症例詳細
Case detail
前歯を整えたい 小さい前歯がある 矯正・セラミック併用で美しく インビザラインでも抜歯矯正できます
- 患者様
- 30代女性
- 治療期間
- 2年
- 治療回数
- 10-30回
- 治療計画
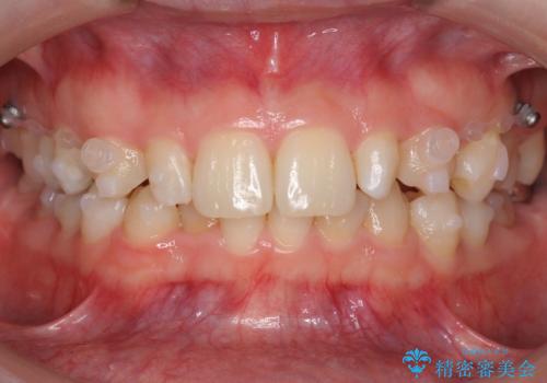
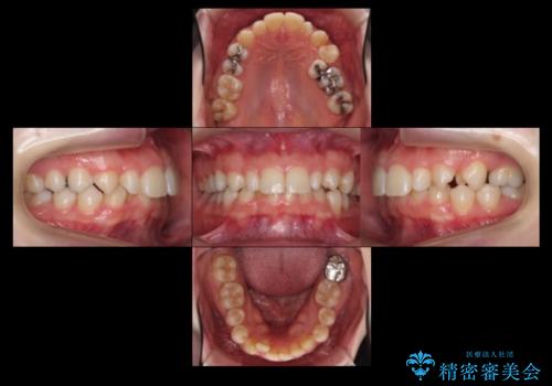
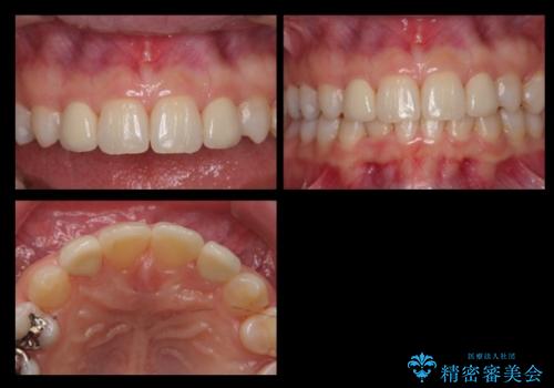
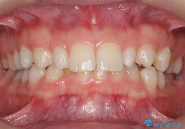
- 前歯を整えたいと来院。
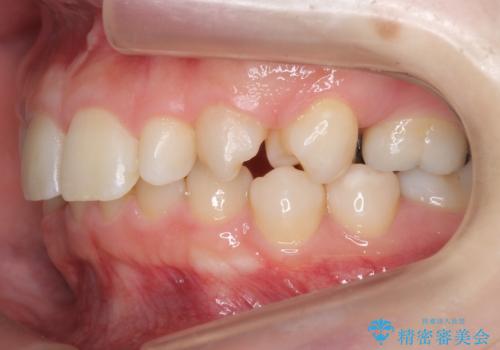
左右の前から2番目の歯が細く、矮小でした。
また、奥歯が2つ並んでおり歯ブラシがしにくい状態でした。
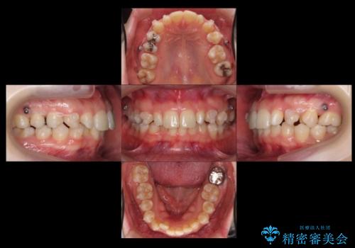
内側に入っている左上5を抜歯しています。
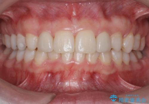
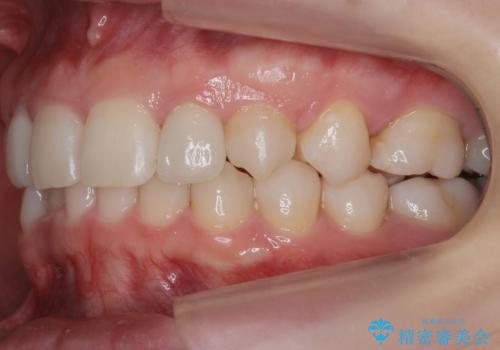
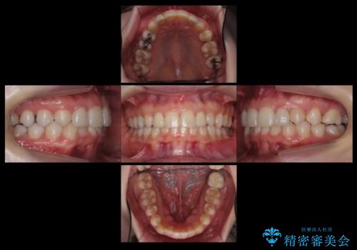
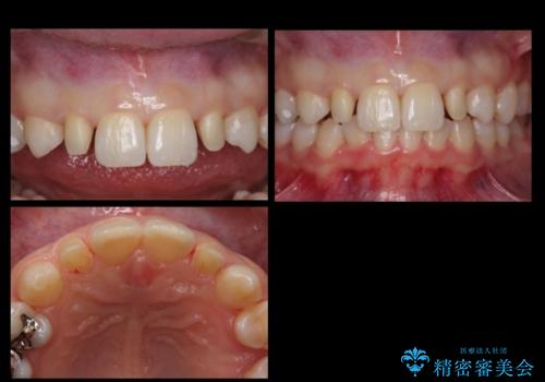
抜歯したスペースを使い、歯並びを整え、さらにその隙間を利用して細い歯を大きく整えてセラミックで被せるという総合的な治療を行いました。
マウスピース矯正→上顎両側2番のセラミック、左下67の虫歯治療 の順で行いました。
- 費用(概算)
- 137万円 内訳:矯正治療95万円 セラミック治療42万円 (前歯2本28万円(ジルコニアクラウン・スペシャル) 左下奥歯2本15万円(emaxインレー、ヴェレッツァクラウン))ホワイトニング(エクセレント)3万円費用は治療当時の料金となります
治療について
矯正治療→ホワイトニング→セラミック の順で行なっています。
ホワイトニングで綺麗に白くした歯に合わせて、被せています。
セラミック治療の注意事項(リスク・副作用など)
- 天然歯を削ります
- 硬い素材は天然歯を傷つけてしまう場合があります
- かみ合わせや歯ぎしりが強すぎる方はセラミックが割れてしまう可能性があります
- 自費診療(保険適用外治療)となります
マウスピース矯正の注意事項(リスク・副作用など)
- 口腔内・歯並びの状態によっては対応できない場合があります
- マウスピース型矯正装置の長時間装着(1日20時間以上)が必須です
- 治療計画通りに進めるためには、患者様の意志が重要になります
- 矯正治療後の保定が不十分だと後戻り(元の位置に戻ろうとする動き)をします
- 薬機法対象外の矯正歯科装置のため医薬品副作用被害救済制度の対象外となる場合があります
- 自費診療(保険適用外)となります
ホワイトニングの注意事項(リスク・副作用など)
- 知覚過敏が出ることがあります
- ホワイトバンドや白い斑点が出ることがあります
- クラウンやインレー等の補綴物には効果がありません
- ホワイトニングによる効果や持続期間には個人差があります
- 歯牙の状態によっては適応できないことがあります
- 保険適用外となります
当サイトの内容、テキスト、画像等の無断転載、複製、複写、盗用を固く禁じます。














