症例詳細
Case detail
気になる部分を全て治療 総合歯科治療で口腔内環境改善
- 患者様
- 40代女性
- 治療期間
- 2年2ヶ月
- 治療回数
- 10-30回
- 治療計画
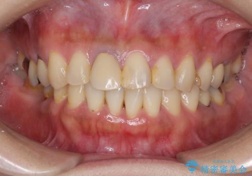
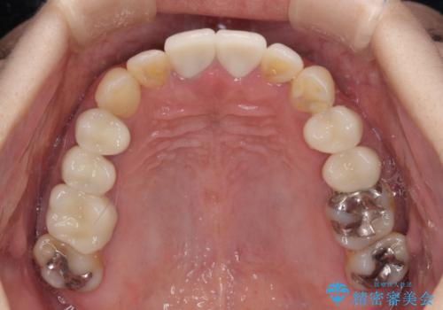
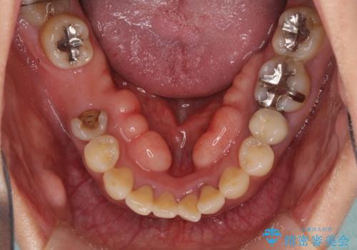
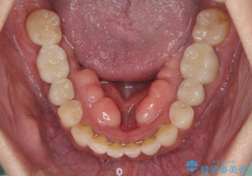
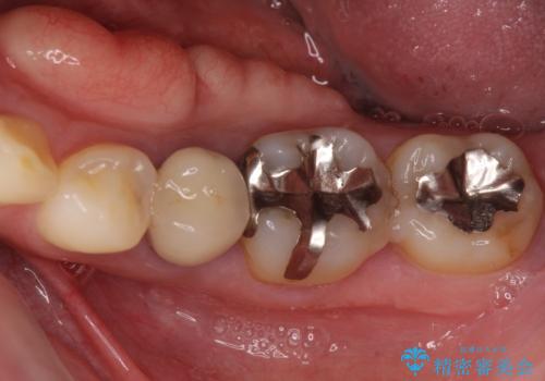
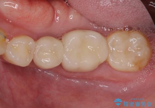
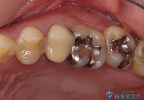
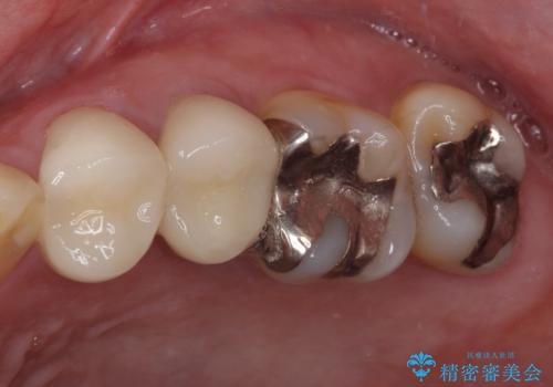
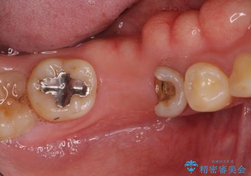
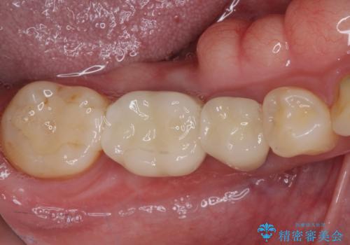
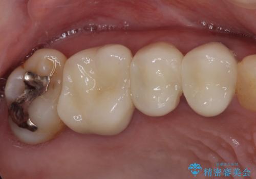
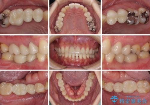
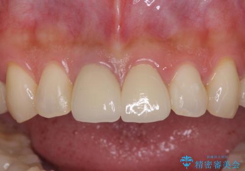
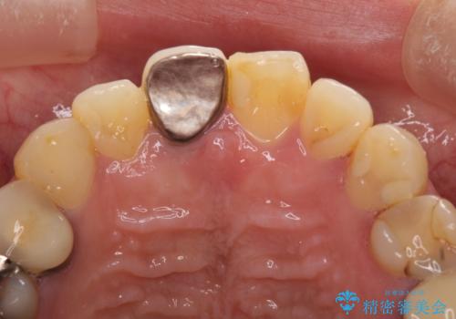
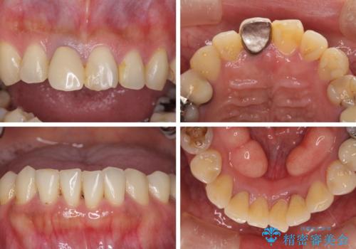
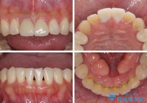
- 右下の欠損部の治療を希望して来院された患者様です。
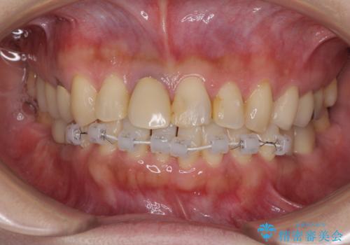
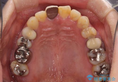
部分矯正を行った後にインプラント埋入と手前の歯の根管治療を行い、その後補綴治療を行うこととしました。
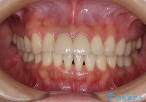
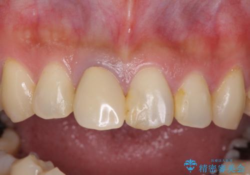
