症例詳細
Case detail
前歯のクロスバイトと変色した歯 ワイヤー矯正とセラミック治療
- 患者様
- 20代女性
- 矯正装置
- 審美装置
- 治療期間
- 2年2ヶ月
- 治療回数
- 10-30回
- 治療計画
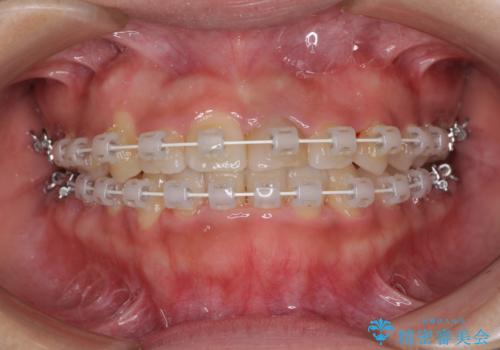
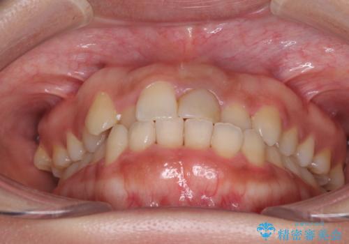
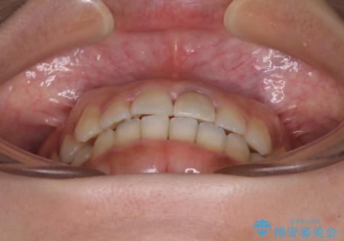
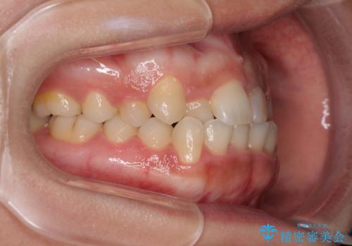
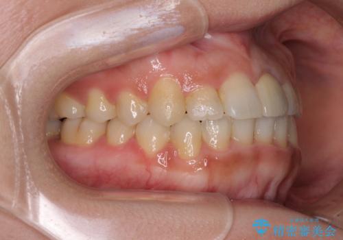
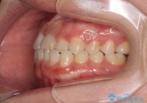
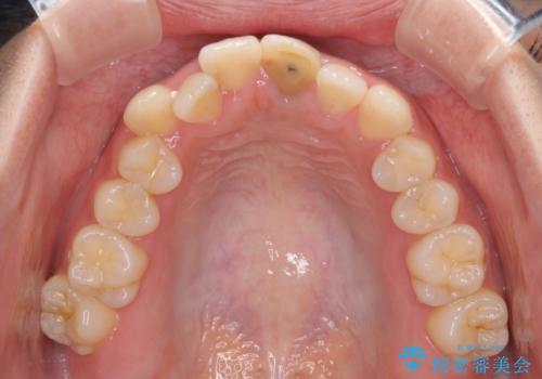
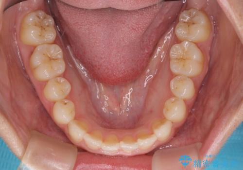
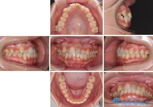
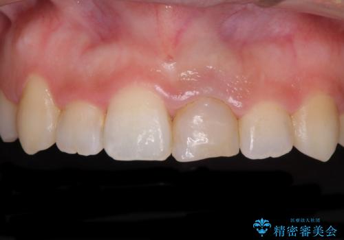
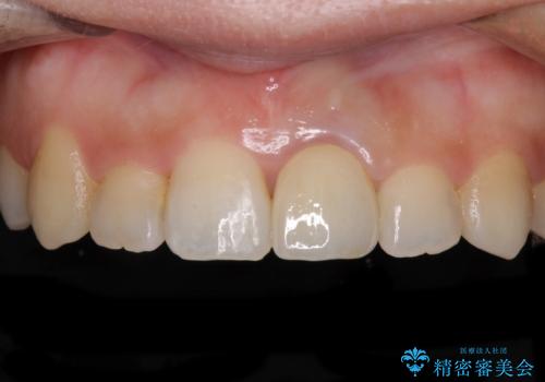
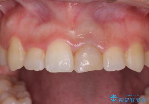
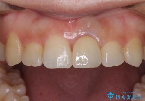
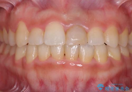
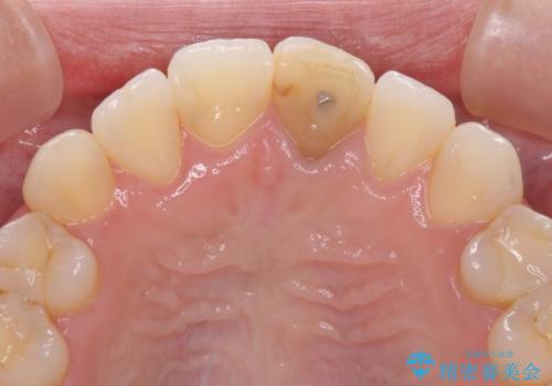
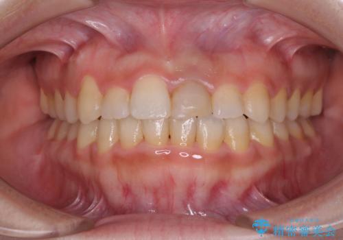
- 前歯のクロスバイトと神経を取り除いた後に変色してしまった前歯を気にして来院された患者様です。
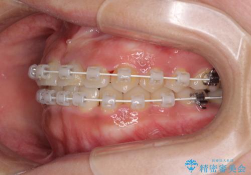
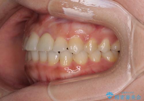
