症例詳細
Case detail
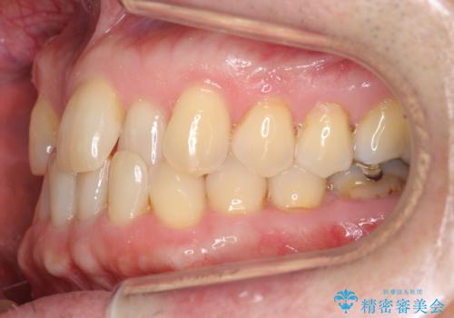
50代男性 受け口 他院で5年以上かかると治療を断られた
- 患者様
- 50代男性
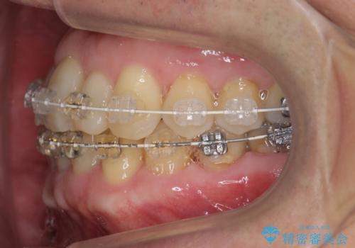
- 矯正装置
- 審美装置
- 治療期間
- 3年6ヶ月
- 治療回数
- 30回以上
- 治療計画
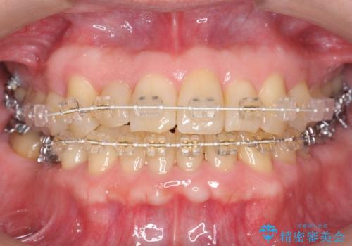
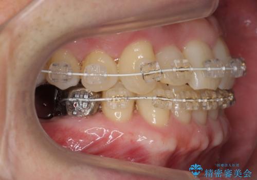
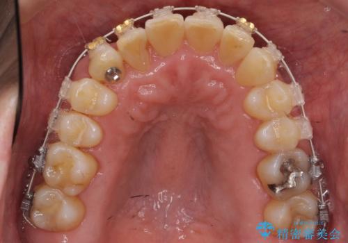
- 受け口を主訴に来院。
他院での矯正相談は、5年以上かかると言われ、やんわりお断りされたとのことでした。
ずっと矯正はしたかったがあきらめていて、50代で退職を機に新しいことを初めて、歯並びも諦めずに治したいとのことでした。顎の手術は避け、歯の移動だけでの治療をご希望されていました。
ある程度時間はかかることは説明させていただき、治療開始しました。
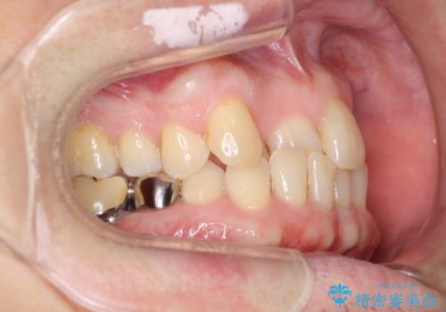
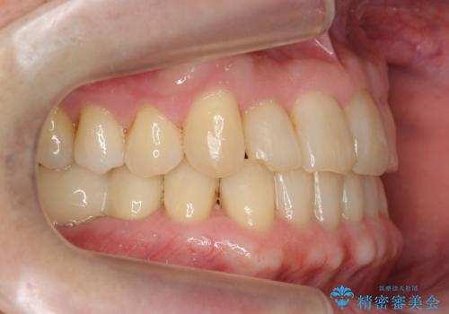
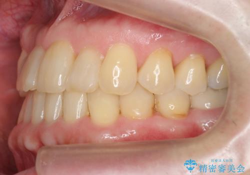
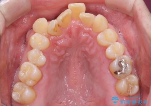
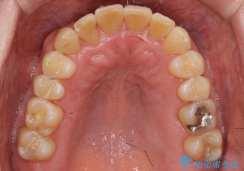
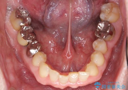
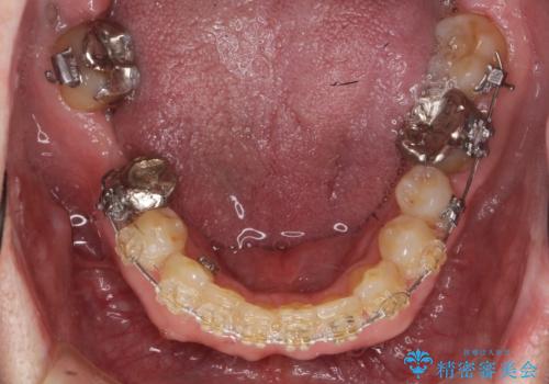
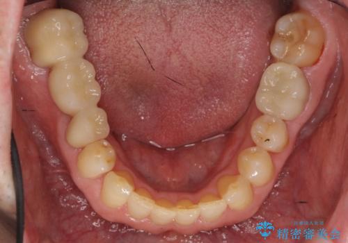
