を伴います
- メンテナンスを怠ったり喫煙により、お口の中に大きな悪影響を及ぼすインプラント周囲炎等にかかる可能性があります
- 糖尿病、肝硬変、心臓病等の場合、インプラント治療ができない可能性があります
- 高血圧、貧血・不整脈等の場合、インプラント治療後に治癒不全を招く可能性があります
- 自費診療(保険適用外治療)となります
歯周病治療の注意事項(リスク・副作用など)
- 外科手術のため、術後に痛みや腫れ、違和感を伴います
- 歯周組織再生治療は患者様の状態によって術後の経過が異なります(見た目が改善しない場合もあります)
- 歯周組織再生治療は自費診療(保険適用外)となります
セラミック治療の注意事項(リスク・副作用など)
- 天然歯を削ります
- 硬い素材は天然歯を傷つけてしまう場合があります
- かみ合わせや歯ぎしりが強すぎる方はセラミックが割れてしまう可能性があります
- 自費診療(保険適用外治療)となります
当サイトの内容、テキスト、画像等の無断転載、複製、複写、盗用を固く禁じます。























