症例詳細
Case detail
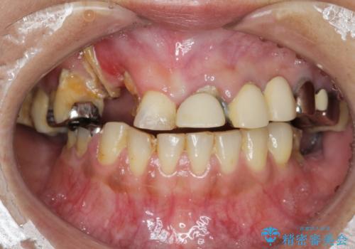
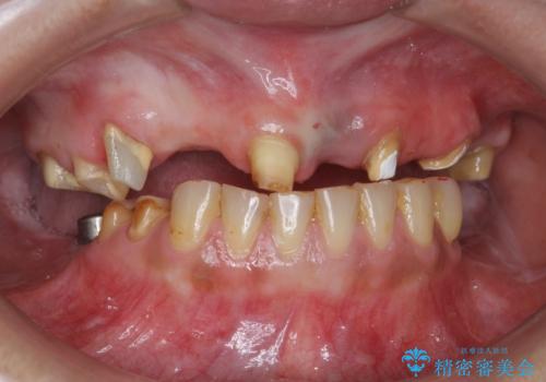
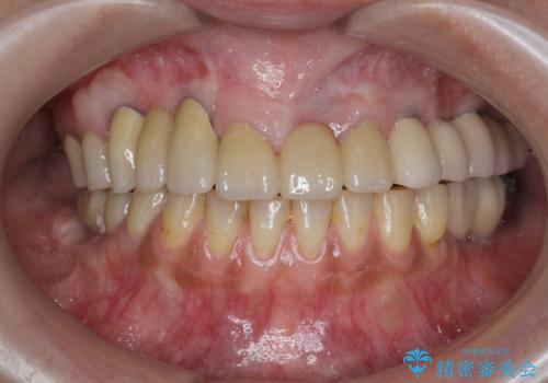
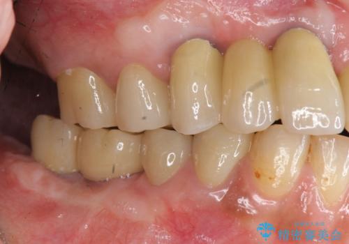
痛くて噛めない インプラントで全て治療したい
- 患者様
- 50代女性
- 治療期間
- 3年6ヶ月
- 治療回数
- 30回以上
- 治療計画
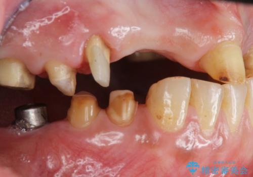
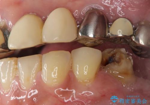
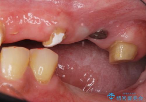
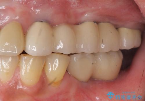
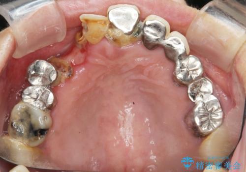
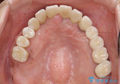
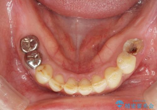
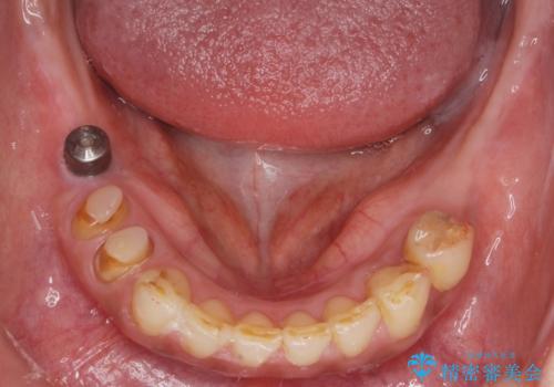
- 痛くて噛めない、これまでだましだまし治療をしてきたがこれを機にすべてきっちりと治したい、口の中の悩みを解決したいと来院されました。
抜歯や歯周病治療、欠損補綴を含め、全顎的な治療を計画・提案します。
(他Drからの引き継ぎ [治療中] の状態より担当)
- 費用(概算)
- 350万円費用は治療当時の料金となります
全顎的治療について
口腔内に歯の破折や歯周病、虫歯、欠損など複数の問題が存在する場合局所的に問題を解決していくのではなく全顎的な治療を行っていくことで長期的な予後を見込むことができます。
セラミック治療の注意事項(リスク・副作用など)
- 天然歯を削ります
- 硬い素材は天然歯を傷つけてしまう場合があります
- かみ合わせや歯ぎしりが強すぎる方はセラミックが割れてしまう可能性があります
- 自費診療(保険適用外治療)となります
インプラント治療の注意事項(リスク・副作用など)
- 外科手術のため、術後に痛みや腫れ、違和感を伴います
- メンテナンスを怠ったり喫煙により、お口の中に大きな悪影響を及ぼすインプラント周囲炎等にかかる可能性があります
- 糖尿病、肝硬変、心臓病等の場合、インプラント治療ができない可能性があります
- 高血圧、貧血・不整脈等の場合、インプラント治療後に治癒不全を招く可能性があります
- 自費診療(保険適用外治療)となります
歯周病治療の注意事項(リスク・副作用など)
- 外科手術のため、術後に痛みや腫れ、違和感を伴います
- 歯周組織再生治療は患者様の状態によって術後の経過が異なります(見た目が改善しない場合もあります)
- 歯周組織再生治療は自費診療(保険適用外)となります
外科処置の注意事項(リスク・副作用など)
- 外科手術のため、術後に出血、痛みや腫れ、違和感を伴います
- 口腔内の状態によっては適応できないことがあります
当サイトの内容、テキスト、画像等の無断転載、複製、複写、盗用を固く禁じます。


