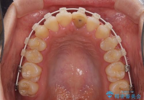
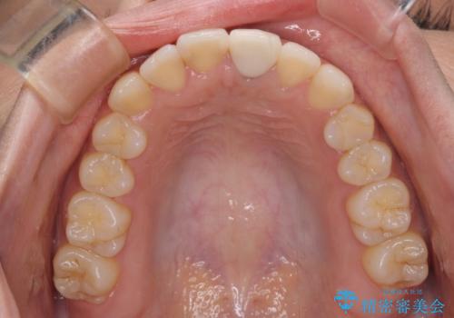
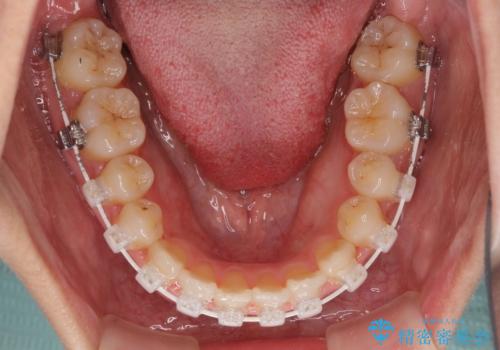
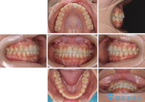
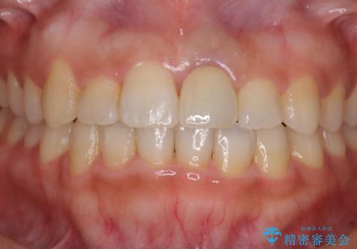
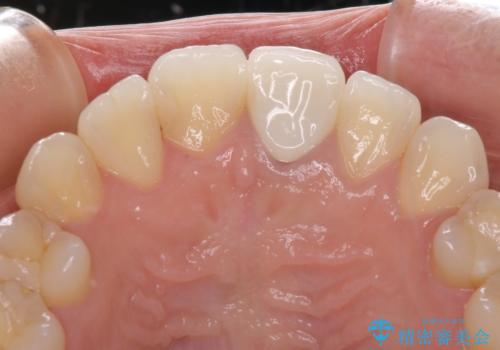
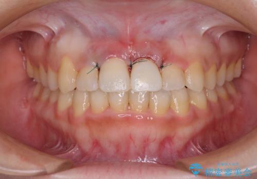
ワイヤー矯正により矯正治療を行った後に、前歯の補綴治療を行うこととしました。
変色してしまった前歯は、反対側の歯と比べて歯肉が覆い被さっていたため、骨整形を含めた歯周外科処置を行い、歯肉ラインを整えることとしました。
- 費用(概算)
- 治療費の目安: 100万円費用は治療当時の料金となります
治療について
インビザラインでの矯正治療も十分に対応可能でしたが、自己管理の煩わしさから、ワイヤー矯正を行うこととしました。
歯周外科処置を行うかどうかは非常に悩んでいらっしゃいましたが、範囲がそれほど広くないため術後の痛みも強くないだろうということで、処置を行うこととなりました。
セラミック治療の注意事項(リスク・副作用など)
- 天然歯を削ります
- 硬い素材は天然歯を傷つけてしまう場合があります
- かみ合わせや歯ぎしりが強すぎる方はセラミックが割れてしまう可能性があります
- 自費診療(保険適用外治療)となります
ワイヤー矯正の注意事項(リスク・副作用など)
- 治療中は違和感や痛みが起こることがあります
- 症状により、抜歯が必要な場合があります
- 治療中は歯磨きがしにくくなるため、虫歯や歯周病になりやすくなります
- 矯正治療後の保定が不十分だと後戻り(元の位置に戻ろうとする動き)をします
- 自費診療(保険適用外)となります
当サイトの内容、テキスト、画像等の無断転載、複製、複写、盗用を固く禁じます。








































