症例詳細
Case detail
矯正を含む全顎治療
- 患者様
- 50代女性
- 治療期間
- 2年
- 治療回数
- 10-30回
- 治療計画
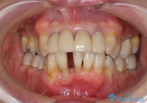
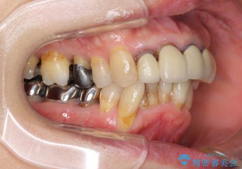
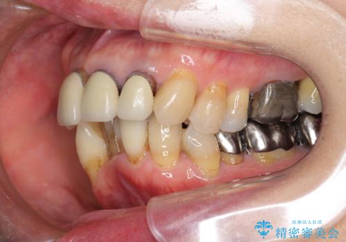
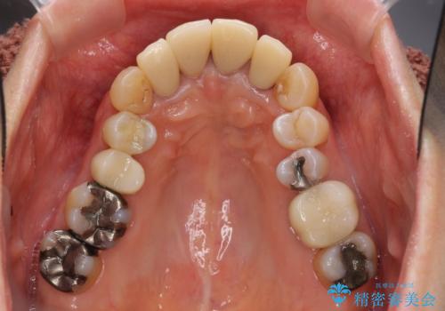
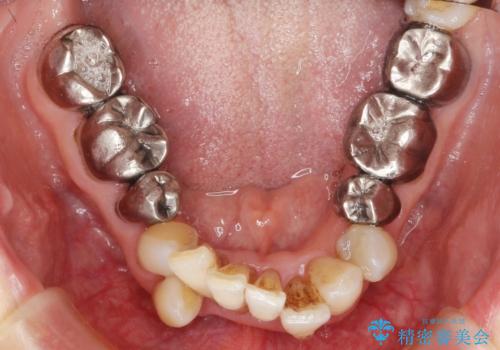
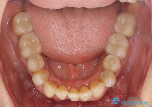
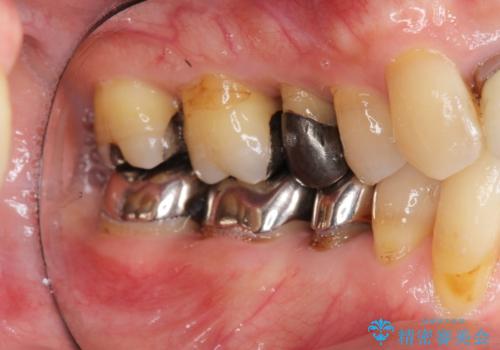
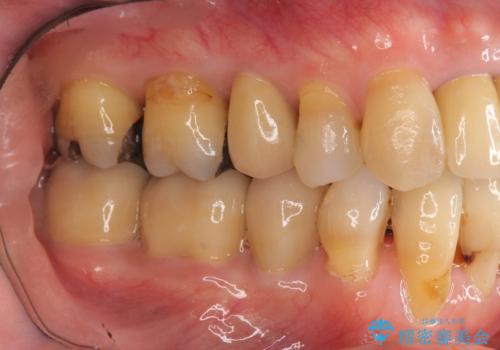
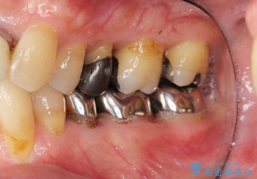
- 前歯の見た目・歯並び・銀歯の見た目の改善を求めて来院されました。
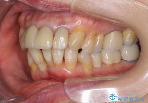
まずガタ付きの強い歯並びをマウスピース矯正インビザラインで整えたのち、セラミック治療による審美性の改善を計画します。
- 費用(概算)
- 200万円(税別)費用は治療当時の料金となります
矯正治療とセラミック治療の全顎治療について
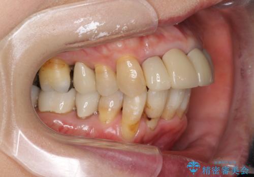
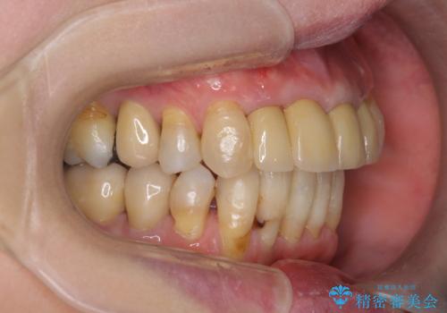
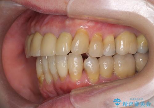
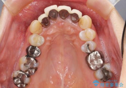
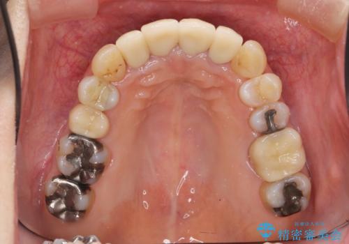
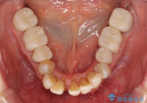
矯正治療が終わったのちに、精度の高いセラミックを装着することでより安定した噛み合わせとなり審美性も兼ね備えた口腔内状態で治療を終了し、今後のメンテナンスを行っていくことができます。
セラミック治療の注意事項(リスク・副作用など)
- 天然歯を削ります
- 硬い素材は天然歯を傷つけてしまう場合があります
- かみ合わせや歯ぎしりが強すぎる方はセラミックが割れてしまう可能性があります
- 自費診療(保険適用外治療)となります
マウスピース矯正の注意事項(リスク・副作用など)
- 口腔内・歯並びの状態によっては対応できない場合があります
- マウスピース型矯正装置の長時間装着(1日20時間以上)が必須です
- 治療計画通りに進めるためには、患者様の意志が重要になります
- 矯正治療後の保定が不十分だと後戻り(元の位置に戻ろうとする動き)をします
- 薬機法対象外の矯正歯科装置のため医薬品副作用被害救済制度の対象外となる場合があります
- 自費診療(保険適用外)となります
当サイトの内容、テキスト、画像等の無断転載、複製、複写、盗用を固く禁じます。





