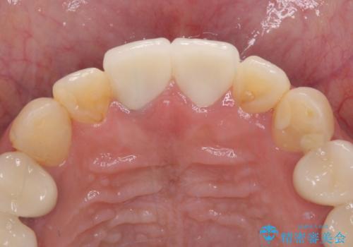
治療途中より、上の歯や反対側の銀歯、上顎前歯の色合いや下顎前歯のデコボコが気になってきたため、全てを治療することとしました。
- 費用(概算)
- 治療費の目安: 230万円費用は治療当時の料金となります
治療について
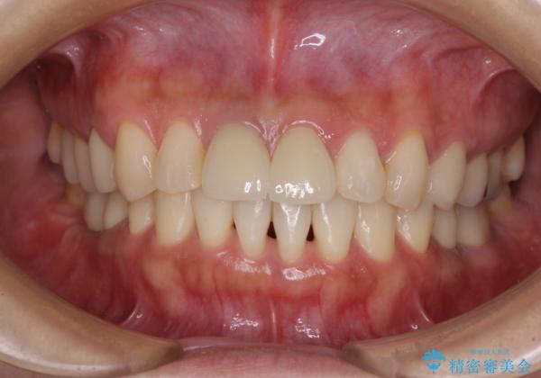
仕事が多忙な方で、来院間隔が開いてしまうことが多く、治療期間はかかりましたが、来院回数は最小限で終えることができました。
セラミック治療の注意事項(リスク・副作用など)
- 天然歯を削ります
- 硬い素材は天然歯を傷つけてしまう場合があります
- かみ合わせや歯ぎしりが強すぎる方はセラミックが割れてしまう可能性があります
- 自費診療(保険適用外治療)となります
インプラント治療の注意事項(リスク・副作用など)
- 外科手術のため、術後に痛みや腫れ、違和感を伴います
- メンテナンスを怠ったり喫煙により、お口の中に大きな悪影響を及ぼすインプラント周囲炎等にかかる可能性があります
- 糖尿病、肝硬変、心臓病等の場合、インプラント治療ができない可能性があります
- 高血圧、貧血・不整脈等の場合、インプラント治療後に治癒不全を招く可能性があります
- 自費診療(保険適用外治療)となります
ワイヤー矯正の注意事項(リスク・副作用など)
- 治療中は違和感や痛みが起こることがあります
- 症状により、抜歯が必要な場合があります
- 治療中は歯磨きがしにくくなるため、虫歯や歯周病になりやすくなります
- 矯正治療後の保定が不十分だと後戻り(元の位置に戻ろうとする動き)をします
- 自費診療(保険適用外)となります
根管治療の注意事項(リスク・副作用など)
- 根管治療により類似の全ての症例の問題が解決するわけではなく、症例はあくまでも一例です
- 根管治療により痛みや腫れがひかない事や、術後に痛みや腫れが生じる事、治療によるファイル破折やパーフォレーションなどの偶発症、術後の歯根破折を生じる可能性もあります
- 自費診療(保険適用外)となります
当サイトの内容、テキスト、画像等の無断転載、複製、複写、盗用を固く禁じます。



