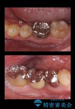
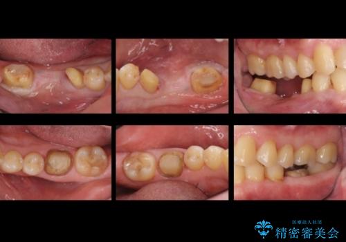
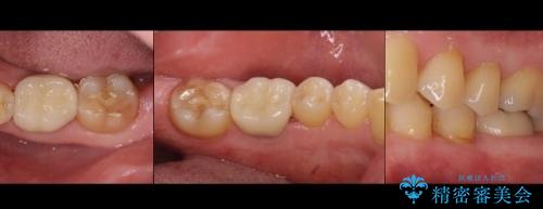
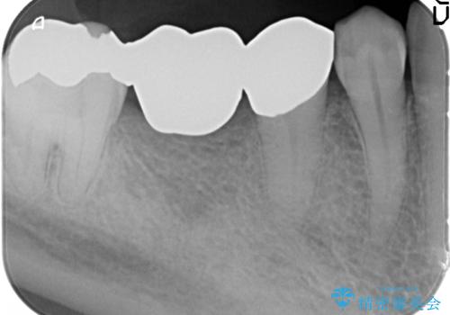
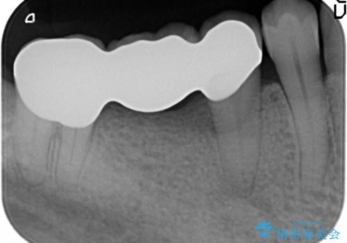
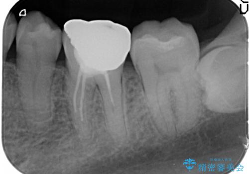
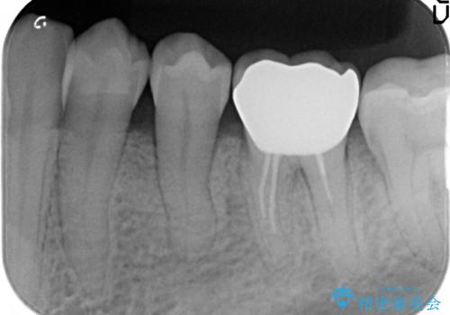
矯正治療後、右下のインレーブリッジおよび左下の銀歯のやりかえを行なっています。
- 費用(概算)
- 156万円(矯正治療 110万円、補綴費用 46万円)費用は治療当時の料金となります
治療について
右上の八重歯は、右上の奥歯を矯正用ミニスクリューを用いて遠心移動を行い解消しました。
下の前歯はIPR(エナメル質を薄く削り歯を小さくする処置)を行なっています。
ワイヤー矯正の注意事項(リスク・副作用など)
- 治療中は違和感や痛みが起こることがあります
- 症状により、抜歯が必要な場合があります
- 治療中は歯磨きがしにくくなるため、虫歯や歯周病になりやすくなります
- 矯正治療後の保定が不十分だと後戻り(元の位置に戻ろうとする動き)をします
- 自費診療(保険適用外)となります
セラミック治療の注意事項(リスク・副作用など)
- 天然歯を削ります
- 硬い素材は天然歯を傷つけてしまう場合があります
- かみ合わせや歯ぎしりが強すぎる方はセラミックが割れてしまう可能性があります
- 自費診療(保険適用外治療)となります
当サイトの内容、テキスト、画像等の無断転載、複製、複写、盗用を固く禁じます。




























